相关产品推荐更多 >
万千商家帮你免费找货
0 人在求购买到急需产品
- 详细信息
- 文献和实验
- 技术资料
- 应用范围:
产品信息以Bioss网站为准
- 规格:
50ul/100ul
| 规格: | 50ul | 产品价格: | ¥1400.0 |
|---|---|---|---|
| 规格: | 100ul | 产品价格: | ¥2500.0 |
| 产品编号 | bsm-52543R |
| 英文名称 | TCF7L2 Recombinant Rabbit mAb |
| 中文名称 | 转录因子7类似物2重组兔单抗 |
| 英文别名 | E2 2; HMG box transcription factor 4; hTCF 4; Immunoglobulin transcription factor 2; ITF2; SEF2 1; SEF2 1A; SEF2 1B; SEF2; T cell factor 4; T cell specific HMG box; T cell specific transcription factor 4; TCF 4; TCF4; TCF7L2; TCF7L2 protein; hTCF-4; T-cell factor 4; T-cell-specific transcription factor 4; TCF-4; TF7L2_HUMAN; Transcription factor 7-like 2; Transcription factor 4; Transcription factor 7 like 2; Transcription factor 7 like 2 T cell specific HMG box. |
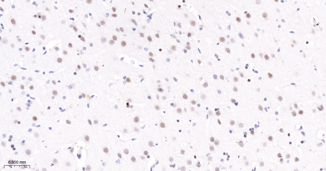
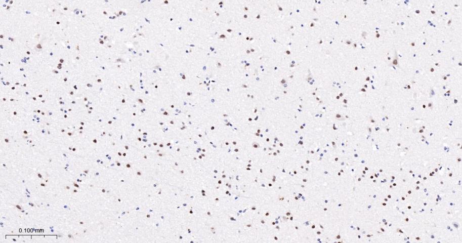
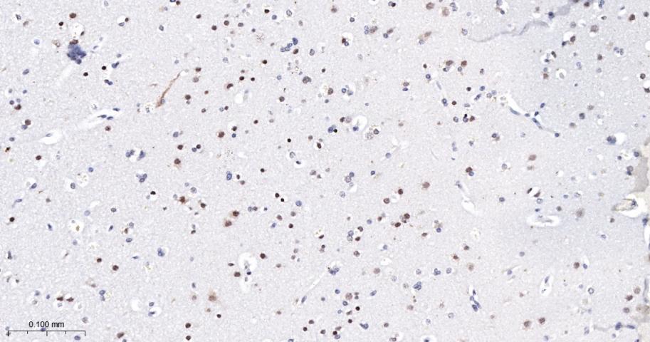
| 产品应用 | WB=1:500-2000, IHC-P=1:50-200, IHC-F=1:50-200, ICC/IF=1:50-200, IF=1:50-200, Flow-Cyt=1:50-100 Not yet tested in other applications. |
| 交叉反应 | Human, Mouse, Rat |
| 抗体来源 | Rabbit |
| 免疫原 | KLH conjugated synthetic peptide derived from human TCF7L2 |
| 亚型 | IgG |
| 性状 | Liquid |
| 纯化方法 | affinity purified by Protein A |
| 克隆类型 | Recombinant |
| 理论分子量 | 68 kDa |
| 浓度 | 1mg/ml |
| 储存液 | 0.01M TBS (pH7.4) with 1% BSA, 0.02% Proclin300 and 50% Glycerol. |
| 研究领域 | Epigenetics and Nuclear Signaling > Transcription > Domain Families > HLH / Leucine Zipper > HLH Epigenetics and Nuclear Signaling > Transcription > Transcription Factors Stem Cells > Signaling Pathways > Wnt > Nuclear |
| 亚基 | Interacts with TGFB1I1 (By similarity). Interacts with CTNNB1 (via the armadillo repeat); forms stable transcription complex. Interacts with EP300. Interacts with NLK. Interacts with CCDC85B (probably through the HMG box); prevents interaction with CTNNB1. Interacts with TNIK. Interacts with MAD2L2; prevents TCF7L2/TCF4 binding to promZIPK/DAPK3oters, negatively modulating its transcriptional activity. Interacts with ZIPK/DAPK3. Interacts with XIAP/BIRC4 and TLE3. Interacts with DDIT3/CHOP. |
| 亚细胞定位 | Nucleus, PML body. Note=Diffuse pattern. Colocalizes with SUMO1 and PIAS4 in a subset of PML (promyelocytic leukemia) nuclear bodies. |
| 组织特异性 | Detected in epithelium from small intestine, with the highest expression at the top of the crypts and a gradient of expression from crypt to villus. Detected in colon epithelium and colon cancer, and in epithelium from mammary gland and carcinomas derived therefrom. |
| 翻译后修饰 | In vitro, phosphorylated by TNIK. Phosphorylated at Thr-201 and/or Thr-212 by NLK. Phosphorylation by NLK at these sites inhibits DNA-binding by TCF7L2/TCF4, thereby preventing transcriptional activation of target genes of the canonical Wnt/beta-catenin signaling pathway. Polysumoylated. Sumoylation is enhanced by PIAS family members and desumoylation is enhanced by SENP2. Sumoylation/desumoylation regulates TCF7L2/TCF4 transcription activity in the Wnt/beta-catenin signaling pathway without altering interaction with CTNNB1 nor binding to DNA. |
| 相似性 | Belongs to the TCF/LEF family. Contains 1 HMG box DNA-binding domain. |
| 功能 | Participates in the Wnt signaling pathway and modulates MYC expression by binding to its promoter in a sequence-specific manner. Acts as repressor in the absence of CTNNB1, and as activator in its presence. Activates transcription from promoters with several copies of the Tcf motif 5'-CCTTTGATC-3' in the presence of CTNNB1. TLE1, TLE2, TLE3 and TLE4 repress transactivation mediated by TCF7L2/TCF4 and CTNNB1. Expression of dominant-negative mutants results in cell-cycle arrest in G1. Necessary for the maintenance of the epithelial stem-cell compartment of the small intestine. |
| 保存条件 | Shipped at 4℃. Store at -20℃ for one year. Avoid repeated freeze/thaw cycles. |
| 注意事项 | This product as supplied is intended for research use only, not for use in human, therapeutic or diagnostic applications. |
| 背景资料 | TCF-4, transcription factor 4, is a basic helix-turn-helix transcription factor. This protein recognizes an Ephrussi-box ('E-box') binding site ('CANNTG') - a motif first identified in immunoglobulin enhancers. The gene for TCF-4 is expressed predominantly in pre-B-cells, although it is found in other tissues as well. Multiple alternatively spliced transcript variants that encode different proteins have been described. TCF4, also known as TCF7L2, is expressed widely during development. Gene targeting study indicates that it is required to maintain the crypt stem cells of the small intestine. TCF4 has many different splicing isoforms and they are expressed differentially in tissues and in cancers of different stages. Studies also indicate that variant of the TCF4 gene confers an increased risk of type 2 diabetes. |
| 应用 | 推荐稀释比例 |
| {WB} | {1:500-2000} |
| {IHC-P} | {1:50-200} |
| {IHC-F} | {1:50-200} |
| {ICC/IF} | {1:50-200} |
| {IF} | {1:50-200} |
| {Flow-Cyt} | {1:50-100} |

Primary Antibody (green line): Mouse Anti-TCF7L2 antibody (bsm-52543R)
Dilution:1:50;
Secondary Antibody(white blue line): Goat anti-Mouse IgG-AF488
Dilution: 0.5ug/Test.
Isotype control(orange line): Normal Rabbit IgG
Protocol
The cells were fixed with 4% PFA (10min at room temperature)and then permeabilized with 90% ice-cold methanol for 20 min at -20℃, The cells were then incubated in 5%BSA to block non-specific protein-protein interactions for 30 min at room temperature .Cells stained with Primary Antibody for 30 min at room temperature. The secondary antibody used for 40 min at room temperature. Acquisition of 20,000 events was performed.







风险提示:丁香通仅作为第三方平台,为商家信息发布提供平台空间。用户咨询产品时请注意保护个人信息及财产安全,合理判断,谨慎选购商品,商家和用户对交易行为负责。对于医疗器械类产品,请先查证核实企业经营资质和医疗器械产品注册证情况。
文献和实验[IF={{ 4.2 }}] {Lina Liu. et al. Acid sensor ASIC1a promotes malignant cell proliferation through the TCF7/c-Myc pathway in liver cancer. LAB INVEST. 2025 Jul;:104212} {IHC,IF} {Human}
[IF={{ 10.75 }}] {Tao Zhang. et al. TCF7L2 promotes anoikis resistance and metastasis of gastric cancer by transcriptionally activating PLAUR. INT J BIOL SCI. 2022; 18(11): 4560–4577} {IF} {Human}
技术资料暂无技术资料 索取技术资料









