相关产品推荐更多 >
万千商家帮你免费找货
0 人在求购买到急需产品
- 详细信息
- 技术资料
- 供应商:
北京索莱宝科技有限公司
- 库存:
999
- 靶点:
VAPA
- 目录编号:
K113774P
- 克隆性:
多克隆
- 抗体英文名:
Anti-VAPA Polyclonal Antibody
- 抗体名:
33 kDa Vamp-associated protein; hVAP 33; MGC3745; OTTHUMP00000162362; OTTHUMP00000162363; VAMP (vesicle-associated membrane protein) associated protein A, 33kDa; VAMP A; VAMP associated protein A; VAMP-A; VAMP-associated protein A; VAP 33; VAP A; VAP-33; VAP-A; VAP33; Vapa; VAPA_HUMAN; Vesicle associated membrane protein associated protein A; Vesicle-associated membrane protein-associated protein A;
- 宿主:
Rabbit
- 适应物种:
Human ; Mouse ; Rat
- 免疫原:
Recombinant protein of human VAPA
- 亚型:
IgG
- 形态:
液体
- 应用范围:
IHC
- 保存条件:
Store at -20°C. Avoid freeze / thaw cycles.
- 浓度:
IHC 1:50-200.
- 规格:
50ul/100ul
| 规格: | 50ul | 产品价格: | ¥960.0 |
|---|---|---|---|
| 规格: | 100ul | 产品价格: | ¥1600.0 |
The protein encoded by this gene is a type IV membrane protein. It is present in the plasma membrane and intracellular vesicles. It may also be associated with the cytoskeleton. This protein may function in vesicle trafficking, membrane fusion, protein complex assembly and cell motility. Alternative splicing occurs at this locus and two transcript variants encoding distinct isoforms have been identified.

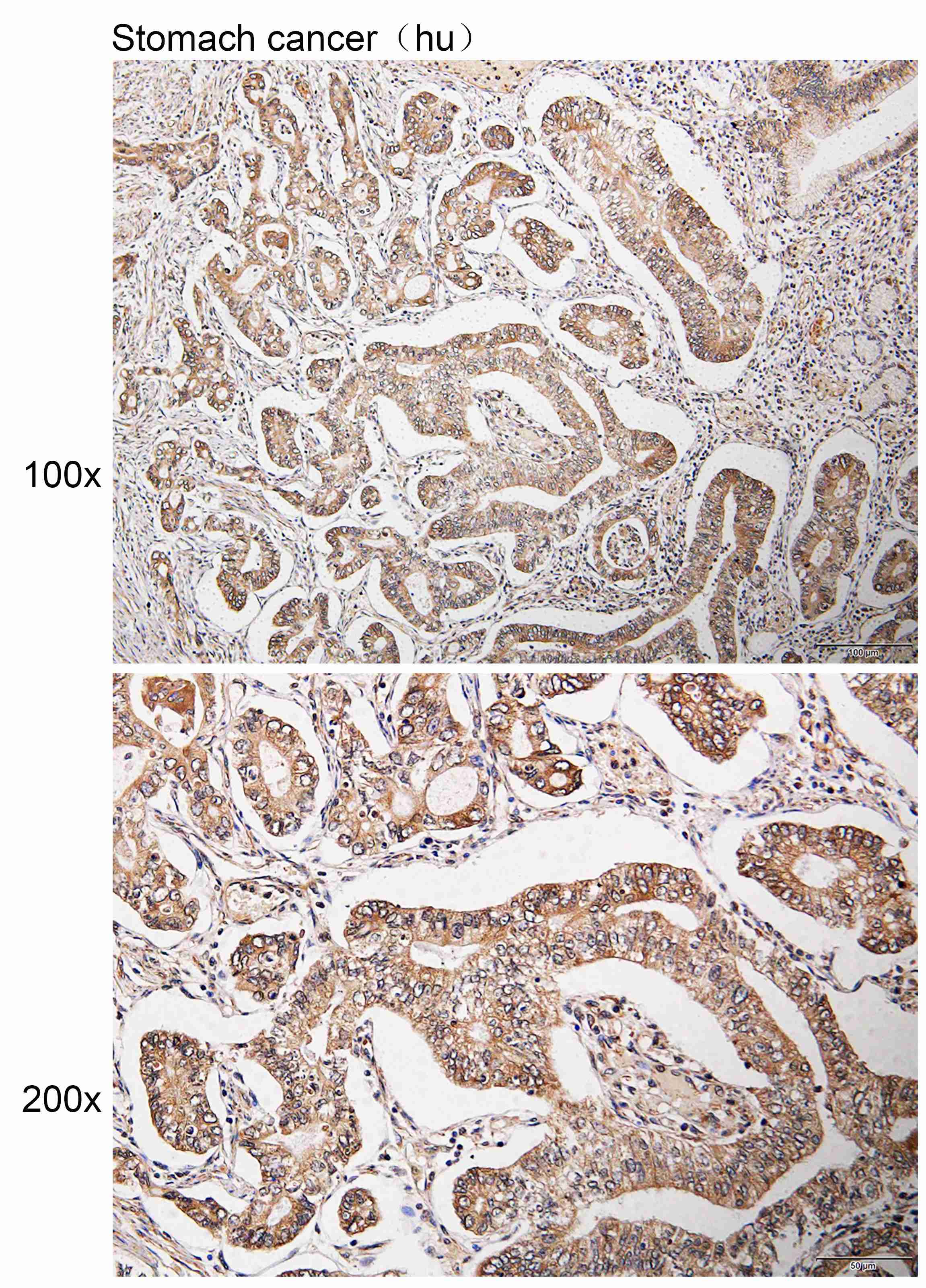
Immunohistochemistry of paraffin-embedded human stomach cancer with VAPA antibody diluted at 1:100.

Immunohistochemistry of paraffin-embedded human thyroid cancer with VAPA antibody diluted at 1:100.
风险提示:丁香通仅作为第三方平台,为商家信息发布提供平台空间。用户咨询产品时请注意保护个人信息及财产安全,合理判断,谨慎选购商品,商家和用户对交易行为负责。对于医疗器械类产品,请先查证核实企业经营资质和医疗器械产品注册证情况。
技术资料暂无技术资料 索取技术资料










