相关产品推荐更多 >
万千商家帮你免费找货
0 人在求购买到急需产品
- 详细信息
- 技术资料
- 供应商:
北京索莱宝科技有限公司
- 库存:
999
- 靶点:
DNAJA1
- 目录编号:
K114159P
- 克隆性:
多克隆
- 抗体英文名:
Anti-DNAJA1 Polyclonal Antibody
- 抗体名:
DJ 2;DJ2;DjA1;DnaJ (Hsp40) homolog, subfamily A, member 1;DnaJ homolog subfamily A member 1;DnaJ protein homolog 2;DNAJ2;Dnaja1;DNJA1_HUMAN;hDJ 2;HDJ-2;HDJ2;Heat shock 40 kDa protein 4;heat shock protein DNAJ like 2;Heat shock protein J2;HSDJ;HSJ-2;HSJ2;HSPF4;Human DnaJ protein 2;NEDD7;Neural precursor cell expressed developmentally down regulated 7;OTTHUMP00000021193;
- 宿主:
Rabbit
- 适应物种:
Human ; Mouse ; Rat
- 免疫原:
A synthetic peptide of human DNAJA1
- 亚型:
IgG
- 形态:
液体
- 应用范围:
IHC
- 保存条件:
Store at -20°C. Avoid freeze / thaw cycles.
- 浓度:
IHC 1:50-200.
- 规格:
50ul/100ul
| 规格: | 50ul | 产品价格: | ¥960.0 |
|---|---|---|---|
| 规格: | 100ul | 产品价格: | ¥1600.0 |
This gene encodes a member of the DnaJ family of proteins, which act as heat shock protein 70 cochaperones. Heat shock proteins facilitate protein folding, trafficking, prevention of aggregation, and proteolytic degradation. Members of this family are characterized by a highly conserved N-terminal J domain, a glycine/phenylalanine-rich region, four CxxCxGxG zinc finger repeats, and a C-terminal substrate-binding domain. The J domain mediates the interaction with heat shock protein 70 to recruit substrates and regulate ATP hydrolysis activity. In humans, this gene has been implicated in positive regulation of virus replication through co-option by the influenza A virus. Several pseudogenes of this gene are found on other chromosomes.
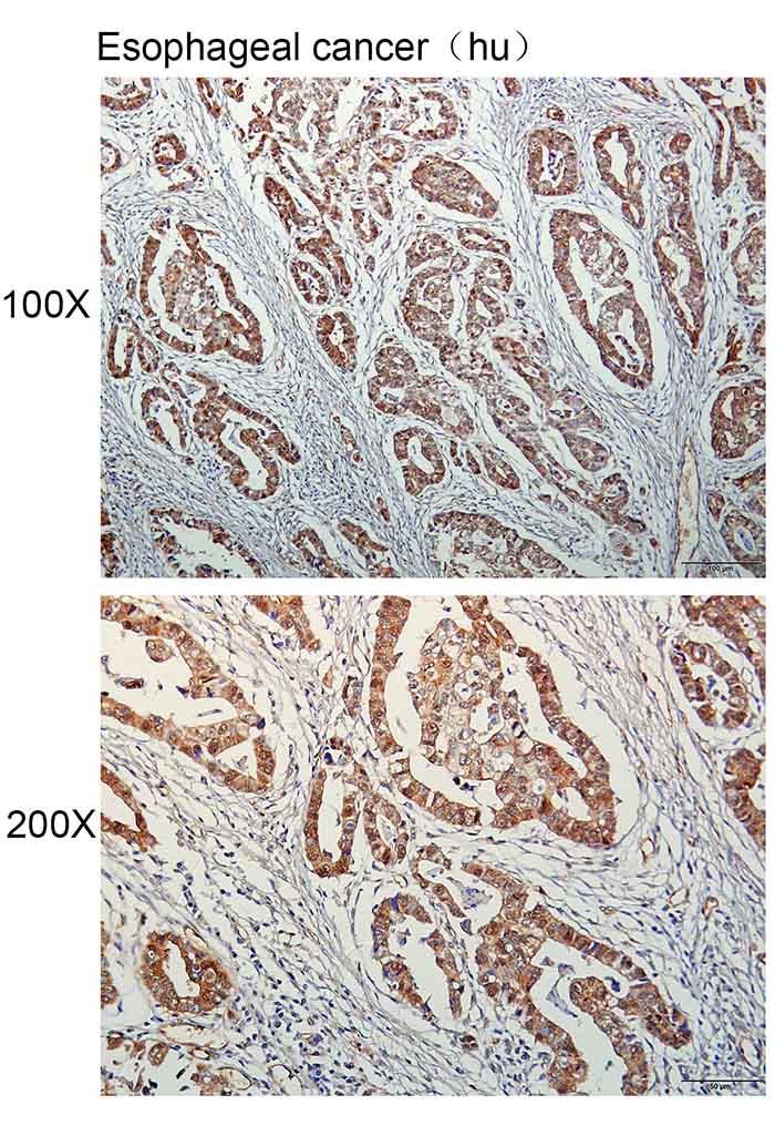
实验图
Immunohistochemistry of paraffin-embedded human esophageal cancer with DNAJA1 antibody diluted at 1:100.
风险提示:丁香通仅作为第三方平台,为商家信息发布提供平台空间。用户咨询产品时请注意保护个人信息及财产安全,合理判断,谨慎选购商品,商家和用户对交易行为负责。对于医疗器械类产品,请先查证核实企业经营资质和医疗器械产品注册证情况。
技术资料暂无技术资料 索取技术资料










