相关产品推荐更多 >
万千商家帮你免费找货
0 人在求购买到急需产品
- 详细信息
- 技术资料
- 抗体名:
STING1 antibody 抗体
- 抗体英文名:
STING1 antibody
- 浓度:
详询
- 应用范围:
IHC
- 宿主:
Mouse
- 适应物种:
Human
- 保质期:
6-12个月
- 抗原来源:
详询
- 目录编号:
orb2276226
- 级别:
科研
- 库存:
99
- 供应商:
Biorbyt
- 标记物:
Unconjugated
- 克隆性:
Monoclonal
- 保存条件:
Antibody with azide – store at 2 to 8°C. Antibody without azide – store at -20 to -80°C. Antibody is stable for 24 months. Non- hazardous. No MSD required.
- 形态:
详询
- 亚型:
IgG2c, kappa
- 免疫原:
Recombinant fragment (around aa190-290) of human TMEM173 protein (exact sequence is proprietary)
- 规格:
1 ml
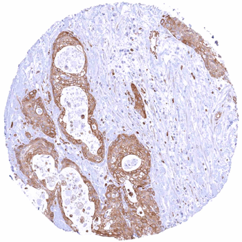
STING1 antibody validated for immunohistochemistry on 76 different Normal Tissues
产品名:STING1 antibody
货号:orb2276226
产品中文名:STING1 antibody 抗体
产品名:STING1 antibody
货号:orb2276226
产品中文名:STING1 antibody 抗体
Pancreas – Ductal adenocarcinoma with strong STING positivity of all tumor cells STING1 immunohistochemistry.
Appendix mucosa – STING staining of inflammatory cells predominates in the interfollicular zone STING immunohistochemistry.
Adrenal gland – STING staining of endothelial cells and of macrophages STING immunohistochemistry.
风险提示:丁香通仅作为第三方平台,为商家信息发布提供平台空间。用户咨询产品时请注意保护个人信息及财产安全,合理判断,谨慎选购商品,商家和用户对交易行为负责。对于医疗器械类产品,请先查证核实企业经营资质和医疗器械产品注册证情况。
技术资料暂无技术资料 索取技术资料
STING1 antibody 抗体,orb2276226,Biorbyt
¥16744






![Phospholipid scramblase 1 antibody [N1C3]抗体,orb556241,biorbyt](https://img1.dxycdn.com/p/s14/2025/1204/381/8001351760443146991.jpg!wh200)



