相关产品推荐更多 >

phospho-STAT5b (Ser731) Rabbit pAb, APC-Cy5.5 conjugated(bs-5703R-APC-Cy5.5)-100ul
¥2980
CPN2 Rabbit pAb(bs-9907R)-50ul/100ul/200ul
¥1180
ZNF740 Rabbit pAb(bs-12227R)-50ul/100ul/200ul
¥1180
GGCX Rabbit pAb(bs-10530R)-50ul/100ul/200ul
¥1180
phospho-Smad2 (Ser250) Rabbit pAb, PE-Cy5.5 conjugated(bs-7464R-PE-Cy5.5)-100ul
¥2980
万千商家帮你免费找货
0 人在求购买到急需产品
- 详细信息
- 技术资料
- 应用范围:
产品信息以Bioss网站为准
- 规格:
50ul/100ul/200ul
| 规格: | 50ul | 产品价格: | ¥1180.0 |
|---|---|---|---|
| 规格: | 100ul | 产品价格: | ¥1980.0 |
| 规格: | 200ul | 产品价格: | ¥2800.0 |
| 产品编号 | bs-25079R |
| 英文名称 | Plexin A1 Rabbit pAb |
| 中文名称 | 神经丛蛋白A1抗体 |
| 英文别名 | NOV; NOV/plexin A1 protein; NOVP; Plexin1; PlexinA1; PLXN1; PLXNA1; PLXNA1; protein; Semaphorin receptor NOV; PLXA1_HUMAN. |
| 产品应用 | IHC-P=1:100-500, IHC-F=1:400-800, IF=1:100-500 Not yet tested in other applications. |
| 交叉反应 | Rat, spinal cord, spinal cord, spinal cord, spinal cord (Human, Mouse, Dog, Pig, Cow, Horse, Sheep) |
| 抗体来源 | Rabbit |
| 免疫原 | KLH conjugated synthetic peptide derived from human Plexin A1 |
| 亚型 | IgG |
| 性状 | Liquid |
| 纯化方法 | affinity purified by Protein A |
| 克隆类型 | Polyclonal |
| 理论分子量 | 206 kDa |
| 浓度 | 1mg/ml |
| 储存液 | 0.01M TBS (pH7.4) with 1% BSA, 0.02% Proclin300 and 50% Glycerol. |
| 研究领域 | Neuroscience > Neurology process > Growth and Development > Axonal Guidance Proteins Neuroscience > Neurology process > Neurogenesis Neuroscience > Neurology process > Neuroregeneration > Neuroregeneration Neuroscience > Neurotransmission > Receptors / Channels > GPCR > More GPCR |
| 亚基 | Interacts directly with NRP1 and NRP2. Interacts with FARP2, RND1 and KDR/VEGFR2. Binding of SEMA3A leads to dissociation of FARP2. |
| 亚细胞定位 | Cell membrane (Probable); Single-pass type I membrane protein. |
| 组织特异性 | Detected in fetal brain, lung, liver and kidney. |
| 相似性 | Belongs to the plexin family. Contains 4 IPT/TIG domains. Contains 1 Sema domain. |
| 功能 | Coreceptor for SEMA3A, SEMA3C, SEMA3F and SEMA6D. Necessary for signaling by class 3 semaphorins and subsequent remodeling of the cytoskeleton. Plays a role in axon guidance, invasive growth and cell migration. Class 3 semaphorins bind to a complex composed of a neuropilin and a plexin. The plexin modulates the affinity of the complex for specific semaphorins, and its cytoplasmic domain is required for the activation of down-stream signaling events in the cytoplasm. |
| 保存条件 | Shipped at 4℃. Store at -20℃ for one year. Avoid repeated freeze/thaw cycles. |
| 注意事项 | This product as supplied is intended for research use only, not for use in human, therapeutic or diagnostic applications. |
| 背景资料 | Plexins are a family of large integral membrane proteins that complex with neuropilins to form semaphorin co-receptors. The extracellular region of plexins contain a semaphorin domain, multiple glycine rich motifs, and MET related sequences. The cytoplasmic region contains a Sex/Plexin domain and putative tyrosine phosphorylation sites that mediate signal transduction after activation. This region in Plexin A1 binds the RhoGTPases, Rnd1 and RhoD. Recruitment of Rnd1 has been implicated in the cytoskeletal collapse that occurs after semaphorin mediated activation of Plexin A1, while RhoD may block this collapsing activity through interaction with the cytoplasmic region of Plexin A1. The expression of Plexin A1, along with the co receptor Neuropilin 1, is upregulated in neurons after central nervous system injury. The axons from these neurons cannot cross semaphorin 3A containing regions at the site of injury. Thus, semaphorin 3A and its co-receptors, Plexin A1 and Neuropilin 1, may have significant roles in axon regeneration after neuronal injury. |
| 应用 | 推荐稀释比例 |
| {IHC-P} | {1:100-500} |
| {IHC-F} | {1:400-800} |
| {IF} | {1:100-500} |

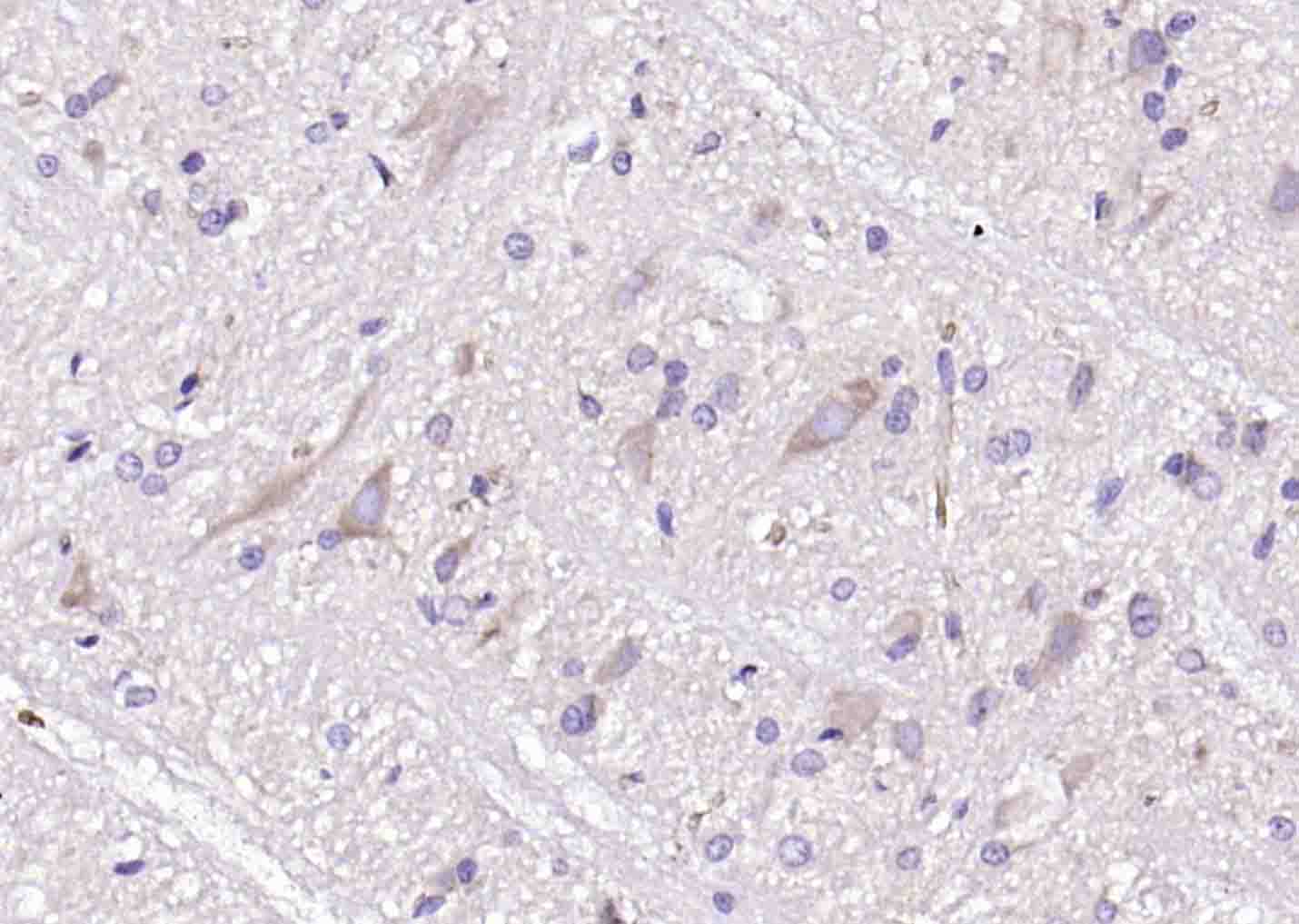
Paraformaldehyde-fixed, paraffin embedded (rat spinal cord); Antigen retrieval by boiling in sodium citrate buffer (pH6.0) for 15min; Block endogenous peroxidase by 3% hydrogen peroxide for 20 minutes; Blocking buffer (normal goat serum) at 37°C for 30min; Antibody incubation with (Plexin A1) Polyclonal Antibody, Unconjugated (bs-25079R) at 1:200 overnight at 4°C, followed by operating according to SP Kit(Rabbit) (sp-0023) instructionsand DAB staining.
风险提示:丁香通仅作为第三方平台,为商家信息发布提供平台空间。用户咨询产品时请注意保护个人信息及财产安全,合理判断,谨慎选购商品,商家和用户对交易行为负责。对于医疗器械类产品,请先查证核实企业经营资质和医疗器械产品注册证情况。
技术资料暂无技术资料 索取技术资料
Plexin A1 Rabbit pAb(bs-25079R)-50ul/100ul/200ul
¥1180 - 2800






