相关产品推荐更多 >
万千商家帮你免费找货
0 人在求购买到急需产品
- 详细信息
- 文献和实验
- 技术资料
- 免疫原:
Synthesized peptide derived from L-Selectin . at AA range: 60-140
- 亚型:
IgG
- 形态:
Liquid
- 保存条件:
-20℃
- 克隆性:
pAb
- 适应物种:
Human,Mouse,Rat
- 保质期:
1年
- 目录编号:
TD-P23223
- 级别:
科研级
- 库存:
88
- 供应商:
武汉天德
- 宿主:
rabbit
- 应用范围:
ELISA、IHC、WB
- 靶点:
详询
- 抗体英文名:
CD62L
- 抗体名:
CD62L
- 规格:
100ul
Rabbit Polyclonal Antibody to CD62L
| Description | |
| This gene encodes a cell surface adhesion molecule that belongs to a family of adhesion/homing receptors. The encoded protein contains a C-type lectin-like domain, a calcium-binding epidermal growth factor-like domain, and two short complement-like repeats. The gene product is required for binding and subs/equent rolling of leucocytes on endothelial cells, facilitating their migration into secondary lymphoid organs and inflammation sites. Single-nucleotide polymorphisms in this gene have been associated with various diseases including immunoglobulin A nephropathy. Alternatively spliced transcript variants have been found for this gene. | |
| Specification | |
| Aliases | SELL; LNHR; LYAM1; L-selectin; CD62 antigen-like family member L; Leukocyte adhesion molecule 1; LAM-1; Leukocyte surface antigen Leu-8; Leukocyte-endothelial cell adhesion molecule 1; LECAM1; Lymph node homing receptor; TQ1; gp90-MEL; CD62L |
| Entrez GeneID | 6402 |
| Swissprot | P14151 |
| WB Predicted band size | Calculated MW: 42 kDa; Obs/erved MW: 42 kDa |
| Host/Isotype | Rabbit IgG |
| Antibody Type | Primary antibody |
| Storage | Store at 4°C short term. Aliquot and store at -20°C long term. Avoid freeze/thaw cycles. |
| Species Reactivity | Human,Mouse,Rat |
| Immunogen | Synthesized peptide derived from L-Selectin . at AA range: 60-140 |
| Formulation | Liquid in PBS containing 50% glycerol, 0.5% BSA and 0.02% sodium azide, pH 7.3. |
| Application | |
| WB | 1/500-1/1000 |
| IHC | 1/50-1/100 |
| ELISA | 1/10000 |
|
Product Image
| ||
![]() Western blot analysis of CD62L in K562 lysates using CD62L antibody.
|
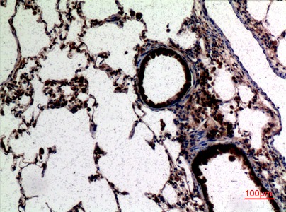
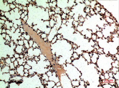
Immunohistochemistry analysis of paraffin-embedded rat lung using CD62L antibody.High-pressure and temperature Sodium Citrate pH 6.0 was used for antigen retrieval. |
Immunohistochemistry analysis of paraffin-embedded rat lung using CD62L antibody. High-pressure and temperature Sodium Citrate pH 6.0 was used for antigen retrieval. |
|
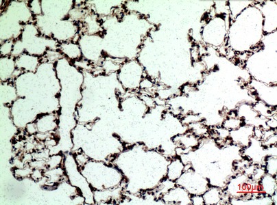
Immunohistochemistry analysis of paraffin-embedded rat lung using CD62L antibody.High-pressure and temperature Sodium Citrate pH 6.0 was used for antigen retrieval. |
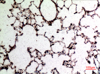
Immunohistochemistry analysis of paraffin-embedded mouse lung using CD62L antibody.High-pressure and temperature Sodium Citrate pH 6.0 was used for antigen retrieval. |
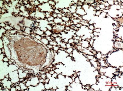
Immunohistochemistry analysis of paraffin-embedded mouse lung using CD62L antibody.High-pressure and temperature Sodium Citrate pH 6.0 was used for antigen retrieval. |
风险提示:丁香通仅作为第三方平台,为商家信息发布提供平台空间。用户咨询产品时请注意保护个人信息及财产安全,合理判断,谨慎选购商品,商家和用户对交易行为负责。对于医疗器械类产品,请先查证核实企业经营资质和医疗器械产品注册证情况。
文献和实验L 选择素 (CD62L)L选择素又称白细胞内皮细胞黏附分子别(LECAM-1)、淋巴结归巢受体和MEL-14。L选择素胞膜外区N端有1个C型凝集素样结构域,1个EGF样结构域和2个CCP结构域。CD62L表达于造血细胞某些分化阶段,包括大多数B细胞和未致敏T细胞以及大多数单核细胞、中性粒细胞和嗜酸粒细胞。PMA、细胞因子或趋化剂刺激淋巴细胞和中性粒细胞后,由于蛋白酶的酶解作用使CD62L迅速消失,而使血浆中可有很高水平的可溶型CD62L。CD62L通过N端C型凝集素样结构同与唾液
CD62E/CD62L/CD62P 分子 CD62E 常用单克隆抗体或代号: 3B7,4D1O;(E- selectin,ELAM- 1) 主要表达细胞: En [AS] 分子质量(kDa)和结构: gp110(C- lectin SF)结合白细胞ELS- 1 功 能: 粘附L- selectin,中性粒细胞通过结合CD15s结合到En CD62L 常用单克隆抗体或代号: Leu8,FMC46;(L-
1. 分选原理 源自德国 IBA Lifesciences 的多重磁珠阳选,选后细胞无试剂残留(即 label-free)的特性,非常适用于分选一些需要用多种 marker 才能准确鉴定的细胞,如 Tcm,Tn,Treg 细胞。假如现在我们想用 CD8+CD62L+ CD45RA- 这几个 marker来分选 Tcm 细胞,首先我们可以通过磁珠法阳选先得到 CD8+的细胞,将分选得到的细胞上结合的磁珠等分选试剂去除后,再分选出 CD62L+ 的细胞,这样获得到CD62L+CD8 + 的高纯
技术资料暂无技术资料 索取技术资料
















