相关产品推荐更多 >

beta Amyloid 1-42 Rabbit pAb, RBITC conjugated(bs-0107R-RBITC)-100ul
¥2980
TAGL2 Rabbit pAb, BF750 conjugated(bs-2977R-BF750)-100ul
¥2980
CORO2B Rabbit pAb, BF647 conjugated(bs-13997R-BF647)-100ul
¥2980
VSIG2 Rabbit pAb, FITC conjugated(bs-12782R-FITC)-100ul
¥2980
CD4 Rabbit pAb, PE conjugated(bs-0647R-PE)-100ul
¥2980
万千商家帮你免费找货
0 人在求购买到急需产品
- 详细信息
- 文献和实验
- 技术资料
- 应用范围:
产品信息以Bioss网站为准
- 规格:
50ul/100ul/25ul
| 规格: | 50ul | 产品价格: | ¥1400.0 |
|---|---|---|---|
| 规格: | 100ul | 产品价格: | ¥2500.0 |
| 规格: | 25ul | 产品价格: | ¥800.0 |
| 产品编号 | bsm-60595R |
| 英文名称 | TFEB Recombinant Rabbit mAb |
| 产品应用 | WB=1:500-1000, IHC-P=1:100-500, IHC-F=1:100-500, ICC/IF=1:100-500, IF=1:100-500, Flow-Cyt=1:50-100 Not yet tested in other applications. |
| 交叉反应 | Human |
| 抗体来源 | Rabbit |
| 亚型 | IgG |
| 性状 | Liquid |
| 纯化方法 | affinity purified by Protein A |
| 克隆类型 | Recombinant |
| 浓度 | 1mg/ml |
| 储存液 | 0.01M TBS (pH7.4) with 1% BSA, 0.02% Proclin300 and 50% Glycerol. |
| 研究领域 | Epigenetics and Nuclear Signaling > Transcription > Domain Families > HLH / Leucine Zipper Epigenetics and Nuclear Signaling > Transcription > Domain Families > HLH / Leucine Zipper > HLH / Leucine Zipper Epigenetics and Nuclear Signaling > Transcription > Transcription Factors Tags & Cell Markers > Cell Type Markers > Tumor Associated |
| 亚基 | Homodimer and heterodimer; with TFE3 or MITF. |
| 亚细胞定位 | Cytoplasm. Nucleus. Note=Mainly present in the cytoplasm. Under aberrant lysosomal storage conditions, it translocates from the cytoplasm to the nucleus. |
| 翻译后修饰 | Sumoylated; does not affect dimerization with MITF. |
| 相似性 | Belongs to the MiT/TFE family. Contains 1 basic helix-loop-helix (bHLH) domain. |
| 功能 | Transcription factor that specifically recognizes and binds E-box sequences (3'-CANNTG-5'). Efficient DNA-binding requires dimerization with itself or with another MiT/TFE family member such as TFE3 or MITF. In association with TFE3, activates the expression of CD40L in T-cells, thereby playing a role in T-cell-dependent antibody responses in activated CD4(+) T-cells and thymus-dependent humoral immunity. Specifically recognizes and binds the CLEAR-box sequence (5'-GTCACGTGAC-3') present in the regulatory region of many lysosomal genes, leading to activate their expression. It thereby plays a central role in expression of lysosomal genes. Specifically recognizes the gamma-E3 box, a subset of E-boxes, present in the heavy-chain immunoglobulin enhancer. Plays a role in the signal transduction processes required for normal vascularization of the placenta. |
| 保存条件 | Shipped at 4℃. Store at -20℃ for one year. Avoid repeated freeze/thaw cycles. |
| 注意事项 | This product as supplied is intended for research use only, not for use in human, therapeutic or diagnostic applications. |
| 背景资料 | Transcription factors of the basic helix-loop-helix zipper (bHLH-ZIP) family contain a basic domain, used for DNA binding, and HLH and ZIP domains, both used for oligomerization. TFEB was isolated from a human B-cell cDNA library using a binding sequence from the adenovirus major late promoter. This transcription factor probably binds to the USF/MLTF site and probably recognizes E-box sequences in the heavy-chain immunoglobulin enhancer. |
| 应用 | 推荐稀释比例 |
| {WB} | {1:500-1000} |
| {IHC-P} | {1:100-500} |
| {IHC-F} | {1:100-500} |
| {ICC/IF} | {1:100-500} |
| {IF} | {1:100-500} |
| {Flow-Cyt} | {1:50-100} |

Primary ab dilution: 1:1000
Primary ab incubation condition: 2 hours at room temperature
Secondary ab: Goat Anti-Rabbit IgG H&L (HRP)
Lysate: 1: Raji, 2: HeLa, 3: HepG2, 4: K562
Protein loading quantity: 20 μg
Exposure time: 60 s
Predicted MW: 53 kDa
Observed MW: 66 kDa

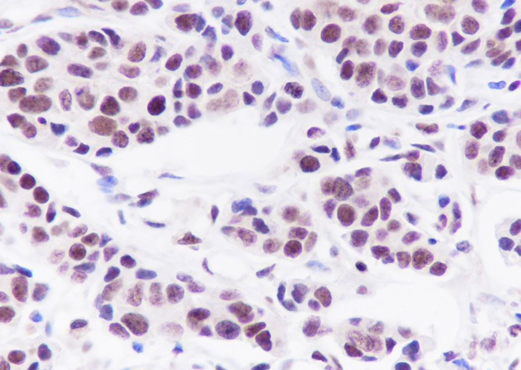
Section type: Formalin fixed & Paraffin -embedded section
Retrieval method: High temperature and high pressure
Retrieval buffer: Tris/EDTA buffer, pH 9.0 Primary ab dilution: 1:1000
Primary ab incubation condition: 1 hour at room temperature
Secondary ab: SP Kit(Rabbit) (sp-0023)
Counter stain: Hematoxylin (Blue)
Comment: Color brown is the positive signal for bsm-60595R

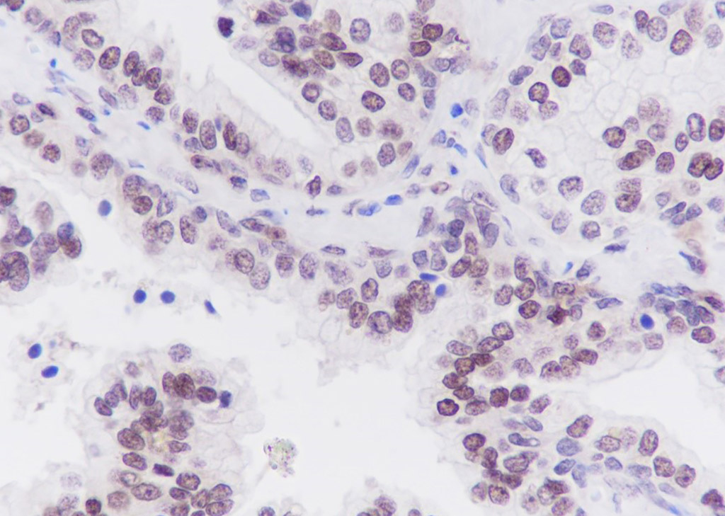
Section type: Formalin fixed & Paraffin -embedded section
Retrieval method: High temperature and high pressure
Retrieval buffer: Tris/EDTA buffer, pH 9.0 Primary ab dilution: 1:1000
Primary ab incubation condition: 1 hour at room temperature
Secondary ab: SP Kit(Rabbit) (sp-0023)
Counter stain: Hematoxylin (Blue)
Comment: Color brown is the positive signal for bsm-60595R

Fixative: 4% Paraformaldehyde
Permeabilization: 0.1% TritonX-100
Primary ab dilution: 1:50
Primary incubation condition: 4°C overnight
Secondary ab: Goat Anti-Rabbit IgG
Nuclear counter stain: DAPI (Blue)
Comment: Color green is the positive signal for bsm-60595R

Fixative: 4% Paraformaldehyde
Permeabilization: 90% methanol
Primary ab dilution: 1:100
Secondary ab: Goat anti Rabbit IgG
Unlabelled control: The cell without incubation with primary antibody and secondary antibody (Black line).
Isotype control: Rabbit monoclonal IgG (Blue line).
Comment: Line red is the positive signal for bsm-60595R
风险提示:丁香通仅作为第三方平台,为商家信息发布提供平台空间。用户咨询产品时请注意保护个人信息及财产安全,合理判断,谨慎选购商品,商家和用户对交易行为负责。对于医疗器械类产品,请先查证核实企业经营资质和医疗器械产品注册证情况。
文献和实验到 PVDF 膜上,同时减少蛋白不必要降解,这对于最终获得清晰、可信结果也是需要考虑因素。抗体信息:1.ACC1, Recombinant Rabbit monoclonal IgG. HuaAn. HuaAn biotechnology , inc.2.ATGL, Mouse mAb IgG1, Cat#:RT1058. HuaAn biotechnology , inc.3.p-PERK(Thr981), Rabbit Polyclonal IgG primary antibodies, Cat
The OP9-DL1 System: Generation of T-Lymphocytes from Embryonic or Hematopoietic Stem Cells In Vitro
al. 2006b ). MATERIALS Reagents Anti-CD24 monoclonal antibody (mAb) (J11d clone) (for Protocol 3) Use either culture supernatant that contains anti-CD24 mAb or purified anti-CD24 mAb (see Step 55). BDPharmLyse (red blood cell lysing
技术资料暂无技术资料 索取技术资料






