相关产品推荐更多 >
万千商家帮你免费找货
0 人在求购买到急需产品
- 详细信息
- 文献和实验
- 技术资料
- 应用范围:
产品信息以Bioss网站为准
- 规格:
50ul/100ul/25ul
| 规格: | 50ul | 产品价格: | ¥1400.0 |
|---|---|---|---|
| 规格: | 100ul | 产品价格: | ¥2500.0 |
| 规格: | 25ul | 产品价格: | ¥800.0 |
| 产品编号 | bsm-60507M |
| 英文名称 | VPS18 Recombinant Mouse mAb |
| 产品应用 | WB=1:500-1000, IHC-P=1:100-500, IHC-F=1:100-500, ICC/IF=1:100-500, IF=1:100-500 Not yet tested in other applications. |
| 交叉反应 | Human, Rat (Mouse) |
| 抗体来源 | Mouse |
| 亚型 | Ig2A/Kappa |
| 性状 | Liquid |
| 纯化方法 | affinity purified by Protein G |
| 克隆类型 | Recombinant |
| 浓度 | 1mg/ml |
| 储存液 | 0.01M TBS (pH7.4) with 1% BSA, 0.02% Proclin300 and 50% Glycerol. |
| 研究领域 | Signal Transduction > Protein Trafficking > Vesicle Transport > Adapters |
| 亚基 | Interacts with HOOK1. Part of a large heterooligomeric complex together with VPS11, VPS16 and VPS33A. Interacts with STX7. |
| 亚细胞定位 | Late endosome membrane; Peripheral membrane protein; Cytoplasmic side. Lysosome membrane; Peripheral membrane protein; Cytoplasmic side. Note=Cytoplasmic, peripheral membrane protein associated with late endosomes/lysosomes. |
| 组织特异性 | Ubiquitous. Expression was highest in heart and low in lung. |
| 相似性 | Belongs to the VPS18 family. Contains 1 clathrin repeat. Contains 1 RING-type zinc finger. |
| 保存条件 | Shipped at 4℃. Store at -20℃ for one year. Avoid repeated freeze/thaw cycles. |
| 注意事项 | This product as supplied is intended for research use only, not for use in human, therapeutic or diagnostic applications. |
| 背景资料 | Vesicle mediated protein sorting plays an important role in segregation of intracellular molecules into distinct organelles. Genetic studies in yeast have identified more than 40 vacuolar protein sorting (VPS) genes involved in vesicle transport to vacuoles. This gene encodes the human homolog of yeast class C Vps18 protein. The mammalian class C Vps proteins are predominantly associated with late endosomes/lysosomes, and like their yeast counterparts, may mediate vesicle trafficking steps in the endosome/lysosome pathway. |
| 应用 | 推荐稀释比例 |
| {WB} | {1:500-1000} |
| {IHC-P} | {1:100-500} |
| {IHC-F} | {1:100-500} |
| {ICC/IF} | {1:100-500} |
| {IF} | {1:100-500} |

Fixative: 100% Ice-cold methanol
Permeabilization: 0.1% TritonX-100
Primary ab dilution: 1:50
Primary incubation condition: 4°C overnight
Secondary ab: Goat Anti-Mouse IgG
Nuclear counter stain: DAPI (Blue)
Comment: Color green is the positive signal for bsm-60507M

Primary ab dilution: 1:1000
Primary ab incubation condition: 2 hours at room temperature
Secondary ab: Goat Anti-Mouse IgG H&L (HRP)
Lysate: HeLa, 293, A20, BRL
Protein loading quantity: 20 μg
Exposure time: 60 s
Predicted MW: 100 kDa
Observed MW: 100 kDa

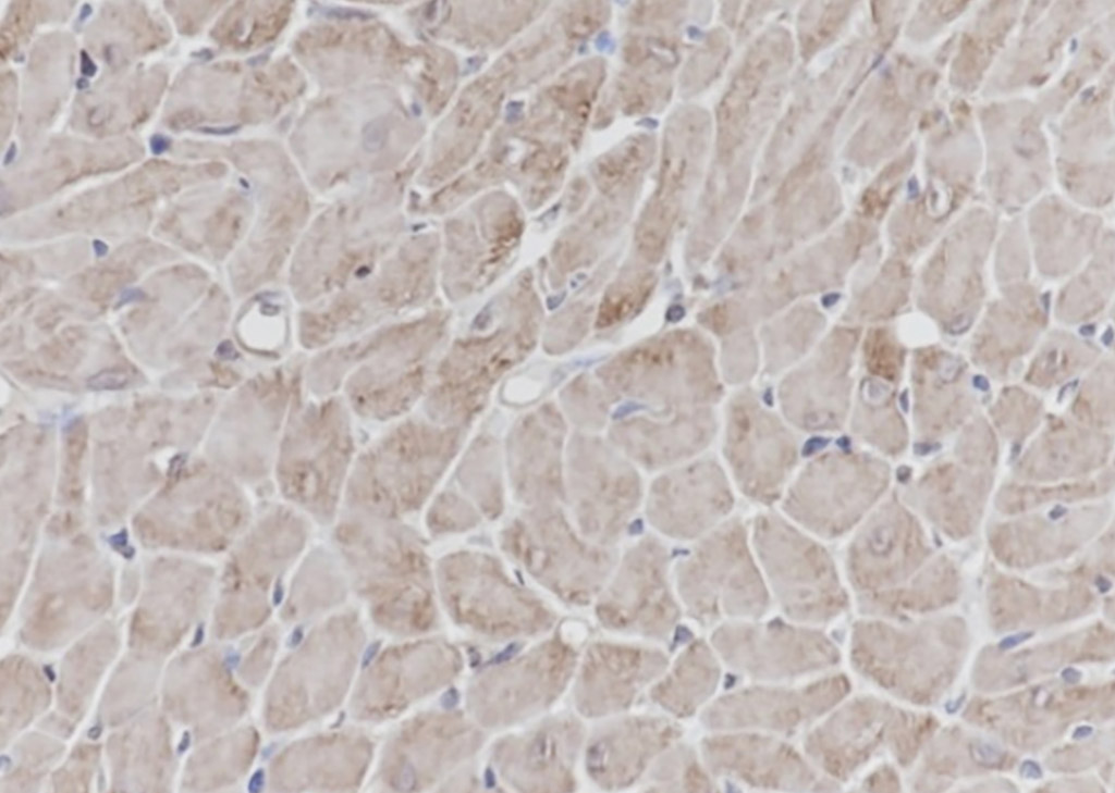
Section type: Formalin fixed & Paraffin -embedded section
Retrieval method: High temperature and high pressure
Retrieval buffer: Tris/EDTA buffer, pH 9.0 Primary ab dilution: 1:100
Primary ab incubation condition: 1 hour at room temperature
Secondary ab: SP Kit(Mouse)(sp-0024)
Counter stain: Hematoxylin (Blue)
Comment: Color brown is the positive signal forbsm-60507M

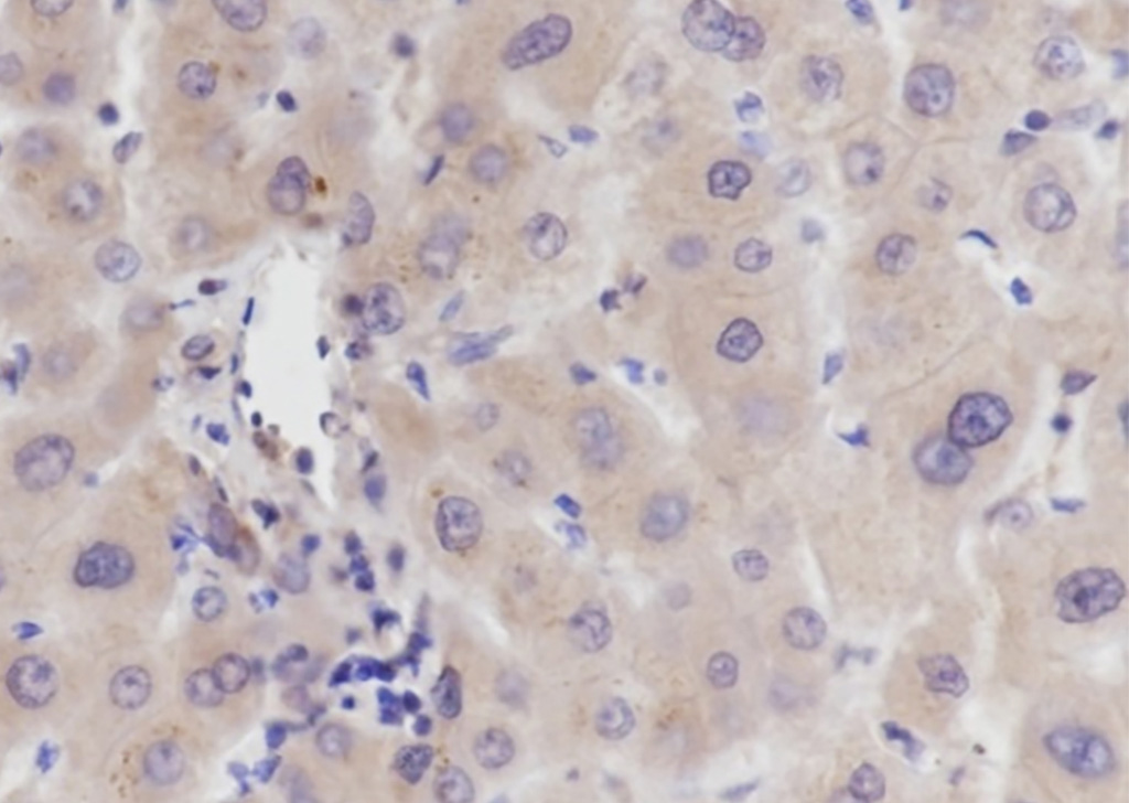
Section type: Formalin fixed & Paraffin -embedded section
Retrieval method: High temperature and high pressure
Retrieval buffer: Tris/EDTA buffer, pH 9.0 Primary ab dilution: 1:100
Primary ab incubation condition: 1 hour at room temperature
Secondary ab: SP Kit(Mouse)(sp-0024)
Counter stain: Hematoxylin (Blue)
Comment: Color brown is the positive signal for bsm-60507M
风险提示:丁香通仅作为第三方平台,为商家信息发布提供平台空间。用户咨询产品时请注意保护个人信息及财产安全,合理判断,谨慎选购商品,商家和用户对交易行为负责。对于医疗器械类产品,请先查证核实企业经营资质和医疗器械产品注册证情况。
文献和实验到 PVDF 膜上,同时减少蛋白不必要降解,这对于最终获得清晰、可信结果也是需要考虑因素。抗体信息:1.ACC1, Recombinant Rabbit monoclonal IgG. HuaAn. HuaAn biotechnology , inc.2.ATGL, Mouse mAb IgG1, Cat#:RT1058. HuaAn biotechnology , inc.3.p-PERK(Thr981), Rabbit Polyclonal IgG primary antibodies, Cat
Production of Monoclonal Antibody by DNA Immunization with Electroporation
associated with problematic antigens: low abundance and protein instability and use of recombinant proteins that lack posttranslational modifications. This chapter describes the use of a DNA-based immunization protocol for the production of mAb
The OP9-DL1 System: Generation of T-Lymphocytes from Embryonic or Hematopoietic Stem Cells In Vitro
) (for Protocols 2-4) Recombinant murine IL-7 (Peprotech 217-17) (for Protocols 2-4) Trypsin solution, 0.25% (Invitrogen 15090046) (for Protocols 1, 2) Dilute stock trypsin to 0.25% with PBS. Equipment Biosafety cabinet Cell strainers (40-µm pore size
技术资料暂无技术资料 索取技术资料








