相关产品推荐更多 >
万千商家帮你免费找货
0 人在求购买到急需产品
- 详细信息
- 技术资料
- 供应商:
北京索莱宝科技有限公司
- 库存:
999
- 靶点:
CCR3
- 目录编号:
K113921P
- 克隆性:
多克隆
- 抗体英文名:
Anti-CCR3 Polyclonal Antibody
- 抗体名:
B chemokine receptor; b-chemokine receptor; C C chemokine receptor type 3; C C CKR 3; C-C chemokine receptor type 3; C-C CKR-3; CC chemokine receptor 3; CC chemokine receptor type 3; CC CKR 3; CC R3; CC-CKR-3; CCCKR3; CCR 3; CCR-3; CCR3; CCR3_HUMAN; CD 193; CD193; CD193 antigen; Chemokine (C C motif) receptor 3; chemokine (C-C motif) receptor 3; Chemokine (CC) receptor 1 like 2; Chemokine CC motif receptor 3; Chemokine receptor 3; CK R3; CKR 3; CKR3; CMKB R3; CMKBR 3; CMKBR1L2; CMKBR3; Eosinophil CC chemokine receptor 3; Eosinophil eotaxin receptor; Eotaxin receptor; Macrophage inflammatory protein 1 alpha receptor like 2; MGC102841; MIP1 Alpha RL2;
- 宿主:
Rabbit
- 适应物种:
Human
- 免疫原:
A synthetic peptide of human CCR3
- 亚型:
IgG
- 形态:
液体
- 应用范围:
IHC
- 保存条件:
Store at -20°C. Avoid freeze / thaw cycles.
- 浓度:
IHC 1:50-200.
- 规格:
50ul/100ul
| 规格: | 50ul | 产品价格: | ¥960.0 |
|---|---|---|---|
| 规格: | 100ul | 产品价格: | ¥1600.0 |
The protein encoded by this gene is a receptor for C-C type chemokines. It belongs to family 1 of the G protein-coupled receptors. This receptor binds and responds to a variety of chemokines, including eotaxin (CCL11), eotaxin-3 (CCL26), MCP-3 (CCL7), MCP-4 (CCL13), and RANTES (CCL5). It is highly expressed in eosinophils and basophils, and is also detected in TH1 and TH2 cells, as well as in airway epithelial cells. This receptor may contribute to the accumulation and activation of eosinophils and other inflammatory cells in the allergic airway. It is also known to be an entry co-receptor for HIV-1. This gene and seven other chemokine receptor genes form a chemokine receptor gene cluster on the chromosomal region 3p21. Alternatively spliced transcript variants have been described.

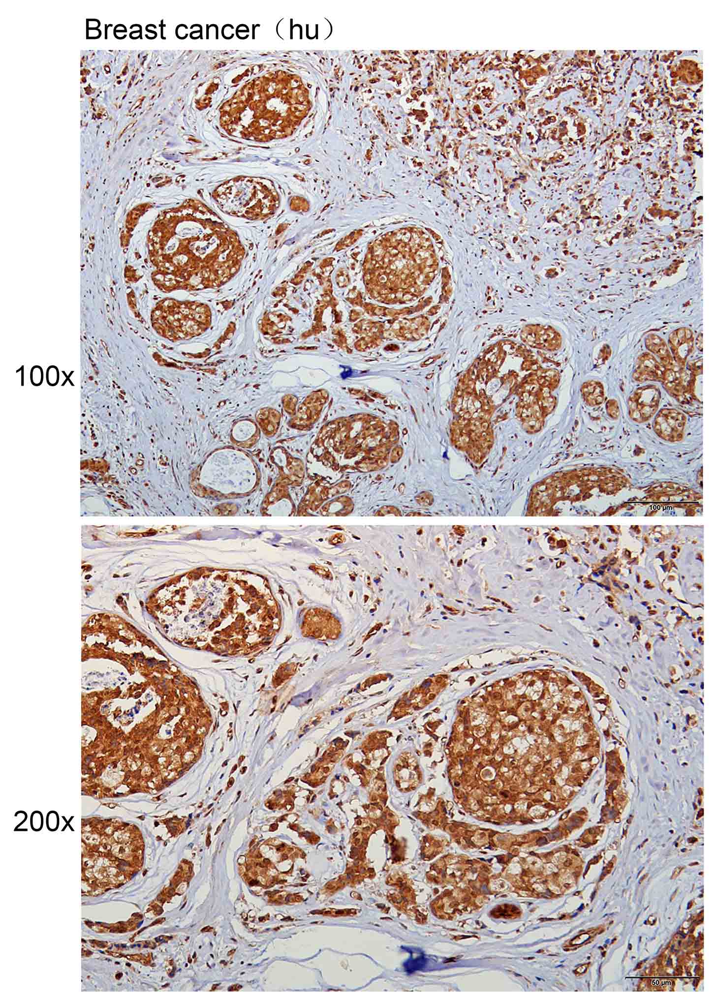
Immunohistochemistry of paraffin-embedded human breast cancer with CCR3 antibody diluted at 1:100.
风险提示:丁香通仅作为第三方平台,为商家信息发布提供平台空间。用户咨询产品时请注意保护个人信息及财产安全,合理判断,谨慎选购商品,商家和用户对交易行为负责。对于医疗器械类产品,请先查证核实企业经营资质和医疗器械产品注册证情况。
技术资料暂无技术资料 索取技术资料









