相关产品推荐更多 >
万千商家帮你免费找货
0 人在求购买到急需产品
- 详细信息
- 技术资料
- 抗体名:
Cytokeratin 10 antibody 抗体
- 抗体英文名:
Cytokeratin 10 antibody
- 浓度:
详询
- 应用范围:
IHC
- 宿主:
Mouse
- 适应物种:
Human
- 保质期:
6-12个月
- 抗原来源:
详询
- 目录编号:
orb2276486
- 级别:
科研
- 库存:
99
- 供应商:
Biorbyt
- 标记物:
Unconjugated
- 克隆性:
Monoclonal
- 保存条件:
Antibody with azide – store at 2 to 8°C. Antibody without azide – store at -20 to -80°C. Antibody is stable for 24 months. Non- hazardous. No MSD required.
- 形态:
详询
- 亚型:
IgG1, kappa
- 免疫原:
Recombinant full-lenth human KRT10 protein.
- 规格:
1 ml
Cytokeratin 10 antibody validated for immunohistochemistry on 76 different Normal Tissues
产品名:Cytokeratin 10 antibody
货号:orb2276486
产品中文名:Cytokeratin 10 antibody 抗体
产品名:Cytokeratin 10 antibody
货号:orb2276486
产品中文名:Cytokeratin 10 antibody 抗体
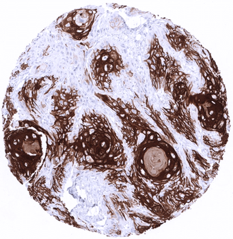
Strong Cytokeratin 10 immunostaining in a squamous cell carcinoma of the vulva. The basal cell layers are largely unstained.
KRT10 is strongly positive in all suprabasal cell layers of the epidermis and in associated sebaceous glands and hair follicles. The basal cell layer remains strictly KRT10 negative.
Absence of KRT10 staining in non keratinizing squamous epithelium of the esophagus.
风险提示:丁香通仅作为第三方平台,为商家信息发布提供平台空间。用户咨询产品时请注意保护个人信息及财产安全,合理判断,谨慎选购商品,商家和用户对交易行为负责。对于医疗器械类产品,请先查证核实企业经营资质和医疗器械产品注册证情况。
技术资料暂无技术资料 索取技术资料
Cytokeratin 10 antibody 抗体,orb2276486,Biorbyt
¥11895









