Blocking buffer: 5% NFDM/TBST
Primary ab dilution: 1:2000
Primary ab incubation condition: 2 hours at
room temperature
Lysate: HeLa
Protein loading quantity: 20 μg
Exposure time: 60 s
Predicted MW: 69 kDa
Observed MW: 40, 69 kDa
相关产品推荐更多 >

CKAP4 Rabbit pAb, APC-Cy5.5 conjugated(bs-6520R-APC-Cy5.5)-100ul
¥2980
CASPR Rabbit pAb, BF594 conjugated(bs-11128R-BF594)-100ul
¥2980
phospho-Tyrosine Rabbit pAb, HRP conjugated(bs-10497R-HRP)-100ul
¥2980
ID1 Rabbit pAb, FITC conjugated(bs-6541R-FITC)-100ul
¥2980
HSPA12A Rabbit pAb, Cy3 conjugated(bs-18076R-Cy3)-100ul
¥2980
万千商家帮你免费找货
0 人在求购买到急需产品
- 详细信息
- 技术资料
- 应用范围:
产品信息以Bioss网站为准
- 规格:
50ul/100ul/25ul
| 规格: | 50ul | 产品价格: | ¥1400.0 |
|---|---|---|---|
| 规格: | 100ul | 产品价格: | ¥2500.0 |
| 规格: | 25ul | 产品价格: | ¥800.0 |
| 产品编号 | bsm-60005R |
| 英文名称 | Mesothelin Recombinant Rabbit mAb |
| 中文名称 | 间皮素重组兔单抗 |
| 英文别名 | MSLN; MES; CAK 1; CAK1; CAK1 antigen; Megakaryocyte potentiating factor; Mesothelin isoform 1 precursor; MPF; Pre pro megakaryocyte potentiating factor; SMR; SMRP; Soluble MPF mesothelin related protein; MSLN_HUMAN. |
| 产品应用 | WB=1:500-2000, IHC-P=1:100-500, IHC-F=1:100-500, IF=1:100-500 Not yet tested in other applications. |
| 交叉反应 | Human, Human skin tumor, Human skin tumor, Human skin tumor, Human skin tumor |
| 抗体来源 | Rabbit |
| 免疫原 | A synthesized peptide derived from human Mesothelin |
| 亚型 | IgG |
| 性状 | Liquid |
| 纯化方法 | affinity purified by Protein A |
| 克隆类型 | Recombinant |
| 理论分子量 | 64 kDa |
| 浓度 | 1mg/ml |
| 储存液 | 0.01M TBS (pH7.4) with 1% BSA, 0.02% Proclin300 and 50% Glycerol. |
| 研究领域 | Cancer > Tumor biomarkers > Tumor antigens Cancer > Tumor immunology > Tumor-associated antigens Tags & Cell Markers > Cell Type Markers > Epi / Endo-thelial Tags & Cell Markers > Cell Type Markers > Tumor Associated |
| 亚基 | Interacts with MUC16. |
| 亚细胞定位 | Cell membrane; Lipid-anchor, GPI-anchor. Golgi apparatus.
Megakaryocyte-potentiating factor: Secreted. Isoform 3: Secreted. |
| 组织特异性 | Expressed in lung. Expressed at low levels in heart, placenta and kidney. Expressed in mesothelial cells. Highly expressed in mesotheliomas, ovarian cancers, and some squamous cell carcinomas (at protein level). |
| 翻译后修饰 | Both MPF and the cleaved form of mesothelin are N-glycosylated. Proteolytically cleaved by a furin-like convertase to generate megakaryocyte-potentiating factor (MPF), and the cleaved form of mesothelin. |
| 相似性 | Belongs to the mesothelin family. |
| 功能 | Membrane-anchored forms may play a role in cellular adhesion. Megakaryocyte-potentiating factor (MPF) potentiates megakaryocyte colony formation in vitro. |
| 保存条件 | Shipped at 4℃. Store at -20℃ for one year. Avoid repeated freeze/thaw cycles. |
| 注意事项 | This product as supplied is intended for research use only, not for use in human, therapeutic or diagnostic applications. |
| 背景资料 | Mesothelin(MSLN)may play a role in cell adhesion and cell shape dynamics; human homolog highly expressed in renal cell carcinoma. malignant tumors, such as a skin lump, ovary cancer and the pancreas cancer...etc..Mainly used for the research of the malignant tumor. |
| 应用 | 推荐稀释比例 |
| {WB} | {1:500-2000} |
| {IHC-P} | {1:100-500} |
| {IHC-F} | {1:100-500} |
| {IF} | {1:100-500} |


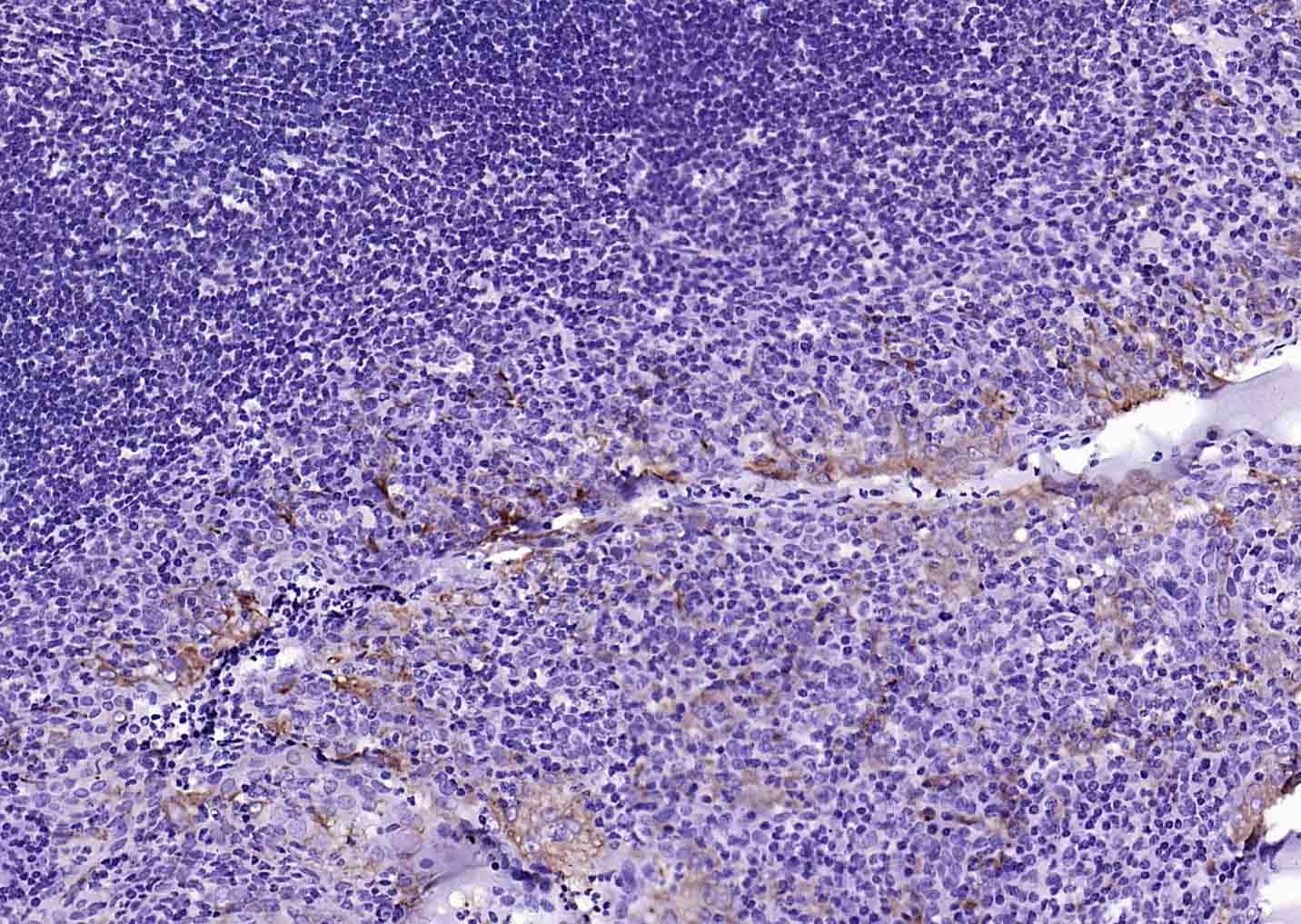
Paraformaldehyde-fixed, paraffin embedded (human tonsil); Antigen retrieval by boiling in sodium citrate buffer (pH6.0) for 15min; Block endogenous peroxidase by 3% hydrogen peroxide for 20 minutes; Blocking buffer (normal goat serum) at 37°C for 30min; Antibody incubation with (Mesothelin) Monoclonal Antibody, Unconjugated (bsm-60005R) at 1:200 overnight at 4°C, followed by operating according to SP Kit(Rabbit) (sp-0023) instructionsand DAB staining.

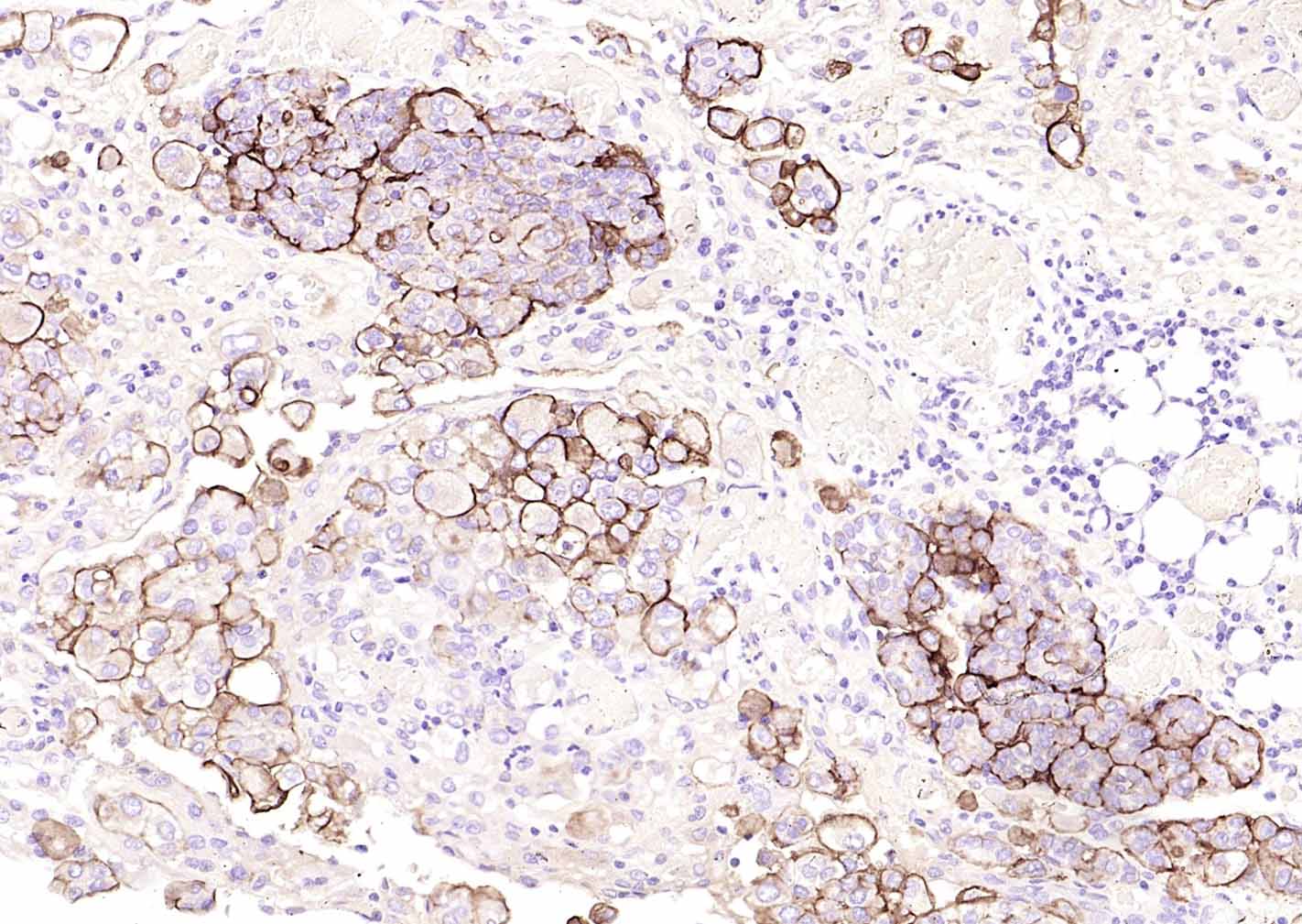
Paraformaldehyde-fixed, paraffin embedded (Human skin tumor); Antigen retrieval by boiling in sodium citrate buffer (pH6.0) for 15min; Block endogenous peroxidase by 3% hydrogen peroxide for 20 minutes; Blocking buffer (normal goat serum) at 37°C for 30min; Incubation with (Mesothelin) Monoclonal Antibody, Unconjugated (bsm-60005R) at 1:200 overnight at 4°C, followed by operating according to SP Kit(Rabbit) (sp-0023) instructionsand DAB staining.
风险提示:丁香通仅作为第三方平台,为商家信息发布提供平台空间。用户咨询产品时请注意保护个人信息及财产安全,合理判断,谨慎选购商品,商家和用户对交易行为负责。对于医疗器械类产品,请先查证核实企业经营资质和医疗器械产品注册证情况。
技术资料暂无技术资料 索取技术资料
Mesothelin Recombinant Rabbit mAb(bsm-60005R)-50ul/100ul/25ul
¥800 - 2500





