相关产品推荐更多 >
万千商家帮你免费找货
0 人在求购买到急需产品
- 详细信息
- 文献和实验
- 技术资料
- 免疫原:
Synthetic peptide of human CD70
- 亚型:
IgG
- 形态:
Liquid
- 保存条件:
-20℃
- 克隆性:
pAb
- 适应物种:
Human, Mouse
- 保质期:
1年
- 目录编号:
TD-P05527
- 级别:
科研级
- 库存:
88
- 供应商:
武汉天德
- 宿主:
rabbit
- 应用范围:
ELISA、IHC、WB
- 靶点:
详询
- 抗体英文名:
CD70
- 抗体名:
CD70
- 规格:
100ul
Rabbit Polyclonal Antibody to CD70
| 货号: | TD-P05527 |
| 别名: | CD27L; LPFS3; CD27-L; CD27LG; TNFSF7; TNLG8A |
| 应用: | WB,IHC |
| 反应种属: | Human, Mouse |
| Description | |
| The protein encoded by this gene is a cytokine that belongs to the tumor necrosis factor (TNF) ligand family. This cytokine is a ligand for TNFRSF27/CD27. It is a surface antigen on activated, but not on resting, T and B lymphocytes. It induces proliferation of costimulated T cells, enhances the generation of cytolytic T cells, and contributes to T cell activation. This cytokine is also reported to play a role in regulating B-cell activation, cytotoxic function of natural killer cells, and immunoglobulin sythesis. | |
| Specification | |
| Aliases | CD27L; LPFS3; CD27-L; CD27LG; TNFSF7; TNLG8A |
| Swissprot | P32970 |
| WB Predicted band size | 21 kDa |
| Host/Isotype | Rabbit IgG |
| Antibody Type | Primary antibody |
| Storage | Store at 4°C short term. Aliquot and store at -20°C long term. Avoid freeze/thaw cycles. |
| Species Reactivity | Human, Mouse |
| Immunogen | Synthetic peptide of human CD70 |
| Formulation | pH7.4 PBS, 0.05% NaN3, 40% Glycerol |
| Application | |
| WB | 1/500-1/2000 |
| IHC | 1/50-1/100 |
| ELISA | 1/5000-1/10000 |
|
Product Image
|
|
|
![]() |
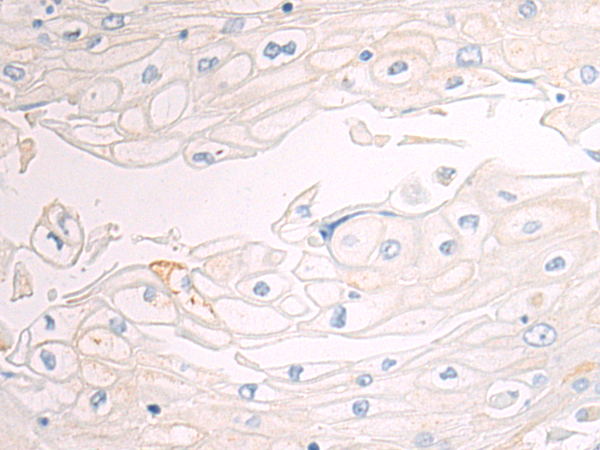
| Gel: 12%SDS-PAGE, Lysate: 40 μg, Lane: A172 cell lysate, Primary antibody: TD-P05527(CD70 Antibody) at dilution 1/650, Secondary antibody: Goat anti rabbit IgG at 1/5000 dilution, Exposure time: 30 seconds | The image is immunohistochemistry of paraffin-embedded Human esophagus cancer tissue using TD-P05527(CD70 Antibody) at dilution 1/50. (Original magnification: ×200) |
风险提示:丁香通仅作为第三方平台,为商家信息发布提供平台空间。用户咨询产品时请注意保护个人信息及财产安全,合理判断,谨慎选购商品,商家和用户对交易行为负责。对于医疗器械类产品,请先查证核实企业经营资质和医疗器械产品注册证情况。
文献和实验CD70 分子 CD70 常用单克隆抗体或代号: Ki- 24;(CD27L) 主要表达细胞: Tsub,Ba,RS [NL] 分子质量(kDa)和结构: gp55,75,95,110,170 功 能: CD27的配体,淋巴细胞活化 CD70 Aka CD27 ligand Role in T cell activation; induces T cell
CD27 分子 CD27 常用单克隆抗体或代号: VIT14,S152,OKT18A 主要表达细胞: T, Bsub [T] 分子质量(kDa)和结构: p55(TNFR- SF)(同源二聚体) 功 能: CD70的配体,T细胞活化增殖 CD27 Marker of T cell activation CD27/CD70 interactions also regulate
of tumor antigen-expressing dendritic cells with an in vitro superior capacity to induce anti-tumor immune responses. Here, immature DCs are electroporated with mRNAs encoding a tumor antigen, CD40 ligand (CD40L), CD70, and constitutively active (caTLR
技术资料暂无技术资料 索取技术资料











