相关产品推荐更多 >
万千商家帮你免费找货
0 人在求购买到急需产品
- 详细信息
- 技术资料
- 抗体名:
GAD2 / GAD65 antibody 抗体
- 抗体英文名:
GAD2 / GAD65 antibody
- 浓度:
详询
- 应用范围:
IHC
- 宿主:
Mouse
- 适应物种:
Human
- 保质期:
6-12个月
- 抗原来源:
详询
- 目录编号:
orb2276255
- 级别:
科研
- 库存:
99
- 供应商:
Biorbyt
- 标记物:
Unconjugated
- 克隆性:
Monoclonal
- 保存条件:
Antibody with azide – store at 2 to 8°C. Antibody without azide – store at -20 to -80°C. Antibody is stable for 24 months. Non- hazardous. No MSD required.
- 形态:
详询
- 亚型:
IgG2b, kappa
- 免疫原:
Recombinant human GAD2 (GAD65) protein fragment (around aa 6-99) (exact sequence is proprietary)
- 规格:
0.1 ml
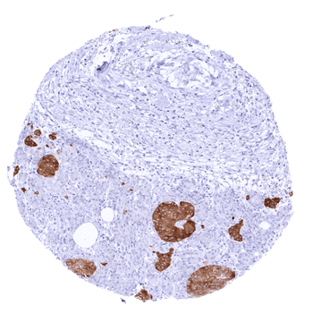
GAD2 / GAD65antibody validated for immunohistochemistry on 76 different Normal Tissues
产品名:GAD2 / GAD65 antibody
货号:orb2276255
产品中文名:GAD2 / GAD65 antibody 抗体
产品名:GAD2 / GAD65 antibody
货号:orb2276255
产品中文名:GAD2 / GAD65 antibody 抗体
Strong GAD2 staining of nerve fibres in the grey matter of the cerebrum.
Strong cytoplasmic GAD2 staining of pancreatic islet cells.
Pancreatic neuroendocrine tumor with strong GAD2 immunostaining of tumor cells.
风险提示:丁香通仅作为第三方平台,为商家信息发布提供平台空间。用户咨询产品时请注意保护个人信息及财产安全,合理判断,谨慎选购商品,商家和用户对交易行为负责。对于医疗器械类产品,请先查证核实企业经营资质和医疗器械产品注册证情况。
技术资料暂无技术资料 索取技术资料
GAD2 / GAD65 antibody 抗体,orb2276255,Biorbyt
¥5421







![MTMR9 antibody [C3], C-term抗体,orb556487,biorbyt](https://img1.dxycdn.com/p/s14/2025/1204/381/8001351760443146991.jpg!wh200)


