相关产品推荐更多 >

Visfatin Rabbit pAb, BF750 conjugated(bs-0273R-BF750)-100ul
¥2980
MMP-2 Rabbit pAb, Biotin conjugated(bs-4599R-Bio)-100ul
¥2980
RASA1 Rabbit pAb(bs-13280R)-50ul/100ul/200ul
¥1180
Lamin A/C Rabbit pAb(bs-1839R)-50ul/100ul/200ul
¥1180
CD146 Mouse mAb, PerCP-Cy7 conjugated(bsm-30106M-PerCP-Cy7)-25T/50T/100T
¥1380
万千商家帮你免费找货
0 人在求购买到急需产品
- 详细信息
- 文献和实验
- 技术资料
- 应用范围:
产品信息以Bioss网站为准
- 规格:
50ul/100ul/200ul
| 规格: | 50ul | 产品价格: | ¥1180.0 |
|---|---|---|---|
| 规格: | 100ul | 产品价格: | ¥1980.0 |
| 规格: | 200ul | 产品价格: | ¥2800.0 |
| 产品编号 | bs-25631R |
| 英文名称 | Cyclin G Rabbit pAb |
| 中文名称 | 周期素G抗体 |
| 英文别名 | CCNG 1; CCNG; CCNG1; CYCG1; Cyclin G; CCNG1_HUMAN; Cyclin-G; Cyclin G1; CyclinG1; Cyclin-G1. |
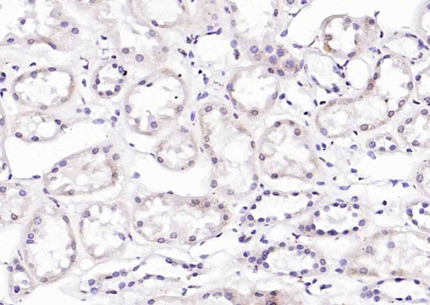
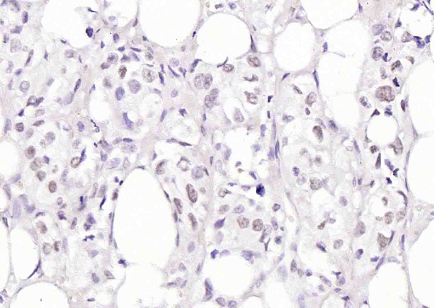
| 产品应用 | IHC-P=1:100-500, WB=1:500-2000, IHC-F=1:100-500, IF=1:100-500 Not yet tested in other applications. |
| 交叉反应 | Human, Mouse, Rat, Cerebrum, 肾, 肾, 肾, 肾, 肾, 肾, 肾, human breast carcinoma, human breast carcinoma, human breast carcinoma, human breast carcinoma (Pig, Dog, Cow, Horse, Rabbit, Sheep) |
| 抗体来源 | Rabbit |
| 免疫原 | KLH conjugated synthetic peptide derived from mouse Cyclin G |
| 亚型 | IgG |
| 性状 | Liquid |
| 纯化方法 | affinity purified by Protein A |
| 克隆类型 | Polyclonal |
| 理论分子量 | 34 kDa |
| 浓度 | 1mg/ml |
| 储存液 | 0.01M TBS (pH7.4) with 1% BSA, 0.02% Proclin300 and 50% Glycerol. |
| 亚细胞定位 | Nucleus. DNA replication foci after DNA damage. |
| 组织特异性 | High levels in skeletal muscle, ovary, kidney and colon. |
| 相似性 | Belongs to the cyclin family. Cyclin G subfamily. |
| 功能 | May play a role in growth regulation. Is associated with G2/M phase arrest in response to DNA damage. May be an intermediate by which p53 mediates its role as an inhibitor of cellular proliferation (By similarity). |
| 保存条件 | Shipped at 4℃. Store at -20℃ for one year. Avoid repeated freeze/thaw cycles. |
| 注意事项 | This product as supplied is intended for research use only, not for use in human, therapeutic or diagnostic applications. |
| 背景资料 | Cyclin G contains a typical N terminal cyclin box and a carboxy terminal domain sequence homologous to the tyrosine phosphorylation site of the epidermal growth factor receptor. Cyclin G2 shares 53% amino acid sequence identity with cyclin G1. Peak expression of cyclin G2 is seen in late S phase, as opposed to cyclin G1 expression, which is constitutive. |
| 应用 | 推荐稀释比例 |
| {IHC-P} | {1:100-500} |
| {WB} | {1:500-2000} |
| {IHC-F} | {1:100-500} |
| {IF} | {1:100-500} |





Lane 1: Human HepG2 cell lysates
Lane 2: Human 293T cell lysates
Lane 3: Human U87MG cell lysates
Primary: Anti-Cyclin G (bs-25631R) at 1/500 dilution
Secondary: IRDye800CW Goat Anti-Rabbit IgG at 1/20000 dilution
Predicted band size: 34 kDa
Observed band size: 35 kDa
风险提示:丁香通仅作为第三方平台,为商家信息发布提供平台空间。用户咨询产品时请注意保护个人信息及财产安全,合理判断,谨慎选购商品,商家和用户对交易行为负责。对于医疗器械类产品,请先查证核实企业经营资质和医疗器械产品注册证情况。
文献和实验that disrupt GSK-3 signaling (e.g., genetargetedcells such as mouse embryonic fibroblasts [MEFs] lacking GSK-3a or GSK-3b, or RNA interference techniques) when examining the involvement of GSK-3 isoforms in the regulationof specific cellular processes
Studies of the Ubiquitin Proteasome System
Assays of E1 and E2 Activity Basic Protocol 1: Thiolester Formation Between Rabbit E1 and Ubiquitin Basic Protocol 2: Thiolester Formation Between E2 and Ubiquitin Binding of Ubiquitin‐Proteasome Proteins Basic Protocol 3: Binding of E2s to E3s Alternate
, Algermissen, B. et al. 3. Purification of rabbit liver aldehyde oxidase by affinity chromatography on benzamidine Sepharose 6B. J. Chromatogr. (1989), 475 363-72, Stell, J. G. P. et al. 4. The Crystal Structure of a T Cell Receptor in Complex
技术资料暂无技术资料 索取技术资料





