相关产品推荐更多 >

IL13RA2 Rabbit pAb, PE conjugated(bs-2461R-PE)-100ul
¥2980
Aurora B Rabbit pAb, AP conjugated(bs-22286R-AP)-100ul
¥2980
Dystrophin Rabbit pAb(bs-14477R)-50ul/100ul/200ul
¥1180
Anti-human IL-1b (Gevokizumab Biosimilar)(BIO0563SM)-1mg/5mg/20mg
¥3200
PTH/Parathyroid hormone Rabbit pAb(bs-10488R)-50ul/100ul/200ul
¥1180
万千商家帮你免费找货
0 人在求购买到急需产品
- 详细信息
- 文献和实验
- 技术资料
- 应用范围:
产品信息以Bioss网站为准
- 规格:
50ul/100ul/25ul
| 规格: | 50ul | 产品价格: | ¥1400.0 |
|---|---|---|---|
| 规格: | 100ul | 产品价格: | ¥2500.0 |
| 规格: | 25ul | 产品价格: | ¥800.0 |
| 产品编号 | bsm-60359M |
| 英文名称 | Annexin IV Recombinant Mouse mAb |
| 中文名称 | 膜粘连蛋白A4重组鼠单抗 |
| 英文别名 | 35 beta calcimedin; Carbohydrate binding protein P33/P41; DKFZp686H02120; Endonexin I; Lipocortin IV; P32.5; Annexin A4; Annexin IV placental anticoagulant protein II; ANX 4; ANX A4; ANX4; ANXA 4; LipocortinIV; P33/41; Placental anticoagulant protein II antibody PP4X; Proliferation inducing protein 28; ANXA4_HUMAN. |
| 产品应用 | WB=1:500-2000, IHC-P=1:100-500, IHC-F=1:100-500, ICC/IF=1:50-200, IF=1:100-500 Not yet tested in other applications. |
| 交叉反应 | Human |
| 抗体来源 | Mouse |
| 免疫原 | KLH conjugated synthetic peptide derived from human Annexin IV |
| 亚型 | IgG |
| 性状 | Liquid |
| 纯化方法 | affinity purified by Protein A |
| 克隆类型 | Recombinant |
| 理论分子量 | 35 kDa |
| 浓度 | 1mg/ml |
| 储存液 | 0.01M TBS (pH7.4) with 1% BSA, 0.02% Proclin300 and 50% Glycerol. |
| 研究领域 | Cardiovascular > Blood > Coagulation > Regulatory Signal Transduction > Cytoskeleton / ECM > Cell Adhesion > Annexins Signal Transduction > Signaling Pathway > Calcium Signaling > Calcium Binding Proteins |
| 相似性 | Belongs to the annexin family.
Contains 4 annexin repeats. |
| 功能 | Calcium/phospholipid-binding protein which promotes membrane fusion and is involved in exocytosis. |
| 保存条件 | Shipped at 4℃. Store at -20℃ for one year. Avoid repeated freeze/thaw cycles. |
| 注意事项 | This product as supplied is intended for research use only, not for use in human, therapeutic or diagnostic applications. |
| 背景资料 | The Annexins are a family of structurally similar proteins. Annexins bind to phospholipids and may be involved in regulation of membrane transport, membrane channel activity, and interaction of the cell membrane with the extracellular matrix. Annexin A4 (ANXA4) belongs to the annexin family of calcium dependent phospholipid binding proteins. Although their functions are still not clearly defined, several members of the annexin family have been implicated in membrane related events along exocytotic and endocytotic pathways. ANXA4 has 45 to 59% identity with other members of its family and shares a similar size and exon intron organization. Isolated from human placenta, ANXA4 encodes a protein that has possible interactions with ATP, and has in vitro anticoagulant activity and also inhibits phospholipase A2 activity. ANXA4 is almost exclusively expressed in epithelial cells. |
| 应用 | 推荐稀释比例 |
| {WB} | {1:500-2000} |
| {IHC-P} | {1:100-500} |
| {IHC-F} | {1:100-500} |
| {ICC/IF} | {1:50-200} |
| {IF} | {1:100-500} |

Primary ab dilution: 1:1000
Primary ab incubation condition:4°C overnight
Lysate: HeLa, HepG2, SW480, SH-SY5Y
Protein loading quantity: 20 μg
Exposure time: 60 s
Predicted MW: 32 kDa
Observed MW: 32 kDa

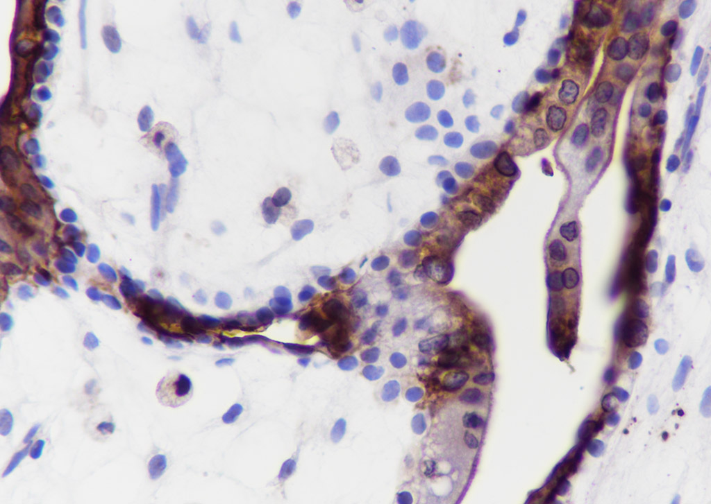
Section type: Formalin fixed & Paraffin -embedded section
Retrieval method: High temperature and high pressure
Retrieval buffer: Tris/EDTA buffer, pH 9.0 Primary ab dilution: 1:100
Primary ab incubation condition: 1 hour at room temperature
Counter stain: Hematoxylin
Comment: Color brown is the positive signal for bsm-60359M
风险提示:丁香通仅作为第三方平台,为商家信息发布提供平台空间。用户咨询产品时请注意保护个人信息及财产安全,合理判断,谨慎选购商品,商家和用户对交易行为负责。对于医疗器械类产品,请先查证核实企业经营资质和医疗器械产品注册证情况。
文献和实验到 PVDF 膜上,同时减少蛋白不必要降解,这对于最终获得清晰、可信结果也是需要考虑因素。抗体信息:1.ACC1, Recombinant Rabbit monoclonal IgG. HuaAn. HuaAn biotechnology , inc.2.ATGL, Mouse mAb IgG1, Cat#:RT1058. HuaAn biotechnology , inc.3.p-PERK(Thr981), Rabbit Polyclonal IgG primary antibodies, Cat
Production of Monoclonal Antibody by DNA Immunization with Electroporation
associated with problematic antigens: low abundance and protein instability and use of recombinant proteins that lack posttranslational modifications. This chapter describes the use of a DNA-based immunization protocol for the production of mAb
The OP9-DL1 System: Generation of T-Lymphocytes from Embryonic or Hematopoietic Stem Cells In Vitro
) (for Protocols 2-4) Recombinant murine IL-7 (Peprotech 217-17) (for Protocols 2-4) Trypsin solution, 0.25% (Invitrogen 15090046) (for Protocols 1, 2) Dilute stock trypsin to 0.25% with PBS. Equipment Biosafety cabinet Cell strainers (40-µm pore size
技术资料暂无技术资料 索取技术资料






