相关产品推荐更多 >
万千商家帮你免费找货
0 人在求购买到急需产品
- 详细信息
- 技术资料
- 供应商:
北京索莱宝科技有限公司
- 库存:
999
- 靶点:
PRKAA1/PRKAA2
- 目录编号:
K113864P
- 克隆性:
多克隆
- 抗体英文名:
Anti-PRKAA1/PRKAA2 Polyclonal Antibody
- 抗体名:
5 AMP activated protein kinase alpha 1catalytic subunit; 5 AMP activated protein kinase catalytic alpha 1 chain; 5' AMP activated protein kinase catalytic subunit alpha 1; 5'-AMP-activated protein kinase catalytic subunit alpha-1; AAPK1; AAPK1_HUMAN; ACACA kinase; acetyl CoA carboxylase kinase; AI194361; AI450832; AL024255; AMP -activate kinase alpha 1 subunit; AMP-activated protein kinase, catalytic, alpha -1; AMPK 1; AMPK alpha 1; AMPK alpha 1 chain; AMPK; AMPK subunit alpha-1; AMPK1; AMPKa1;
- 宿主:
Rabbit
- 适应物种:
Human ; Mousee ;Rat
- 免疫原:
A synthetic peptide of human PRKAA1/PRKAA2
- 亚型:
IgG
- 形态:
液体
- 应用范围:
IHC
- 保存条件:
Store at -20°C. Avoid freeze / thaw cycles.
- 浓度:
IHC 1:25-100.
- 规格:
50ul/100ul
| 规格: | 50ul | 产品价格: | ¥960.0 |
|---|---|---|---|
| 规格: | 100ul | 产品价格: | ¥1600.0 |
The protein encoded by this gene belongs to the ser/thr protein kinase family. It is the catalytic subunit of the 5'-prime-AMP-activated protein kinase (AMPK). AMPK is a cellular energy sensor conserved in all eukaryotic cells. The kinase activity of AMPK is activated by the stimuli that increase the cellular AMP/ATP ratio. AMPK regulates the activities of a number of key metabolic enzymes through phosphorylation. It protects cells from stresses that cause ATP depletion by switching off ATP-consuming biosynthetic pathways. Alternatively spliced transcript variants encoding distinct isoforms have been ob served.
1

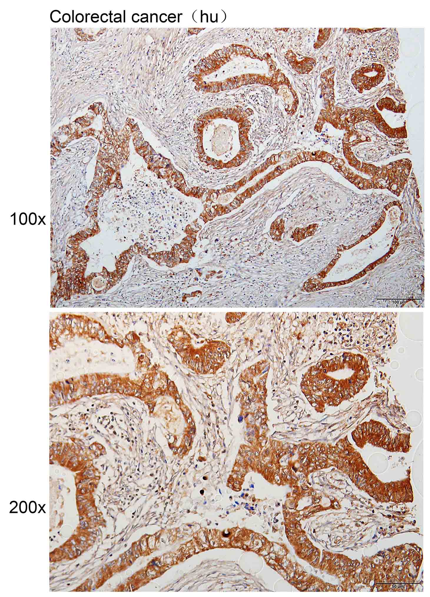
Immunohistochemistry of paraffin-embedded human colorectal cancer with PRKAA1/PRKAA2 antibody diluted at 1:50.
Immunohistochemistry of paraffin-embedded human testis cancer with PRKAA1/PRKAA2 antibody diluted at 1:50.
风险提示:丁香通仅作为第三方平台,为商家信息发布提供平台空间。用户咨询产品时请注意保护个人信息及财产安全,合理判断,谨慎选购商品,商家和用户对交易行为负责。对于医疗器械类产品,请先查证核实企业经营资质和医疗器械产品注册证情况。
技术资料暂无技术资料 索取技术资料









