相关产品推荐更多 >
万千商家帮你免费找货
0 人在求购买到急需产品
- 详细信息
- 文献和实验
- 技术资料
- 应用范围:
产品信息以Bioss网站为准
- 规格:
50ul/100ul/25ul
| 规格: | 50ul | 产品价格: | ¥1400.0 |
|---|---|---|---|
| 规格: | 100ul | 产品价格: | ¥2500.0 |
| 规格: | 25ul | 产品价格: | ¥800.0 |
| 产品编号 | bsm-60386M |
| 英文名称 | MFN1 Recombinant Mouse mAb |
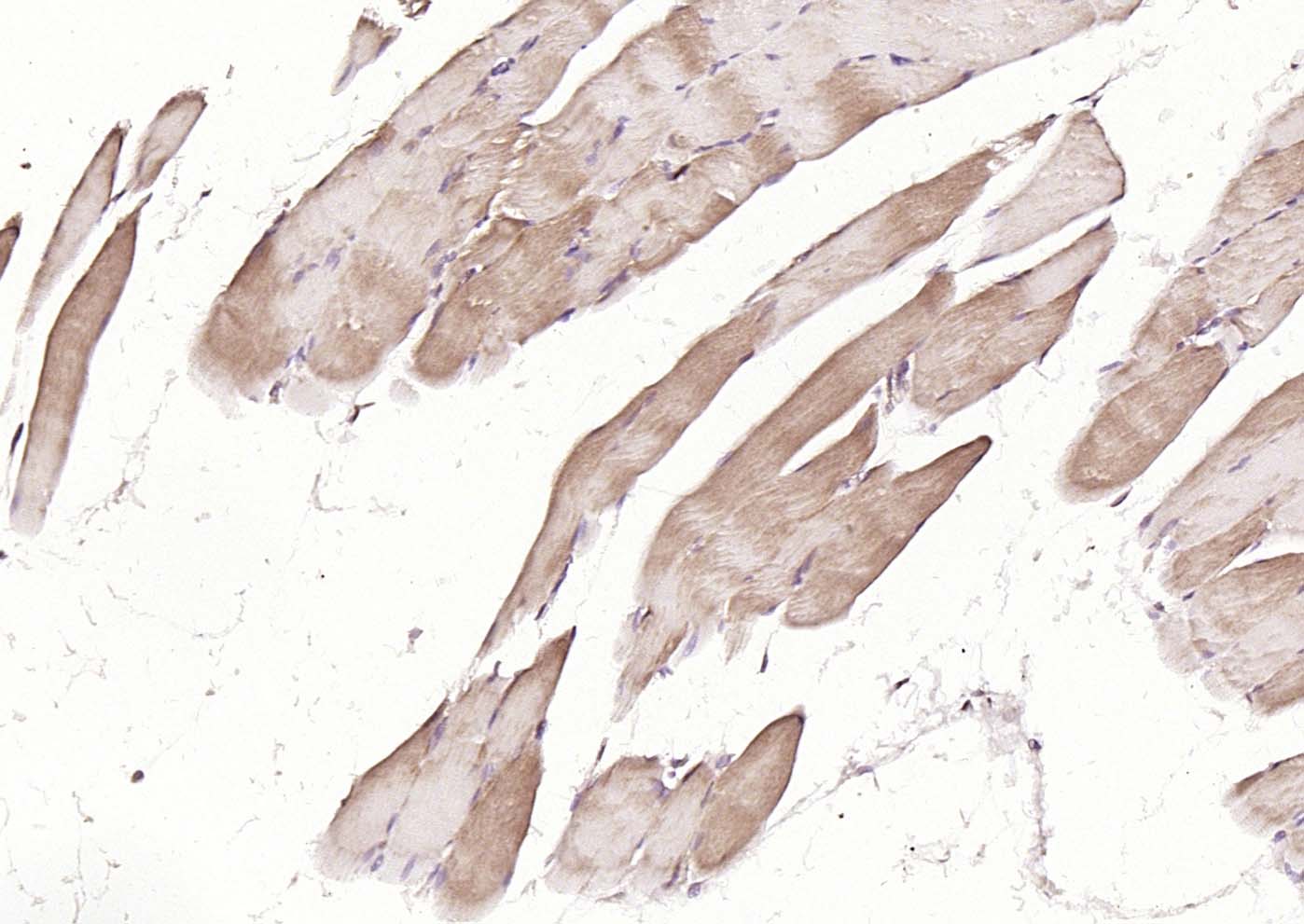
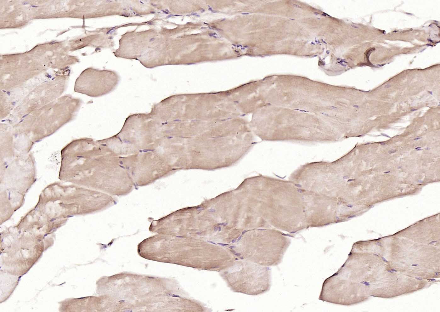
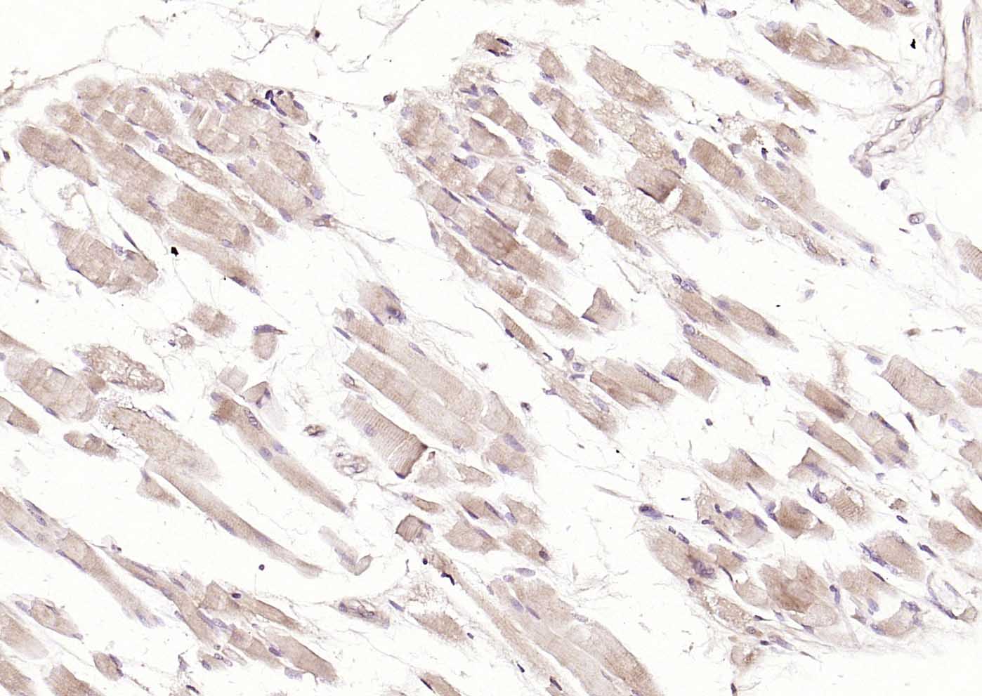
| 产品应用 | WB=1:500-2000, IHC-P=1:100-500, IHC-F=1:100-500, ICC/IF=1:50-200, IF=1:100-500 Not yet tested in other applications. |
| 交叉反应 | Human, Mouse, Rat |
| 抗体来源 | Mouse |
| 亚型 | IgG2a, Kappa |
| 性状 | Liquid |
| 纯化方法 | affinity purified by Protein G |
| 克隆类型 | Recombinant |
| 浓度 | 1mg/ml |
| 储存液 | 0.01M TBS (pH7.4) with 1% BSA, 0.02% Proclin300 and 50% Glycerol. |
| 研究领域 | Metabolism > Pathways and Processes > Mitochondrial Metabolism > Mitochondrial markers Metabolism > Pathways and Processes > Mitochondrial Metabolism > Mitophagy fission and fusion Neuroscience > Neurology process > Neurodegenerative disease > Parkinson's disease Signal Transduction > Second Messenger > Nucleotide Messenger > GTP Tags & Cell Markers > Subcellular Markers > Organelles > Mitochondria |
| 亚基 | Forms homomultimers and heteromultimers with MFN2. Multimerization, which is mediated by the second coiled coil region, may play an essential role in mitochondrion fusion. Participates in a high molecular weight multiprotein complex. Interacts with VAT1. |
| 亚细胞定位 | Cytoplasm and Mitochondrion outer membrane. |
| 组织特异性 | Ubiquitous. Expressed at slightly higher level in kidney and heart. Isoform 2 may be overexpressed in some tumors, such as lung cancers. |
| 翻译后修饰 | Ubiquitinated by MARCH5. |
| 相似性 | Belongs to the mitofusin family. |
| 功能 | Essential transmembrane GTPase, which mediates mitochondrial fusion. Fusion of mitochondria occurs in many cell types and constitutes an important step in mitochondria morphology, which is balanced between fusion and fission. MFN1 acts independently of the cytoskeleton. Overexpression induces the formation of mitochondrial networks. |
| 保存条件 | Shipped at 4℃. Store at -20℃ for one year. Avoid repeated freeze/thaw cycles. |
| 注意事项 | This product as supplied is intended for research use only, not for use in human, therapeutic or diagnostic applications. |
| 背景资料 | Mitofusin 1 (Mfn1) and mitofusin 2 (Mfn2) are homologs for the Drosophila protein fuzzy onion (Fzo). They are mitochondrial membrane proteins and are mediators of mitochondrial fusion. A GTPase domain is required for Mfn protein function but the molecular mechanisms of the GTPase-dependent reaction as well as the functional division of the two Mfn proteins are unknown. They are essential for embryonic development and may play a role in the pathobiology of obesity. Although the Mfn1 and Mfn2 genes are broadly expressed, they show different levels of expression in different tissues. Two Mfn1 transcripts are elevated in heart, while Mfn2 mRNA is abundantly expressed in heart and muscle tissue but present only at low levels in many other tissues. Mfn1 localizes to mitochondria and participates in at least two different high molecular weight protein complexes in a GTP-dependent manner. Purified recombinant Mfn1 exhibited approximately eightfold higher GTPase activity than Mfn2. |
| 应用 | 推荐稀释比例 |
| {WB} | {1:500-2000} |
| {IHC-P} | {1:100-500} |
| {IHC-F} | {1:100-500} |
| {ICC/IF} | {1:50-200} |
| {IF} | {1:100-500} |







风险提示:丁香通仅作为第三方平台,为商家信息发布提供平台空间。用户咨询产品时请注意保护个人信息及财产安全,合理判断,谨慎选购商品,商家和用户对交易行为负责。对于医疗器械类产品,请先查证核实企业经营资质和医疗器械产品注册证情况。
文献和实验[IF={{ 3.4 }}] {Liang Lei. et al. Impact of celastrol on mitochondrial dynamics and proliferation in glioblastoma. BMC CANCER. 2025 Dec;25(1):1-16} {WB} {Human}
到 PVDF 膜上,同时减少蛋白不必要降解,这对于最终获得清晰、可信结果也是需要考虑因素。抗体信息:1.ACC1, Recombinant Rabbit monoclonal IgG. HuaAn. HuaAn biotechnology , inc.2.ATGL, Mouse mAb IgG1, Cat#:RT1058. HuaAn biotechnology , inc.3.p-PERK(Thr981), Rabbit Polyclonal IgG primary antibodies, Cat
Production of Monoclonal Antibody by DNA Immunization with Electroporation
associated with problematic antigens: low abundance and protein instability and use of recombinant proteins that lack posttranslational modifications. This chapter describes the use of a DNA-based immunization protocol for the production of mAb
The OP9-DL1 System: Generation of T-Lymphocytes from Embryonic or Hematopoietic Stem Cells In Vitro
) (for Protocols 2-4) Recombinant murine IL-7 (Peprotech 217-17) (for Protocols 2-4) Trypsin solution, 0.25% (Invitrogen 15090046) (for Protocols 1, 2) Dilute stock trypsin to 0.25% with PBS. Equipment Biosafety cabinet Cell strainers (40-µm pore size
技术资料暂无技术资料 索取技术资料









