相关产品推荐更多 >
万千商家帮你免费找货
0 人在求购买到急需产品
- 详细信息
- 文献和实验
- 技术资料
- 免疫原:
peptide
- 亚型:
IgG1
- 形态:
Liquid
- 保存条件:
-20℃
- 克隆性:
mAb
- 适应物种:
Human
- 保质期:
1年
- 目录编号:
TD-31026
- 级别:
科研级
- 库存:
88
- 供应商:
武汉天德
- 宿主:
Mouse
- 应用范围:
FCM、ELISA、IHC、WB
- 靶点:
详询
- 抗体英文名:
Mouse Monoclonal Antibody to CD2
- 抗体名:
CD2
- 规格:
100ul/50ul
| 规格: | 100ul | 产品价格: | ¥2180.0 |
|---|---|---|---|
| 规格: | 50ul | 产品价格: | ¥1280.0 |
Mouse Monoclonal Antibody to CD2
Description |
|
| CD2 is a surface antigen of the human T-lymphocyte lineage that is expressed on all peripheral blood T cells (summarized by Sewell et al., 1986 [PubMed 3490670]). It is one of the earliest T-cell markers, being present on more than 95% of thymocytes; it is also found on some natural killer cells but not on B lymphocytes. Monoclonal antibodies directed against CD2 inhibit the formation of rosettes with sheep erythrocytes, indicating that CD2 is the erythrocyte receptor or is closely associated with it. | |
Specification |
|
| Aliases | T11; SRBC; LFA-2 |
| Entrez GeneID | 914 |
| Swissprot | P06729 |
| clone | 3D1E3 |
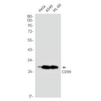
| WB Predicted band size | 39.4kDa |
| Host/Isotype | Mouse IgG1 |
| Antibody Type | Primary antibody |
| Storage | Store at 4°C short term. Aliquot and store at -20°C long term. Avoid freeze/thaw cycles. |
| Species Reactivity | Mouse |
| Immunogen | Purified recombinant fragment of human CD2 (AA: 25-140) expressed in E. Coli. |
| Formulation | Purified antibody in PBS with 0.05% sodium azide |
Application |
|
| WB | 1/500 - 1/2000 |
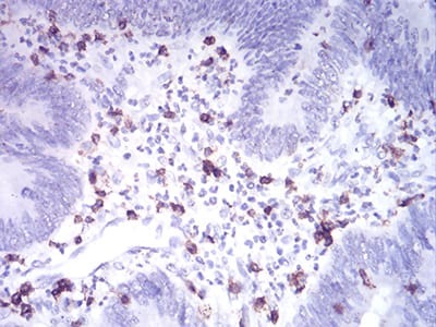
| IHC | 1/200 - 1/1000 |
| FCM | 1/200 - 1/400 |
| ELISA | 1/10000 |
Product Image |
|
|
|
|
|
|
|
风险提示:丁香通仅作为第三方平台,为商家信息发布提供平台空间。用户咨询产品时请注意保护个人信息及财产安全,合理判断,谨慎选购商品,商家和用户对交易行为负责。对于医疗器械类产品,请先查证核实企业经营资质和医疗器械产品注册证情况。
文献和实验Monoclonal Antibody Production
and screening of the hybridomas: 1. Bleeding Mice (1) Place the mouse in a mouse restrainer. (2) Sterilize the tail with 70% ethanol. (3) With a razor blade,nip off the last 2 mm of the tip of the tail. (4) Using a milking motion,pull blood down and let
Monoclonal Antibody Production Protocol
complete with MCM instead of PCM (= IMDM - m ), and keep it in the incubator for fused cells. Isolation of spleen cells Sacrifice mouse by cervical dislocation. Immerse mouse in 70% Ethanol. Remove spleen ( on the left side ) and transfer into a small
monoclonal antibody production fusion
Fusion is an important procedure to produce monoclonal antibodies (MoAb). PROTOCOL prepare the culture of myeloma cells and maintain the concentration of the cells at the level of less than 10
技术资料暂无技术资料 索取技术资料










