相关产品推荐更多 >
万千商家帮你免费找货
0 人在求购买到急需产品
- 详细信息
- 技术资料
- 供应商:
北京索莱宝科技有限公司
- 库存:
999
- 靶点:
GSK3B
- 目录编号:
K010004P
- 克隆性:
多克隆
- 抗体英文名:
nti-GSK3 Beta/GSK3B Polyclonal Antibody
- 抗体名:
Glycogen synthase kinase-3 beta; glycogen synthase kinase 3 beta; GSK 3 beta; GSK 3B; GSK3B; GSK3B protein; GSK3beta isoform; GSK3 beta; Serine/threonine-protein kinase GSK3B; GSK3β; GSK3B_HUMAN.
- 宿主:
Rabbit
- 适应物种:
Rat ; Mouse ; Human
- 免疫原:
A synthetic peptide of human GSK3B
- 亚型:
IgG
- 形态:
液体
- 应用范围:
ELISA ; FCM ; IF ; ICC ; IHC
- 保存条件:
Store at -20℃. Avoid freeze / thaw cycles.
- 浓度:
ELISA 1:5000-10000. IHC 1:100-500. FCM 1μg /test. ICC 1:100. IF 1:100-500.
- 规格:
50ul/100ul
| 规格: | 50ul | 产品价格: | ¥2100.0 |
|---|---|---|---|
| 规格: | 100ul | 产品价格: | ¥3500.0 |
The protein encoded by this gene is a serine-threonine kinase, belonging to the glycogen synthase kinase subfamily. It is involved in energy metabolism, neuronal cell development, and body pattern formation. Polymorphisms in this gene have been implicated in modifying risk of Parkinson disease, and studies in mice show that overexpression of this gene may be relevant to the pathogenesis of Alzheimer disease. Alternatively spliced transcript variants encoding different isoforms have been found for this gene.[provided by RefSeq, Sep 2009]
实验图
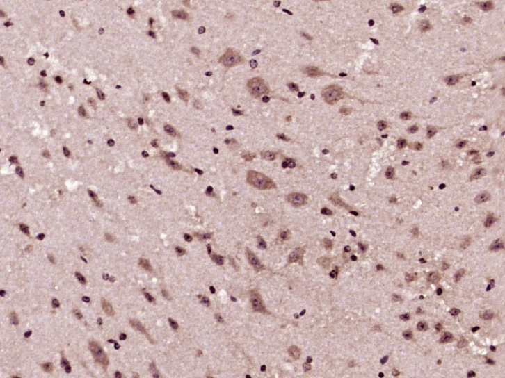
Immunohistochemistry of paraffin-embedded Mouse brain with GSK3B antibody diluted at 1:400
Immunofluorescence analysis of HeLa cells using GSK3B antibody diluted at 1:100
Immunohistochemistry of paraffin-embedded mouse brain with GSK-3 Beta antibody diluted at 1:400.
Immunofluorescence analysis of Hela cell using GSK-3 Beta antibody diluted at 1:100.

风险提示:丁香通仅作为第三方平台,为商家信息发布提供平台空间。用户咨询产品时请注意保护个人信息及财产安全,合理判断,谨慎选购商品,商家和用户对交易行为负责。对于医疗器械类产品,请先查证核实企业经营资质和医疗器械产品注册证情况。
技术资料暂无技术资料 索取技术资料








