相关产品推荐更多 >
万千商家帮你免费找货
0 人在求购买到急需产品
- 详细信息
- 技术资料
- 抗体名:
Melan A CR (Cross Reactive) antibody 抗体
- 抗体英文名:
Melan A CR (Cross Reactive) antibody
- 浓度:
详询
- 应用范围:
IHC
- 宿主:
Mouse
- 适应物种:
Human
- 保质期:
6-12个月
- 抗原来源:
详询
- 目录编号:
orb2276538
- 级别:
科研
- 库存:
99
- 供应商:
Biorbyt
- 标记物:
Unconjugated
- 克隆性:
Monoclonal
- 保存条件:
Antibody with azide – store at 2 to 8°C. Antibody without azide – store at -20 to -80°C. Antibody is stable for 24 months. Non- hazardous. No MSD required.
- 形态:
详询
- 亚型:
IgG1, kappa
- 免疫原:
Recombinant full-length hMART-1 protein
- 规格:
0.5 ml
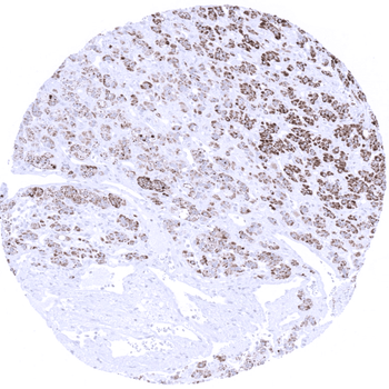
Melan A antibody validated for immunohistochemistry on 76 different Normal Tissues
产品名:Melan A CR (Cross Reactive) antibody
货号:orb2276538
产品中文名:Melan A CR (Cross Reactive) antibody 抗体
产品名:Melan A CR (Cross Reactive) antibody
货号:orb2276538
产品中文名:Melan A CR (Cross Reactive) antibody 抗体
Skin Malignant melanoma with strong Melan A positivity in all tumor cells.
Kidney Clear cell renal cell carcinoma showing moderate to strong Melan A immunostaining of tumor cells.
Adrenal gland Adrenocortical adenoma showing diffuse strong Melan A positivity.
风险提示:丁香通仅作为第三方平台,为商家信息发布提供平台空间。用户咨询产品时请注意保护个人信息及财产安全,合理判断,谨慎选购商品,商家和用户对交易行为负责。对于医疗器械类产品,请先查证核实企业经营资质和医疗器械产品注册证情况。
技术资料暂无技术资料 索取技术资料
Melan A CR (Cross Reactive) antibody 抗体,orb2276538,Biorbyt
¥7033










