相关产品推荐更多 >

SMAD7 Rabbit pAb, APC conjugated(bs-23328R-APC)-100ul
¥2980
CK7 Rabbit pAb, PE-Cy7 conjugated(bs-1610R-PE-Cy7)-100ul
¥2980
Anti-human Integrin a4b7 (Abrilumab Biosimilar)(BIO0406SM)-1mg/5mg/20mg
¥3200
Myc tag Rabbit pAb, HRP conjugated(bs-23166R-HRP)-100ul
¥1200
phospho-DNM1L (Ser616) Rabbit pAb, BF350 conjugated(bs-12702R-BF350)-100ul
¥2980
万千商家帮你免费找货
0 人在求购买到急需产品
- 详细信息
- 技术资料
- 应用范围:
产品信息以Bioss网站为准
- 规格:
50ul/100ul
| 规格: | 50ul | 产品价格: | ¥1400.0 |
|---|---|---|---|
| 规格: | 100ul | 产品价格: | ¥2500.0 |
| 产品编号 | bsm-52379R |
| 英文名称 | Synaptophysin Recombinant Rabbit mAb |
| 中文名称 | 突触小泡蛋白P38重组兔单抗 |
| 英文别名 | Major synaptic vesicle protein P38; MRXSYP; Syn p38; SYP; SYPH; SYPH_HUMAN; SypI. |
| 产品应用 | WB=1:2000-10000, IHC-P=1:200-800, IHC-F=1:200-800, IF=1:200-800, Flow-Cyt=1ug/Test Not yet tested in other applications. |
| 交叉反应 | Human, Mouse, Rat, pancreas, colon, colon, colon, colon, cerebellum, cerebellum, cerebellum, cerebellum, Cerebrum, Cerebrum, Cerebrum, Cerebrum, cerebellum, cerebellum, cerebellum, colon, colon, colon, Cerebrum, Cerebrum, Cerebrum, cerebellum, cerebellum, cerebellum, Human left parietal lobe, Human left parietal lobe, Human left parietal lobe, Human left parietal lobe |
| 抗体来源 | Rabbit |
| 免疫原 | A synthesized peptide derived from human Synaptophysin |
| 亚型 | IgG |
| 性状 | Liquid |
| 纯化方法 | affinity purified by Protein A |
| 克隆类型 | Recombinant |
| 理论分子量 | 34 kDa |
| 浓度 | 1mg/ml |
| 储存液 | 0.01M TBS (pH7.4) with 1% BSA, 0.02% Proclin300 and 50% Glycerol. |
| 研究领域 | Neuroscience > Cell Type Marker > Neuron marker > Synapse marker Neuroscience > Neurotransmission > Secretory Vesicles > SNAPs & SNAREs |
| 亚细胞定位 | Cytoplasmic vesicle > secretory vesicle > synaptic vesicle membrane. Cell junction > synapse > synaptosome. |
| 组织特异性 | Characteristic of a type of small (30-80 nm) neurosecretory vesicles, including presynaptic vesicles, but also vesicles of various neuroendocrine cells of both neuronal and epithelial phenotype. |
| 翻译后修饰 | Ubiquitinated; mediated by SIAH1 or SIAH2 and leading to its subsequent proteasomal degradation. |
| 相似性 | Belongs to the synaptophysin/synaptobrevin family. Contains 1 MARVEL domain. |
| 功能 | Possibly involved in structural functions as organizing other membrane components or in targeting the vesicles to the plasma membrane. Involved in the regulation of short-term and long-term synaptic plasticity. |
| 保存条件 | Shipped at 4℃. Store at -20℃ for one year. Avoid repeated freeze/thaw cycles. |
| 注意事项 | This product as supplied is intended for research use only, not for use in human, therapeutic or diagnostic applications. |
| 背景资料 | This gene encodes an integral membrane protein of small synaptic vesicles in brain and endocrine cells. The protein also binds cholesterol and is thought to direct targeting of vesicle-associated membrane protein 2 (synaptobrevin) to intracellular compartments. Mutations in this gene are associated with X-linked mental retardation (XLMR). [provided by RefSeq, Aug 2011] |
| 应用 | 推荐稀释比例 |
| {WB} | {1:2000-10000} |
| {IHC-P} | {1:200-800} |
| {IHC-F} | {1:200-800} |
| {IF} | {1:200-800} |
| {Flow-Cyt} | {1ug/Test} |

25 ug total protein per lane of various lysates (see on figure) probed with Synaptophysin monoclonal antibody, unconjugated (bsm-52379R) at 1:2000 dilution and 4°C overnight incubation. Followed by conjugated secondary antibody incubation at r.t. for 60 min.

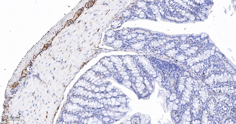
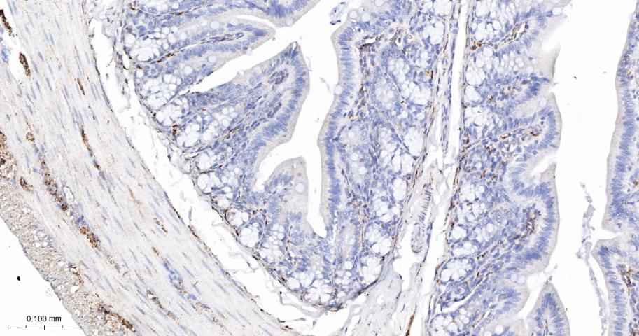
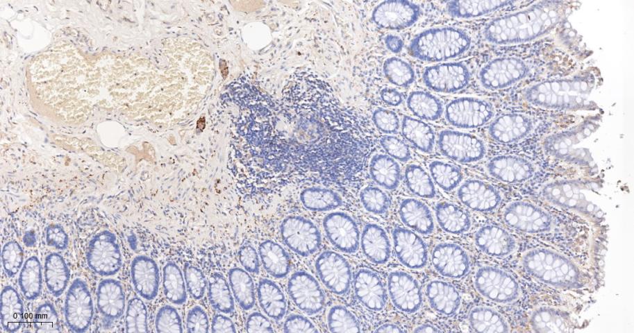
Paraformaldehyde-fixed, paraffin embedded Mouse Colon; Antigen retrieval by boiling in sodium citrate buffer (pH6.0) for 15 min; The section was incubated with Synaptophysin Monoclonal Antibody, Unconjugated (bsm-52379R) at 1:200 overnight at 4°C, followed by conjugation to the bs-0295G-HRP and DAB (C-0010) staining.

Paraformaldehyde-fixed, paraffin embedded Rat Colon; Antigen retrieval by boiling in sodium citrate buffer (pH6.0) for 15 min; The section was incubated with Synaptophysin Monoclonal Antibody, Unconjugated (bsm-52379R) at 1:200 overnight at 4°C, followed by conjugation to the bs-0295G-HRP and DAB (C-0010) staining.

Paraformaldehyde-fixed, paraffin embedded Human Colon; Antigen retrieval by boiling in sodium citrate buffer (pH6.0) for 15 min; The section was incubated with Synaptophysin Monoclonal Antibody, Unconjugated (bsm-52379R) at 1:200 overnight at 4°C, followed by conjugation to the bs-0295G-HRP and DAB (C-0010) staining.

Paraformaldehyde-fixed, paraffin embedded Mouse Cerebrum; Antigen retrieval by boiling in sodium citrate buffer (pH6.0) for 15 min; The section was incubated with Synaptophysin Monoclonal Antibody, Unconjugated (bsm-52379R) at 1:200 overnight at 4°C, followed by conjugation to the bs-0295G-HRP and DAB (C-0010) staining.

Paraformaldehyde-fixed, paraffin embedded Rat Cerebrum; Antigen retrieval by boiling in sodium citrate buffer (pH6.0) for 15 min; The section was incubated with Synaptophysin Monoclonal Antibody, Unconjugated (bsm-52379R) at 1:200 overnight at 4°C, followed by conjugation to the bs-0295G-HRP and DAB (C-0010) staining.

Paraformaldehyde-fixed, paraffin embedded Human Cerebrum; Antigen retrieval by boiling in sodium citrate buffer (pH6.0) for 15 min; The section was incubated with Synaptophysin Monoclonal Antibody, Unconjugated (bsm-52379R) at 1:200 overnight at 4°C, followed by conjugation to the bs-0295G-HRP and DAB (C-0010) staining.

Paraformaldehyde-fixed, paraffin embedded Mouse Cerebellum; Antigen retrieval by boiling in sodium citrate buffer (pH6.0) for 15 min; The section was incubated with Synaptophysin Monoclonal Antibody, Unconjugated (bsm-52379R) at 1:200 overnight at 4°C, followed by conjugation to the bs-0295G-HRP and DAB (C-0010) staining.

Paraformaldehyde-fixed, paraffin embedded Rat Cerebellum; Antigen retrieval by boiling in sodium citrate buffer (pH6.0) for 15 min; The section was incubated with Synaptophysin Monoclonal Antibody, Unconjugated (bsm-52379R) at 1:200 overnight at 4°C, followed by conjugation to the bs-0295G-HRP and DAB (C-0010) staining.

Paraformaldehyde-fixed, paraffin embedded Human Cerebellum; Antigen retrieval by boiling in sodium citrate buffer (pH6.0) for 15 min; The section was incubated with Synaptophysin Monoclonal Antibody, Unconjugated (bsm-52379R) at 1:200 overnight at 4°C, followed by conjugation to the bs-0295G-HRP and DAB (C-0010) staining.

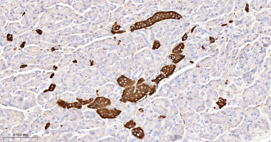
Paraformaldehyde-fixed, paraffin embedded Human Pancreas; Antigen retrieval by boiling in sodium citrate buffer (pH6.0) for 15 min; The section was incubated with Synaptophysin Monoclonal Antibody, Unconjugated (bsm-52379R) at 1:200 overnight at 4°C, followed by conjugation to the bs-0295G-HRP and DAB (C-0010) staining.
风险提示:丁香通仅作为第三方平台,为商家信息发布提供平台空间。用户咨询产品时请注意保护个人信息及财产安全,合理判断,谨慎选购商品,商家和用户对交易行为负责。对于医疗器械类产品,请先查证核实企业经营资质和医疗器械产品注册证情况。
技术资料暂无技术资料 索取技术资料
Synaptophysin Recombinant Rabbit mAb(bsm-52379R)-50ul/100ul
¥1400 - 2500





