相关产品推荐更多 >
万千商家帮你免费找货
0 人在求购买到急需产品
- 详细信息
- 文献和实验
- 技术资料
- 规格:
1支/瓶
| Transgene | Organism | Tissue | Morphology | Culture Properties |
| NFκB-Luc-EF1α-mCherry-T2A-Puro | Homo sapiens (Human) | Lung | Epithelial | Adherent |
NFκB-Luc-EF1α-mCherry A549 Cells,即NFκB-Luc-EF1α-mCherry-T2A-Puro A549细胞,是一种细胞基因组中含有多个NFκB结合位点的多克隆A549稳定细胞株(Polyclonal A549 stable cell line),通过检测萤火虫萤光素酶(Firefly luciferase, Luc)的活性,可以高灵敏度地检测NFκB的激活水平。本细胞株可通过EF1α启动子组成型表达mCherry和嘌呤霉素(Puromycin)抗性基因,建议使用1μg/ml Puromycin (ST551)维持稳定细胞株中相应基因的表达。
本细胞株的阳性对照为EF1α-Luc A549 Cells (C8482),原始细胞株为A549 (人非小细胞肺癌细胞) (C6053)。
萤光素、萤光素酶、萤火虫萤光素酶和海肾萤光素酶也经常被称作荧光素、荧光素酶、萤火虫荧光素酶和海肾荧光素酶。萤火虫萤光素酶是一种分子量约为61kD的蛋白,在ATP、镁离子和氧气存在的条件下,可以催化Luciferin氧化成Oxyluciferin,在Luciferin氧化的过程中,会发出波长为560nm左右的生物萤光(Bioluminescence) [1]。生物萤光可以通过化学发光仪(Luminometer)或液闪测定仪进行测定。通过萤光素和萤光素酶这一生物发光体系,可以非常灵敏、高效地检测基因的表达。本报告基因稳定细胞株中的萤火虫萤光素酶编码进行了改进,能更好地在细胞中进行稳定表达。
EF1α (EF1α)启动子是一种来源于延伸因子1α (Elongation factor 1 alpha, EF1α) 基因的强哺乳动物表达启动子,可在多种细胞中稳定驱动其下游基因的组成型表达,也可以用于干细胞、原代细胞、造血细胞等。
mCherry是一种来自于蘑菇珊瑚(Mushroom coral)的单体红色荧光蛋白,最大激发光(Excitation, Ex) 587nm/发射光(Emission, Em) 610nm,具有卓越的荧光稳定性,广泛应用于分子标记和细胞组分定位。
T2A是来源于明脉扁刺蛾病毒(Thosea asigna virus, TaV),是2A肽的一种,编码产生一种具有自我加工能力的短肽,能够在翻译后进行自我剪切,可以实现利用一个转录本翻译出多个蛋白质的功能[1]。T2A目前被认为具有最高的“剪切”效率,很多情况下接近100%,所以通常T2A上下游蛋白的表达水平相当,但上游蛋白的C端会添加一些额外的T2A肽段的残基,而下游蛋白的N端将会有额外的脯氨酸。本产品表达的萤火虫萤光素酶和嘌呤霉素抗性基因的正常功能均不受额外的氨基酸影响。
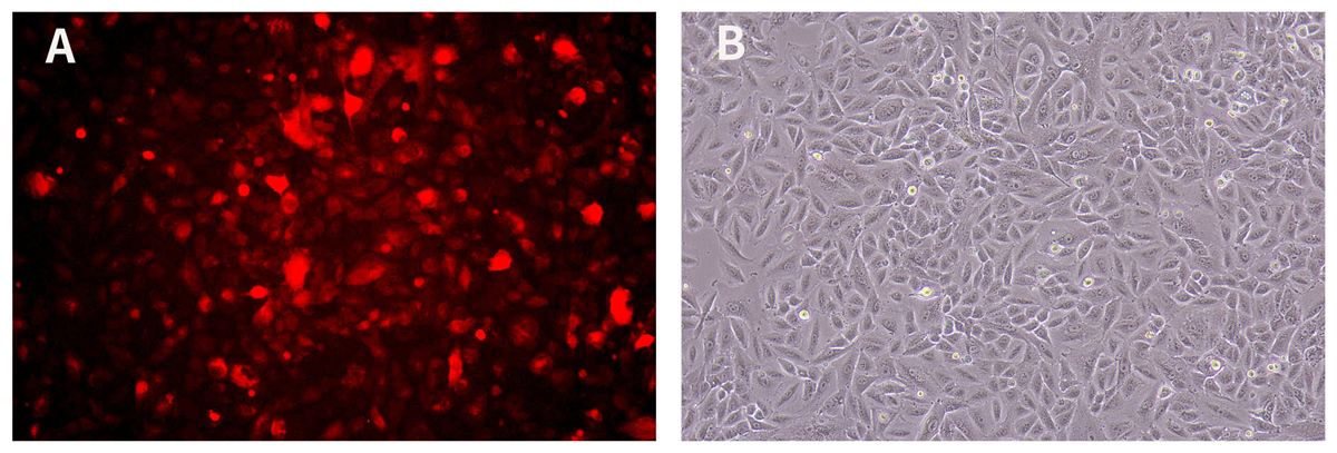
本细胞株的培养图片如下:

图1. 碧云天NFκB-Luc-EF1α-mCherry A549 Cells (C8464)的荧光显微镜观察图。A为荧光照片,B为明场照片。实际检测效果会因检测仪器、实验条件的不同而存在差异,本图仅供参考。
本细胞株详细信息如下:
| General Information | |
| Cell Line Name | NFκB-Luc-EF1α-mCherry A549 Cells |
| Transgene | NFκB-Luc-EF1α-mCherry-T2A-Puro |
| Synonyms | / |
| Organism | Homo sapiens (Human) |
| Tissue | Lung |
| Cell Type | Stable Cell Line |
| Morphology | Epithelial |
| Disease | Carcinoma |
| Strain | - |
| Biosafety Level* | 1 |
| Age at Sampling | 58 years |
| Gender | Male |
| Genetics | Adenocarcinoma |
| Ethnicity | Caucasian |
| Applications | Stable cell lines with specific gene over-expression or knock-down are very helpful in gene function analysis, target discovery, target validation, assay development, and compound screening. |
| Category | Cancer cell line |
* Biosafety classification is based on U.S. Public Health Service Guidelines, it is the responsibility of the customer to ensure that their facilities comply with biosafety regulations for their own country.
| Characteristics | |
| Karyotype | This is a hypotriploid human cell line with the modal chromosome number of 66, occurring in 24% of cells. Cells with 64 (22%), 65, and 67 chromosome counts also occurred at relatively high frequencies; the rate with higher ploidies was low at 0.4%. There were 6 markers present in single copies in all cells. They include der(6)t(1;6) (q11;q27); ?del(6) (p23); del(11) (q21), del(2) (q11), M4 and M5. Most cells had two X and two Y chromosomes. However, one or both Y chromosomes were lost in 40% of 50 cells analyzed. Chromosomes N2 and N6 had single copies per cell; and N12 and N17 usually had 4 copies. Note: Cytogenetic information is based on initial seed stock at ATCC. Cytogenetic instability has been reported in the literature for some cell lines. |
| Virus Susceptibility | - |
| Derivation | This line was initiated in 1972 by D.J. Giard, et al. through explant culture of lung carcinomatous tissue from a 58-year-old Caucasian male. |
| Clinical Data | - |
| Antigen Expression | The cells are positive for keratin by immunoperoxidase staining. |
| Receptor Expression | - |
| Oncogene | - |
| Genes Expressed | - |
| Gene expression databases | ArrayExpress: E-MTAB-2706; E-MTAB-2770; E-MTAB-3610; GEO: GSM2114; GSM50209; GSM50272; GSM139640; GSM139641; GSM139642; GSM139643; GSM139644; GSM139645; GSM139646; GSM139647; GSM139648; GSM139649; GSM139652; GSM139653; GSM185869; GSM206445; GSM253306; GSM274739; GSM274740; GSM353234; GSM434265; GSM513947; GSM514317; GSM651560; GSM651561; GSM729842; GSM729843; GSM729844; GSM729845; GSM729846; GSM729847; GSM729848; GSM729849; GSM750779; GSM750780; GSM750788; GSM750789; GSM750791; GSM784244; GSM794260; GSM799336; GSM799399; GSM816649; GSM827464; GSM846285; GSM843439; GSM886858; GSM887923; GSM923418; GSM923420; GSM923425; GSM923432; GSM923433; GSM923435; GSM945243; GSM945244; GSM1086289; GSM1086290; GSM1153406; GSM1181254; GSM1181311; GSM1181344; GSM1181353; GSM1181354; GSM1181355; GSM1181356; GSM1181364; GSM1374385; GSM1374386; GSM1374387; GSM1557133; GSM1669589; GSM2124637 |
| Metastasis | - |
| Tumorigenic | - |
| Effects | - |
| Comments | Studies by M. Lieber, et al. revealed that A549 cells could synthesize lecithin with a high percentage of disaturated fatty acids utilizing the cytidine diphosphocholine pathway. |
| Culture Method | |
| Doubling Time | ~22 hours |
| Methods for Passages | Wash by PBS once then 0.05% trypsin-EDTA solution and incubate at room temperature (or at 37ºC), obs`erve cells under an inverted microscope until cell layer is dispersed (usually within 1 to 5 minutes) |
| Medium | 90% DMEM (high glucose) + 10% FBS + 1μg/ml Puromycin |
| Special Remarks | - |
| Medium Renewal | 2 to 3 times per week |
| Subcultivation Ratio | 1:3 to 1:8 |
| Growth Condition | 95% air + 5% CO2, 37ºC |
| Freeze medium | DMEM (high glucose) + 20% FBS + 10% DMSO,也可以订购碧云天的细胞冻存液(C0210)或BeyoAOF™无血清细胞冻存液(C0210B)。 |
本细胞株经过支原体检测(Mycoplasma test),检测结果为阴性。
包装清单:
| 产品编号 | 产品名称 | 包装 |
| C8464 | NFκB-Luc-EF1α-mCherry A549 Cells | 1支/瓶 |
| — | 说明书 | 1份 |
保存条件:
对于细胞培养瓶或离心管运输的活细胞,室温3-5天有效。对于干冰运输的冻存细胞,液氮保存,长期有效;-80℃保存,2个月有效。
注意事项:
本细胞株未经碧云天书面许可不得用于任何商业用途,也不得移交给订货人所在实验室外的任何个人或单位。使用者在发表研究论文或结果时,应注明细胞株的来源。
本细胞株相关资料参考ATCC (American Type Culture Collection)、DSMZ (German Collection of Microorganisms and Cell Cultures)、JCRB (Japanese Collection of Research Bioresources Cell Bank)、Cellosaurus (Swiss Institute of Bioinformatics)等网站信息,并结合碧云天实际培养信息综合而成。由于细胞培养的条件、代数等因素,实际细胞可能与本说明书提供的信息有一定的差异,具体以实际细胞为准。
STR结果可以与ATCC、DSMZ及中国国家实验细胞资源共享平台等网站的数据库进行比对,匹配度80%以上即可认为该细胞系正确。本细胞株的STR结果请参考原始细胞株。
本产品会根据细胞是否正在培养、目的地距离等因素确定运输方式:冷冻的细胞冻存管(干冰)、一小瓶贴壁培养的细胞或一小瓶/管悬浮培养的细胞(常温)。为了更好地耐受长途运输和环境温度等变化,对于正常贴壁培养的细胞,也可能会以悬浮的形式培养在细胞培养瓶或离心管中进行运输。
对于干冰运输的冻存细胞,若干冰已经完全融化,请立即将细胞复苏培养,切勿再次低温冻存;若尚留有干冰,请直接复苏培养或立即将含有细胞的冻存管放入液氮中保存待用,切不可将细胞置于高温环境。
收到冻存的细胞后请尽快复苏细胞进行培养,以确认细胞活力、状态并保种。如暂时不进行复苏操作,冻存细胞可在-80℃条件下保存2个月。
每支冻存管约含1×106个细胞,体积为0.5-1ml,预期存活率60-90%,建议复苏至1个6cm培养皿中。如果复苏后存活率较低,可以消化后转移至3.5cm培养皿中,这样细胞生长会更好。
如果本产品是常温运输,并且是培养瓶中充满完全培养液的贴壁细胞,收到细胞后请在显微镜下观察细胞生长状态,如果细胞密度超过85%请尽快进行传代操作;如果悬浮的细胞较多,请将培养瓶置于培养箱中静置过夜以使悬浮的细胞再次贴壁。如果收到的是常温运输的离心管装的悬浮细胞,可以直接取出转移至培养皿或培养瓶中培养。若培养液颜色正常则保留培养液继续培养,并且在首次更换培养液时,保留一半原培养液,并加入一半新鲜培养液,这样可以尽量避免由于培养液或血清差异导致细胞生长的不适应,确保细胞良好的生长状态。
细胞培养请在生物安全柜台中进行操作,并严格遵守无菌操作。
请在培养液中加入适量青霉素-链霉素溶液以防止可能的细菌污染,如碧云天的青霉素-链霉素溶液(100X) (C0222)。
理论上永生化细胞可无限传代,但为了保证细胞的良好状态,建议最早培养的几代细胞就冻存一批,并每培养一段时间后复苏早期冻存的细胞进行培养。
接收、处理、保存、丢弃及使用细胞的时候要遵守相关法律法规,充分考虑可能存在的风险和责任,采取适当的安全和处理措施尽量降低对健康或环境的危害。
本产品仅限于专业人员的科学研究用,不得用于临床诊断或治疗,不得用于食品或药品,不得存放于普通住宅内。
为了您的安全和健康,请穿实验服并戴一次性手套操作。
风险提示:丁香通仅作为第三方平台,为商家信息发布提供平台空间。用户咨询产品时请注意保护个人信息及财产安全,合理判断,谨慎选购商品,商家和用户对交易行为负责。对于医疗器械类产品,请先查证核实企业经营资质和医疗器械产品注册证情况。
文献和实验2: 个人认为很可能是操作过程中混入其它细胞所致,由于这两株细胞的形态差异较大,因此在没有十分严格的鉴定标准的情况下,建议采用两者方法: 1、重新获取细胞,复苏较早保存的细胞,或者从邻近实验室或者ATCC等细胞库购买低代次的A549。 2、传代是以1000-2000 cells/60mm dish的密度接种细胞,连续培养10
Construction and Characterization of Adenovirus Vectors
C. Cells: A549 Cells: 293, low-passage Grow 293 and A549 cells in 150-mm dishes in a 37°C, 5% CO2 incubator and split 1:2 or 1:3 when they reach ~90% confluence. Cells: 293N3S Maintain 293N3S cells in 150-mm dishes
apoptotic assay for transiently transfected Rat1A cells (Table 1 ) as well as for a human lung carcinoma cell line A549 (ATCC CCL-185) (24). Table 1 . Determination of apoptosis in Rat1A cells Transfected Propidium Iodideb
技术资料暂无技术资料 索取技术资料











