相关产品推荐更多 >
万千商家帮你免费找货
0 人在求购买到急需产品
- 详细信息
- 技术资料
- 供应商:
北京索莱宝科技有限公司
- 库存:
999
- 靶点:
PFKFB1
- 目录编号:
K114131P
- 克隆性:
多克隆
- 抗体英文名:
Anti-PFKFB1 Polyclonal Antibody
- 抗体名:
6 phosphofructo 2 kinase/ fructose 2,6 bisphosphatase;6 phosphofructo 2 kinase/fructose 2,6 biphosphatase 3;6-bisphosphatase;6-P2ase 3;6-P2ASE brain/placenta-type isozyme;6PF 2 K/Fru 2,6 P2ASE brain/placenta type isozyme;6PF 2-K/Fru 2,6 P2ase 3;6PF-2-K/Fru-2;F263_HUMAN;fructose 6 phosphate,2 kinase/fructose 2, 6 bisphosphatase;Fructose-2;Inducible 6 phosphofructo 2 kinase/fructose 2,6 bisphosphatase;iPFK 2;iPFK-2;IPFK2;PFK/FBPase 3;PFK2;PFKFB3;Renal carcinoma antigen NY REN 56;Renal carcinoma antigen NY-REN-56;uPFK 2;
- 宿主:
Rabbit
- 适应物种:
Human ; Mouse ; Rat
- 免疫原:
A synthetic peptide of human PFKFB1
- 亚型:
IgG
- 形态:
液体
- 应用范围:
IHC
- 保存条件:
Store at -20°C. Avoid freeze / thaw cycles.
- 浓度:
IHC 1:25-100.
- 规格:
50ul/100ul
| 规格: | 50ul | 产品价格: | ¥960.0 |
|---|---|---|---|
| 规格: | 100ul | 产品价格: | ¥1600.0 |
This gene encodes a member of the family of bifunctional 6-phosphofructo-2-kinase:fructose-2,6-biphosphatase enzymes. The enzyme forms a homodimer that catalyzes both the synthesis and degradation of fructose-2,6-biphosphate using independent catalytic domains. Fructose-2,6-biphosphate is an activator of the glycolysis pathway and an inhibitor of the gluconeogenesis pathway. Consequently, regulating fructose-2,6-biphosphate levels through the activity of this enzyme is thought to regulate glucose homeostasis. Multiple alternatively spliced transcript variants have been found for this gene. [provided by RefSeq, Nov 2012]
实验图
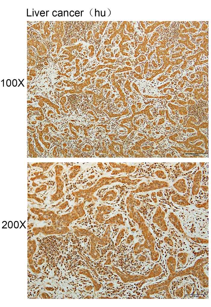
Immunohistochemistry of paraffin-embedded human liver cancer with PFKFB1 antibody diluted at 1:50.
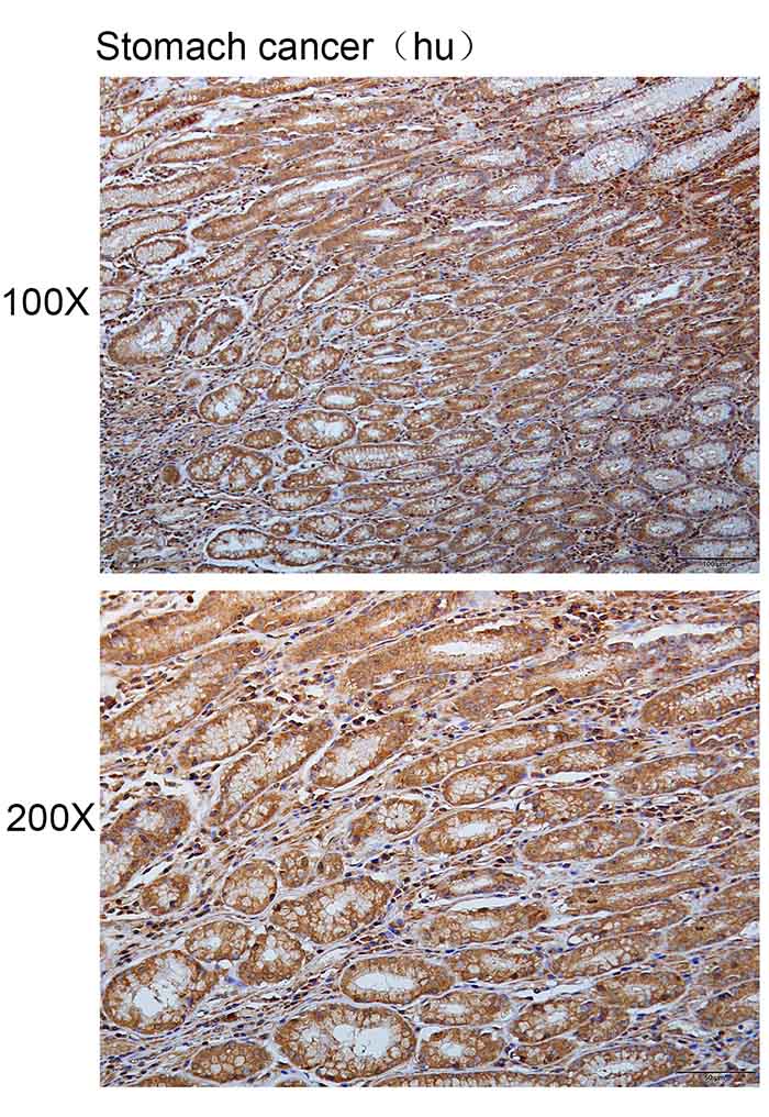
Immunohistochemistry of paraffin-embedded human stomach cancer with PFKFB1 antibody diluted at 1:50.
风险提示:丁香通仅作为第三方平台,为商家信息发布提供平台空间。用户咨询产品时请注意保护个人信息及财产安全,合理判断,谨慎选购商品,商家和用户对交易行为负责。对于医疗器械类产品,请先查证核实企业经营资质和医疗器械产品注册证情况。
技术资料暂无技术资料 索取技术资料










