相关产品推荐更多 >
万千商家帮你免费找货
0 人在求购买到急需产品
- 详细信息
- 技术资料
- 应用范围:
产品信息以Bioss网站为准
- 规格:
50ul/100ul
| 规格: | 50ul | 产品价格: | ¥1400.0 |
|---|---|---|---|
| 规格: | 100ul | 产品价格: | ¥2500.0 |
| 产品编号 | bsm-54180R |
| 英文名称 | SDHB Recombinant Rabbit mAb |
| 中文名称 | 铬细胞瘤患者抑癌基因SDHB重组兔单抗 |
| 英文别名 | succinate dehydrogenase complex, subunit B; mitochondrial; DHSB_HUMAN; Ip; Iron sulfur subunit; Iron sulfur subunit of complex II; Iron-sulfur subunit of complex II; PGL 4; PGL4; SDH 1; SDH; SDH1; SDH2; SdhB; SDHIP; Succinate dehydrogenase [ubiquinone] iron sulfur protein mitochondrial; Succinate dehydrogenase [ubiquinone] iron-sulfur subunit; Succinate Dehydrogenase 1 Iron Sulfur Subunit; Succinate dehydrogenase complex subunit B iron sulfur; Succinate Dehydrogenase Complex Subunit B Iron Sulfur Protein; Succinate dehydrogenase iron sulfur protein. |
| 产品应用 | WB=1:500-2000, IHC-P=1:100-500, IHC-F=1:100-500, IF=1:100-500, Flow-Cyt=1:50-100, ICC/IF=1:50-200 Not yet tested in other applications. |
| 交叉反应 | Human, Mouse, Rat |
| 抗体来源 | Rabbit |
| 免疫原 | A synthesized peptide derived from human SDHB |
| 亚型 | IgG |
| 性状 | Liquid |
| 克隆类型 | Recombinant |
| 理论分子量 | 32 kDa |
| 浓度 | 1mg/ml |
| 储存液 | 0.01M TBS (pH7.4) with 1% BSA, 0.02% Proclin300 and 50% Glycerol. |
| 研究领域 | Cancer > Cancer Metabolism > Metabolic signaling pathway > Metabolism of carbohydrates Cell Biology > Other Antibodies > Oxidative Stress Metabolism > Pathways and Processes > Mitochondrial Metabolism > Mitochondrial markers Metabolism > Pathways and Processes > Mitochondrial Metabolism > Oxidative phosphorylation > Complex II Metabolism > Pathways and Processes > Redox metabolism > Oxidative stress Signal Transduction > Metabolism > Mitochondrial |
| 亚基 | Component of complex II composed of four subunits: the flavoprotein (FP) SDHA, iron-sulfur protein (IP) SDHB, and a cytochrome b560 composed of SDHC and SDHD. |
| 亚细胞定位 | Mitochondrion inner membrane; Peripheral membrane protein; Matrix side. |
| 相似性 | Belongs to the succinate dehydrogenase/fumarate reductase iron-sulfur protein family. Contains 1 2Fe-2S ferredoxin-type domain. Contains 1 4Fe-4S ferredoxin-type domain. |
| 功能 | Iron-sulfur protein (IP) subunit of succinate dehydrogenase (SDH) that is involved in complex II of the mitochondrial electron transport chain and is responsible for transferring electrons from succinate to ubiquinone (coenzyme Q). |
| 保存条件 | Shipped at 4℃. Store at -20℃ for one year. Avoid repeated freeze/thaw cycles. |
| 注意事项 | This product as supplied is intended for research use only, not for use in human, therapeutic or diagnostic applications. |
| 背景资料 | ron-sulfur protein (IP) subunit of succinate dehydrogenase (SDH) that is involved in complex II of the mitochondrial electron transport chain and is responsible for transferring electrons from succinate to ubiquinone (coenzyme Q). |
| 应用 | 推荐稀释比例 |
| {WB} | {1:500-2000} |
| {IHC-P} | {1:100-500} |
| {IHC-F} | {1:100-500} |
| {IF} | {1:100-500} |
| {Flow-Cyt} | {1:50-100} |
| {ICC/IF} | {1:50-200} |

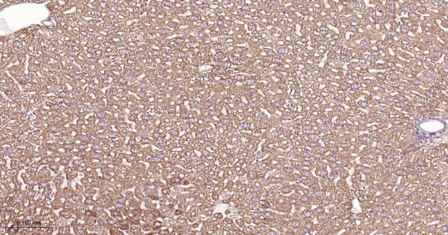
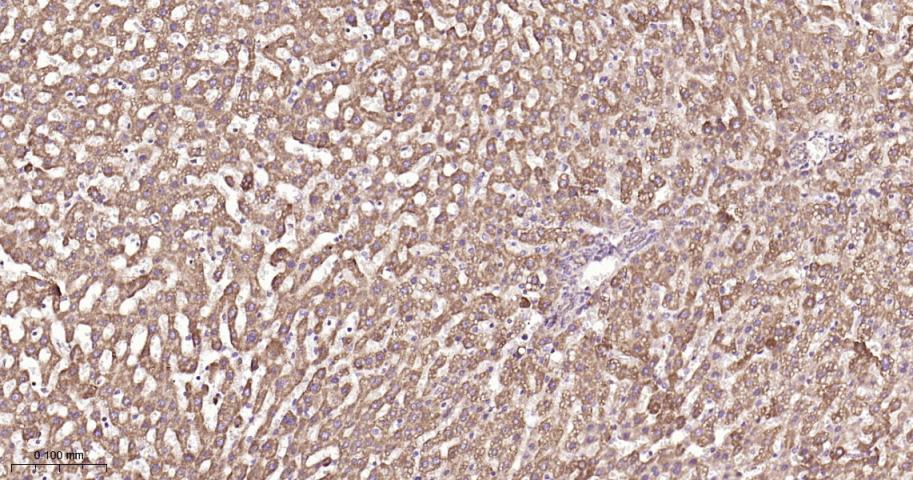
Paraformaldehyde-fixed, paraffin embedded Mouse Liver; Antigen retrieval by boiling in sodium citrate buffer (pH6.0) for 15 min; Antibody incubation with SDHB Monoclonal Antibody, Unconjugated(bsm-54180R) at 1:200 overnight at 4°C, followed by conjugation to the bs-0295G-HRP and DAB (C-0010) staining.

Paraformaldehyde-fixed, paraffin embedded Rat Liver; Antigen retrieval by boiling in sodium citrate buffer (pH6.0) for 15 min; Antibody incubation with SDHB Monoclonal Antibody, Unconjugated(bsm-54180R) at 1:200 overnight at 4°C, followed by conjugation to the bs-0295G-HRP and DAB (C-0010) staining.

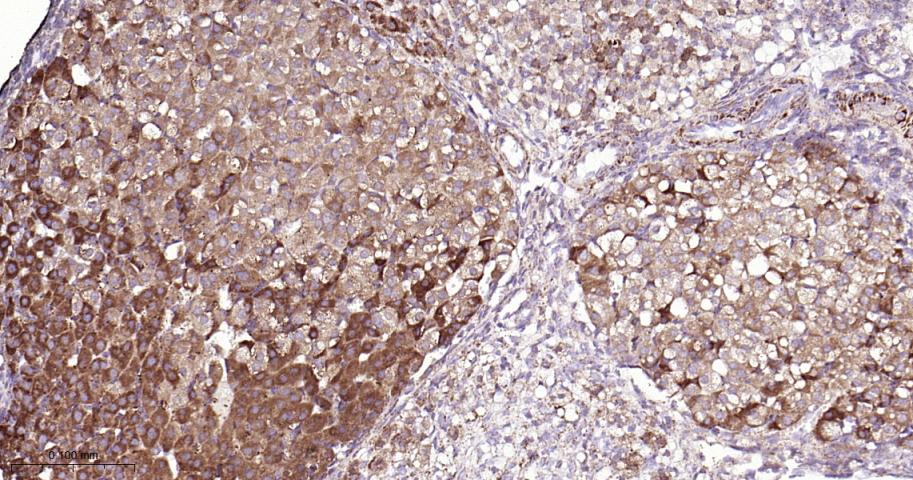
Paraformaldehyde-fixed, paraffin embedded Human Liver; Antigen retrieval by boiling in sodium citrate buffer (pH6.0) for 15 min; Antibody incubation with SDHB Monoclonal Antibody, Unconjugated(bsm-54180R) at 1:200 overnight at 4°C, followed by conjugation to the bs-0295G-HRP and DAB (C-0010) staining.

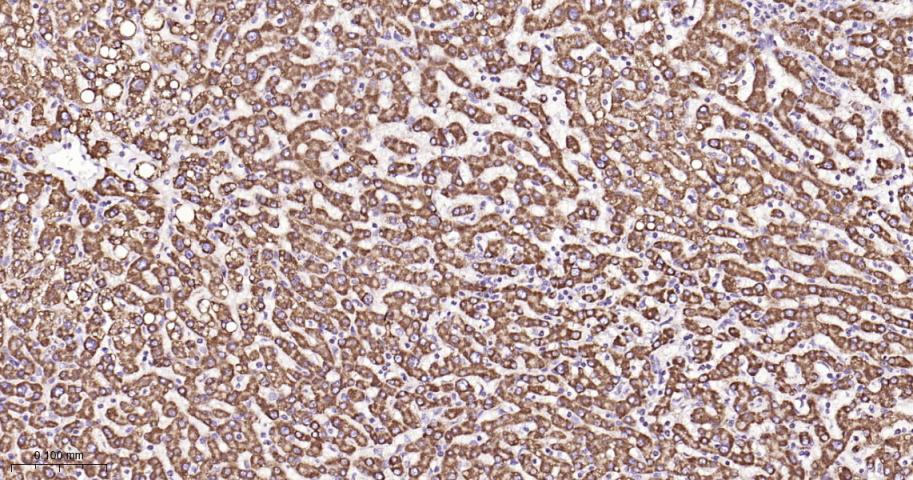
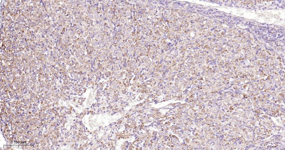
Paraformaldehyde-fixed, paraffin embedded Human Liver Cancer; Antigen retrieval by boiling in sodium citrate buffer (pH6.0) for 15 min; Antibody incubation with SDHB Monoclonal Antibody, Unconjugated(bsm-54180R) at 1:200 overnight at 4°C, followed by conjugation to the bs-0295G-HRP and DAB (C-0010) staining.

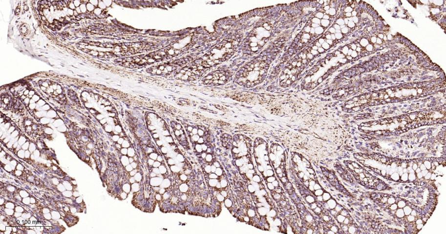
Paraformaldehyde-fixed, paraffin embedded Mouse Colon; Antigen retrieval by boiling in sodium citrate buffer (pH6.0) for 15 min; Antibody incubation with SDHB Monoclonal Antibody, Unconjugated(bsm-54180R) at 1:200 overnight at 4°C, followed by conjugation to the bs-0295G-HRP and DAB (C-0010) staining.

Paraformaldehyde-fixed, paraffin embedded Rat Colon; Antigen retrieval by boiling in sodium citrate buffer (pH6.0) for 15 min; Antibody incubation with SDHB Monoclonal Antibody, Unconjugated(bsm-54180R) at 1:200 overnight at 4°C, followed by conjugation to the bs-0295G-HRP and DAB (C-0010) staining.

Paraformaldehyde-fixed, paraffin embedded Human Colon; Antigen retrieval by boiling in sodium citrate buffer (pH6.0) for 15 min; Antibody incubation with SDHB Monoclonal Antibody, Unconjugated(bsm-54180R) at 1:200 overnight at 4°C, followed by conjugation to the bs-0295G-HRP and DAB (C-0010) staining.

Paraformaldehyde-fixed, paraffin embedded Human Colon Cancer; Antigen retrieval by boiling in sodium citrate buffer (pH6.0) for 15 min; Antibody incubation with SDHB Monoclonal Antibody, Unconjugated(bsm-54180R) at 1:200 overnight at 4°C, followed by conjugation to the bs-0295G-HRP and DAB (C-0010) staining.

Paraformaldehyde-fixed, paraffin embedded Mouse Ovary; Antigen retrieval by boiling in sodium citrate buffer (pH6.0) for 15 min; Antibody incubation with SDHB Monoclonal Antibody, Unconjugated(bsm-54180R) at 1:200 overnight at 4°C, followed by conjugation to the bs-0295G-HRP and DAB (C-0010) staining.

Paraformaldehyde-fixed, paraffin embedded Rat Ovary; Antigen retrieval by boiling in sodium citrate buffer (pH6.0) for 15 min; Antibody incubation with SDHB Monoclonal Antibody, Unconjugated(bsm-54180R) at 1:200 overnight at 4°C, followed by conjugation to the bs-0295G-HRP and DAB (C-0010) staining.

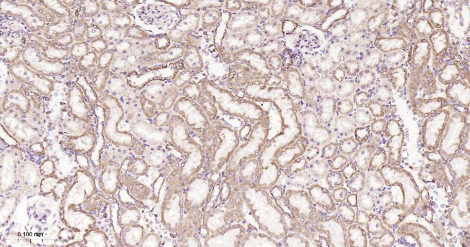
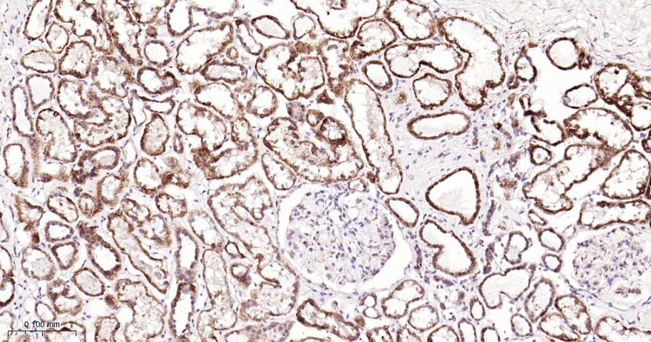
Paraformaldehyde-fixed, paraffin embedded Mouse Kidney; Antigen retrieval by boiling in sodium citrate buffer (pH6.0) for 15 min; Antibody incubation with SDHB Monoclonal Antibody, Unconjugated(bsm-54180R) at 1:200 overnight at 4°C, followed by conjugation to the bs-0295G-HRP and DAB (C-0010) staining.

Paraformaldehyde-fixed, paraffin embedded Rat Kidney; Antigen retrieval by boiling in sodium citrate buffer (pH6.0) for 15 min; Antibody incubation with SDHB Monoclonal Antibody, Unconjugated(bsm-54180R) at 1:200 overnight at 4°C, followed by conjugation to the bs-0295G-HRP and DAB (C-0010) staining.

Paraformaldehyde-fixed, paraffin embedded Human Kidney; Antigen retrieval by boiling in sodium citrate buffer (pH6.0) for 15 min; Antibody incubation with SDHB Monoclonal Antibody, Unconjugated(bsm-54180R) at 1:200 overnight at 4°C, followed by conjugation to the bs-0295G-HRP and DAB (C-0010) staining.

Paraformaldehyde-fixed, paraffin embedded Mouse Heart; Antigen retrieval by boiling in sodium citrate buffer (pH6.0) for 15 min; Antibody incubation with SDHB Monoclonal Antibody, Unconjugated(bsm-54180R) at 1:200 overnight at 4°C, followed by conjugation to the bs-0295G-HRP and DAB (C-0010) staining.

Paraformaldehyde-fixed, paraffin embedded Rat Heart; Antigen retrieval by boiling in sodium citrate buffer (pH6.0) for 15 min; Antibody incubation with SDHB Monoclonal Antibody, Unconjugated(bsm-54180R) at 1:200 overnight at 4°C, followed by conjugation to the bs-0295G-HRP and DAB (C-0010) staining.

Paraformaldehyde-fixed, paraffin embedded Human Heart; Antigen retrieval by boiling in sodium citrate buffer (pH6.0) for 15 min; Antibody incubation with SDHB Monoclonal Antibody, Unconjugated(bsm-54180R) at 1:200 overnight at 4°C, followed by conjugation to the bs-0295G-HRP and DAB (C-0010) staining.

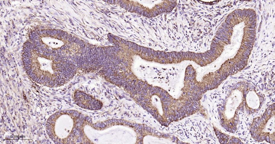
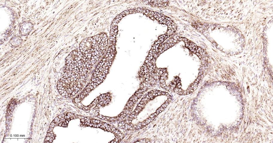
Paraformaldehyde-fixed, paraffin embedded Human Prostate Cancer; Antigen retrieval by boiling in sodium citrate buffer (pH6.0) for 15 min; Antibody incubation with SDHB Monoclonal Antibody, Unconjugated(bsm-54180R) at 1:200 overnight at 4°C, followed by conjugation to the bs-0295G-HRP and DAB (C-0010) staining.

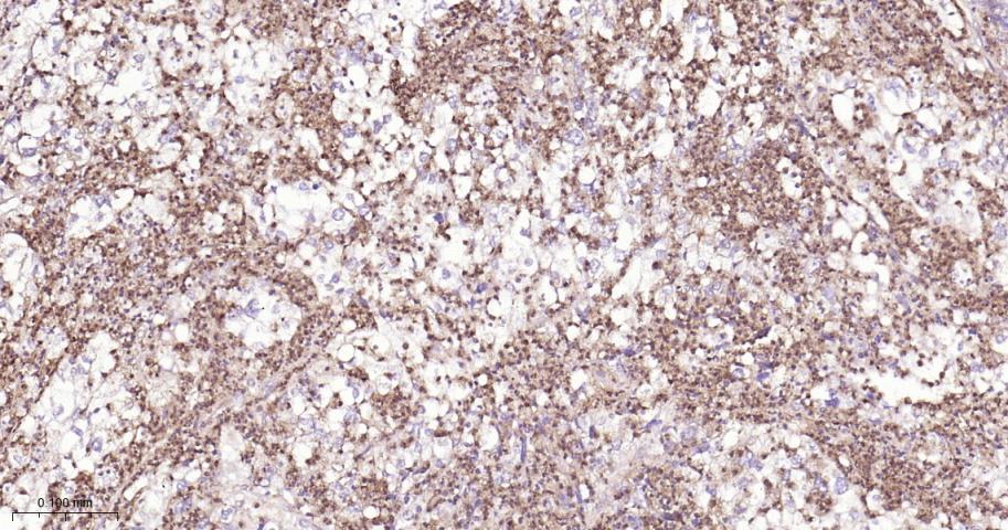
Paraformaldehyde-fixed, paraffin embedded Human Breast Cancer; Antigen retrieval by boiling in sodium citrate buffer (pH6.0) for 15 min; Antibody incubation with SDHB Monoclonal Antibody, Unconjugated(bsm-54180R) at 1:200 overnight at 4°C, followed by conjugation to the bs-0295G-HRP and DAB (C-0010) staining.

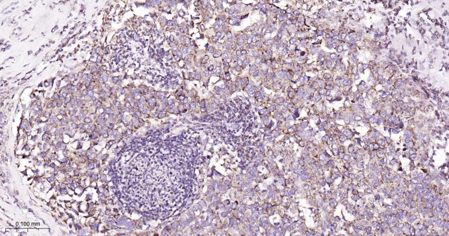
Paraformaldehyde-fixed, paraffin embedded Human Endometrial Cancer; Antigen retrieval by boiling in sodium citrate buffer (pH6.0) for 15 min; Antibody incubation with SDHB Monoclonal Antibody, Unconjugated(bsm-54180R) at 1:200 overnight at 4°C, followed by conjugation to the bs-0295G-HRP and DAB (C-0010) staining.

25 ug total protein per lane of various lysates (see on figure) probed with SDHB monoclonal antibody, unconjugated (bsm-54180R) at 1:1000 dilution and 4°C overnight incubation. Followed by conjugated secondary antibody incubation at r.t. for 60 min.

4% Paraformaldehyde-fixed HepG2 (H) cell; Triton X-100 at r.t. for 20 min; Antibody incubation with (SDHB) monoclonal Antibody, unconjugated (bsm-54180R) 1:100, 90 min at 37°C; followed by conjugated Goat Anti-Rabbit IgG antibody (green, bs-60295G-BF488) at 37°C for 90 min, DAPI (blue, C02-04002) was used to stain the cell nuclei. PBS instead of the primary antibody was used as the blank control.

The HepG2 (H) cells were fixed with 4% PFA (10 min at r.t.) and then permeabilized with 90% ice-cold methanol for 20 min at -20℃,the cells then were incubated in 5%BSA to block non-specific protein-protein interactions (30 min at r.t.).Primary Antibody (green):Rabbit Anti-SDHB antibody (bsm-54180R,1:100); Secondary Antibody (white blue): Goat anti-Rabbit IgG-BF488 (bs-60295G-BF488): 1 μg/test. Isotype Control (orange): Rabbit IgG (bs-0295P). Blank control (black): PBS. Acquisition of 20,000 events was performed.
风险提示:丁香通仅作为第三方平台,为商家信息发布提供平台空间。用户咨询产品时请注意保护个人信息及财产安全,合理判断,谨慎选购商品,商家和用户对交易行为负责。对于医疗器械类产品,请先查证核实企业经营资质和医疗器械产品注册证情况。
技术资料暂无技术资料 索取技术资料
SDHB Recombinant Rabbit mAb(bsm-54180R)-50ul/100ul
¥1400 - 2500







