Sample:
Lane 1: Cerebrum (Mouse) Lysate at 40 ug
Lane 2: Cerebellum (Mouse) Lysate at 40 ug
Lane 3: Cerebrum (Rat) Lysate at 40 ug
Lane 4: Cerebellum (Rat) Lysate at 40 ug
Primary: Anti-SIRT2 (bs-24319R) at 1/1000 dilution
Secondary: IRDye800CW Goat Anti-Rabbit IgG at 1/20000 dilution
Predicted band size: 43/37 kD
Observed band size: 43 kD
相关产品推荐更多 >

phospho-STMN1 (Ser16) Rabbit pAb, AP conjugated(bs-3431R-AP)-100ul
¥2980
CD163L1 Rabbit pAb, AP conjugated(bs-21936R-AP)-100ul
¥2980
EGF Rabbit pAb, BF680 conjugated(bs-2008R-BF680)-100ul
¥2980
Bid Rabbit pAb, APC conjugated(bs-1153R-APC)-100ul
¥2980
CYP26A1 Recombinant Rabbit mAb(bsm-54341R)-50ul/100ul
¥1400
万千商家帮你免费找货
0 人在求购买到急需产品
- 详细信息
- 技术资料
- 应用范围:
产品信息以Bioss网站为准
- 规格:
50ul/100ul/200ul
| 规格: | 50ul | 产品价格: | ¥1180.0 |
|---|---|---|---|
| 规格: | 100ul | 产品价格: | ¥1980.0 |
| 规格: | 200ul | 产品价格: | ¥2800.0 |
| 产品编号 | bs-24319R |
| 英文名称 | SIRT2 Rabbit pAb |
| 中文名称 | 沉默调节相关蛋白2抗体 |
| 英文别名 | FLJ35621; FLJ37491; NAD dependent deacetylase sirtuin 2; NAD-dependent deacetylase sirtuin-2; Regulatory protein SIR2 homolog 2; Silencing information regulator 2 like; Silent information regulator 2; Silent mating type information regulation 2; Silent mating type information regulation 2 homolog; SIR 2; SIR2; SIR2 like; SIR2 like protein 2; Sir2 related protein type 2; SIR2-like protein 2; SIR2L; SIR2L2; SIRT 2; SIRT2; SIRT2_HUMAN; Sirtuin(silent mating type information regulation 2 homolog) 2(S.cerevisiae); Sirtuin 2; Sirtuin type 2; Sirtuin2. |
| 产品应用 | WB=1:500-2000, IHC-P=1:400-800, IHC-F=1:400-800, IF=1:100-500 Not yet tested in other applications. |
| 交叉反应 | Mouse, Rat (Human, Dog, Pig, Cow, Horse, Rabbit, Sheep) |
| 抗体来源 | Rabbit |
| 免疫原 | KLH conjugated synthetic peptide derived from human SIRT2 |
| 亚型 | IgG |
| 性状 | Liquid |
| 纯化方法 | affinity purified by Protein A |
| 克隆类型 | Polyclonal |
| 理论分子量 | 26 kDa |
| 浓度 | 1mg/ml |
| 储存液 | 0.01M TBS (pH7.4) with 1% BSA, 0.02% Proclin300 and 50% Glycerol. |
| 研究领域 | Epigenetics and Nuclear Signaling > Chromatin Modifying Enzymes > Acetylation Epigenetics and Nuclear Signaling > Chromatin Modifying Enzymes > Acetylation > HDACs > Class I Signal Transduction > Cytoskeleton / ECM > Cytoskeleton > Microtubules > Tubulin |
| 亚细胞定位 | Cytoplasm, cytoskeleton. Colocalizes with microtubules. |
| 组织特异性 | Widely expressed. Highly expressed in heart, brain and skeletal muscle, while it is weakly expressed in placenta and lung. Down-regulated in many gliomas suggesting that it may act as a tumor suppressor gene in human gliomas possibly through the regulation of microtubule network. |
| 翻译后修饰 | Phosphorylated at the G2/M transition of the cell cycle. |
| 相似性 | Belongs to the sirtuin family. Contains 1 deacetylase sirtuin-type domain. |
| 功能 | NAD-dependent protein deacetylase, which deacetylates the 'Lys-40' of alpha-tubulin. Involved in the control of mitotic exit in the cell cycle, probably via its role in the regulation of cytoskeleton. |
| 保存条件 | Shipped at 4℃. Store at -20℃ for one year. Avoid repeated freeze/thaw cycles. |
| 注意事项 | This product as supplied is intended for research use only, not for use in human, therapeutic or diagnostic applications. |
| 背景资料 | This gene encodes a member of the sirtuin family of proteins, homologs to the yeast Sir2 protein. Members of the sirtuin family are characterized by a sirtuin core domain and grouped into four classes. The functions of human sirtuins have not yet been determined; however, yeast sirtuin proteins are known to regulate epigenetic gene silencing and suppress recombination of rDNA. Studies suggest that the human sirtuins may function as intracellular regulatory proteins with mono-ADP-ribosyltransferase activity. The protein encoded by this gene is included in class I of the sirtuin family. Several transcript variants are resulted from alternative splicing of this gene. [provided by RefSeq, Jul 2010] |
| 应用 | 推荐稀释比例 |
| {WB} | {1:500-2000} |
| {IHC-P} | {1:400-800} |
| {IHC-F} | {1:400-800} |
| {IF} | {1:100-500} |


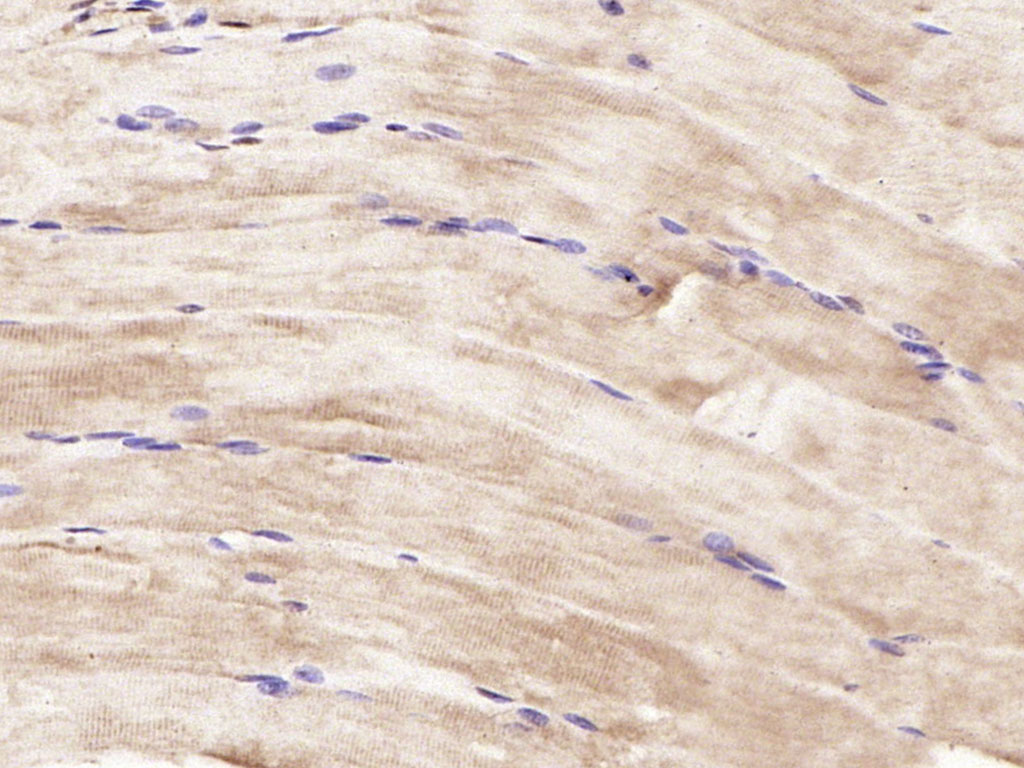
Paraformaldehyde-fixed, paraffin embedded (rat skeletal muscle); Antigen retrieval by boiling in sodium citrate buffer (pH6.0) for 15min; Block endogenous peroxidase by 3% hydrogen peroxide for 20 minutes; Blocking buffer (normal goat serum) at 37°C for 30min; Antibody incubation with (SIRT2) Polyclonal Antibody, Unconjugated (bs-24319R) at 1:2000 overnight at 4°C, followed by operating according to SP Kit(Rabbit) (sp-0023) instructionsand DAB staining.
风险提示:丁香通仅作为第三方平台,为商家信息发布提供平台空间。用户咨询产品时请注意保护个人信息及财产安全,合理判断,谨慎选购商品,商家和用户对交易行为负责。对于医疗器械类产品,请先查证核实企业经营资质和医疗器械产品注册证情况。
技术资料暂无技术资料 索取技术资料
SIRT2 Rabbit pAb(bs-24319R)-50ul/100ul/200ul
¥1180 - 2800





