相关产品推荐更多 >

FAM86A Rabbit pAb(bs-16019R)-50ul/100ul/200ul
¥1180
Pokemon Rabbit pAb(bs-10235R)-50ul/100ul/200ul
¥1180
RNA polymerase II CTD repeat YSPTSPS (phospho S5) Rabbit pAb, PE-Cy5 conjugated(bs-6582R-PE-Cy5)-100ul
¥2980
RAD51D Rabbit pAb(bs-19726R)-50ul/100ul/200ul
¥1180
DUSP10 Rabbit pAb(bs-13035R)-50ul/100ul/200ul
¥1180
万千商家帮你免费找货
0 人在求购买到急需产品
- 详细信息
- 文献和实验
- 技术资料
- 应用范围:
产品信息以Bioss网站为准
- 规格:
50ul/100ul/25ul
| 规格: | 50ul | 产品价格: | ¥1400.0 |
|---|---|---|---|
| 规格: | 100ul | 产品价格: | ¥2500.0 |
| 规格: | 25ul | 产品价格: | ¥800.0 |
| 产品编号 | bsm-60288R |
| 英文名称 | URI1 Recombinant Rabbit mAb |
| 中文名称 | 19号染色体开放阅读框2重组兔单抗 |
| 英文别名 | C19orf2; Chromosome 19 open reading frame 2; NNX3; PPP1R19; Protein NNX3; Protein phosphatase 1 regulatory subunit 19; RMP_HUMAN; RNA polymerase II subunit 5 mediating protein; RNA polymerase II subunit 5-mediating protein; RPB5 mediating protein; RPB5-mediating protein; Unconventional prefoldin RPB5 interactor 1; Unconventional prefoldin RPB5 interactor; URI; URI1, prefoldin-like chaperone. |
| 产品应用 | WB=1:500-2000, IHC-P=1:200-1000, IHC-F=1:200-1000, ICC/IF=1:50-200, IF=1:200-1000 Not yet tested in other applications. |
| 交叉反应 | Human |
| 抗体来源 | Rabbit |
| 免疫原 | KLH conjugated synthetic peptide derived from human STMN1 |
| 亚型 | IgG |
| 性状 | Liquid |
| 纯化方法 | affinity purified by Protein A |
| 克隆类型 | Recombinant |
| 理论分子量 | 60 kDa |
| 浓度 | 1mg/ml |
| 储存液 | 0.01M TBS (pH7.4) with 1% BSA, 0.02% Proclin300 and 50% Glycerol. |
| 研究领域 | Epigenetics and Nuclear Signaling > Transcription > Other factors |
| 亚细胞定位 | Nucleus. Cytoplasm. Mitochondrion. Cell projection > dendrite. Colocalizes with PFDN2, PFDN4, PPP1CC, RPS6KB1 and STAP1 at mitochondrion. |
| 组织特异性 | Ubiquitous. Expressed in ovarian cancers (at protein level). Expressed strongly in skeletal muscle. Expressed weakly in brain, heart, pancreas and in prostate epithelial cells. |
| 翻译后修饰 | Phosphorylated. Phosphorylation occurs essentially on serine residues. Phosphorylation occurs in response to androgen treatment in prostate cancer cells in a mTOR-dependent manner. Phosphorylated; hyperhosphorylated in mitochondria in a mTORC-dependent signaling pathway. Phosphorylated at Ser-372 by RPS6KB1 in a growth factor- and rapamycin-dependent manner. S6K1-mediated mitochondrial phosphorylation at Ser-372 disrupts the URI1-PPP1CC complex in the mitochondrion, releaves PPP1CC phosphatase inhibition activity and hence engages a negative feedback diminishing RPS6KB1 kinase activity and preventing sustained S6K1-dependent signaling. |
| 相似性 | Belongs to the RNA polymerase II subunit 5-mediating protein family. |
| 功能 | Involved in gene transcription regulation. Acts as a transcriptional repressor in concert with the corepressor UXT to regulate androgen receptor (AR) transcription. May act as a tumor suppressor to repress AR-mediated gene transcription and to inhibit anchorage-independent growth in prostate cancer cells. Required for cell survival in ovarian cancer cells. Together with UXT, associates with chromatin to the NKX3-1 promoter region. Antagonizes transcriptional modulation via hepatitis B virus X protein. Plays a central role in maintaining S6K1 signaling and BAD phosphorylation under normal growth conditions thereby protecting cells from potential deleterious effects of sustained S6K1 signaling. The URI1-PPP1CC complex acts as a central component of a negative feedback mechanism that counteracts excessive S6K1 survival sigaling to BAD in response to growth factors. Mediates inhibition of PPP1CC phosphatase activity at mitochondria. Coordinates the regulation of nutrient-sensitive gene expression availability in a mTOR-dependent manner. Seems to be a scaffolding protein able to assemble a prefoldin-like complex that contains PFDs and proteins with roles in transcription and ubiquitination. |
| 保存条件 | Shipped at 4℃. Store at -20℃ for one year. Avoid repeated freeze/thaw cycles. |
| 注意事项 | This product as supplied is intended for research use only, not for use in human, therapeutic or diagnostic applications. |
| 背景资料 | This gene encodes member of the prefoldin family of molecular chaperones. The encoded protein functions as a scaffolding protein and plays roles in ubiquitination and transcription, in part though interactions with the RNA polymerase II subunit RPB5. This gene may play a role in multiple malignancies including ovarian cancer and hepatocellular carcinoma. Alternatively spliced transcript variants encoding multiple isoforms have been observed for this gene, and a pseudogene of this gene is located on the long arm of chromosome 22. [provided by RefSeq, Nov 2011] |
| 应用 | 推荐稀释比例 |
| {WB} | {1:500-2000} |
| {IHC-P} | {1:200-1000} |
| {IHC-F} | {1:200-1000} |
| {ICC/IF} | {1:50-200} |
| {IF} | {1:200-1000} |

Fixative: 4% Paraformaldehyde
Permeabilization: 0.1% TritonX-100
Primary ab dilution: 1:50
Primary incubation condition: 4°C overnight
Secondary ab: Goat Anti-Rabbit IgG
Nuclear counter stain: DAPI (Blue)
Comment: Color green is the positive signal for bsm-60288R

Primary ab dilution: 1:1000
Primary ab incubation condition: 2 hours at
room temperature
Lysate: HeLa, 293T, U87MG
Protein loading quantity: 20 μg
Exposure time: 60 s
Predicted MW: 60 kDa
Observed MW: 79 kDa

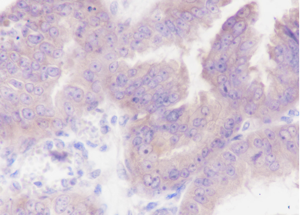
Section type: Formalin fixed & Paraffin -embedded section
Retrieval method: High temperature and high pressure
Retrieval buffer: Tris/EDTA buffer, pH 9.0 Primary ab dilution: 1:1000
Primary ab incubation condition: 1 hour at room temperature
Counter stain: Hematoxylin
Comment: Color brown is the positive signal for bsm-60288R
风险提示:丁香通仅作为第三方平台,为商家信息发布提供平台空间。用户咨询产品时请注意保护个人信息及财产安全,合理判断,谨慎选购商品,商家和用户对交易行为负责。对于医疗器械类产品,请先查证核实企业经营资质和医疗器械产品注册证情况。
文献和实验到 PVDF 膜上,同时减少蛋白不必要降解,这对于最终获得清晰、可信结果也是需要考虑因素。抗体信息:1.ACC1, Recombinant Rabbit monoclonal IgG. HuaAn. HuaAn biotechnology , inc.2.ATGL, Mouse mAb IgG1, Cat#:RT1058. HuaAn biotechnology , inc.3.p-PERK(Thr981), Rabbit Polyclonal IgG primary antibodies, Cat
The OP9-DL1 System: Generation of T-Lymphocytes from Embryonic or Hematopoietic Stem Cells In Vitro
al. 2006b ). MATERIALS Reagents Anti-CD24 monoclonal antibody (mAb) (J11d clone) (for Protocol 3) Use either culture supernatant that contains anti-CD24 mAb or purified anti-CD24 mAb (see Step 55). BDPharmLyse (red blood cell lysing
技术资料暂无技术资料 索取技术资料





