相关产品推荐更多 >

Tyrosine Hydroxylase Rabbit pAb, Cy7 conjugated(bs-0016R-Cy7)-100ul
¥2980
phospho-IKB alpha (Ser36) Rabbit pAb, APC-Cy5.5 conjugated(bs-18129R-APC-Cy5.5)-100ul
¥2980
Di-Methyl-Histone H3 (Lys56) Recombinant Rabbit mAb(bsm-60116R)-50ul/100ul/25ul
¥800
E2F1 Rabbit pAb, BF350 conjugated(bs-23185R-BF350)-100ul
¥2980
EIF2S1 Mouse mAb(bsm-51644M)-50ul/100ul
¥1180
万千商家帮你免费找货
0 人在求购买到急需产品
- 详细信息
- 文献和实验
- 技术资料
- 应用范围:
产品信息以Bioss网站为准
- 规格:
50ul/100ul/25ul
| 规格: | 50ul | 产品价格: | ¥1400.0 |
|---|---|---|---|
| 规格: | 100ul | 产品价格: | ¥2500.0 |
| 规格: | 25ul | 产品价格: | ¥800.0 |
| 产品编号 | bsm-60593R |
| 英文名称 | LY75 Recombinant Rabbit mAb |
| 中文名称 | 淋巴细胞抗原75(CD205)重组兔单抗 |
| 英文别名 | LY75_HUMAN; Lymphocyte antigen 75; CD205; CLEC13B; Ly-75; C-type lectin domain family 13 member B; DEC-205; gp200-MR6; |
| 产品应用 | IHC-P=1:100-500, IHC-F=1:100-500, IF=1:100-500, WB=1:500-2000 Not yet tested in other applications. |
| 交叉反应 | Human, Mouse, Rat |
| 抗体来源 | Rabbit |
| 免疫原 | A synthesized peptide derived from human DEC 205 |
| 亚型 | IgG |
| 性状 | Liquid |
| 纯化方法 | affinity purified by Protein A |
| 克隆类型 | Recombinant |
| 理论分子量 | 195 kDa |
| 浓度 | 1mg/ml |
| 储存液 | 0.01M TBS (pH7.4) with 1% BSA, 0.02% Proclin300 and 50% Glycerol. |
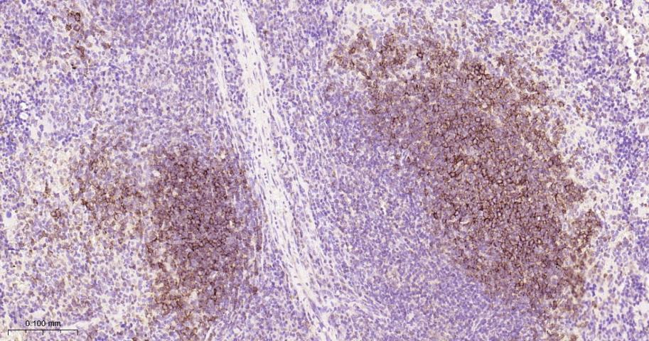
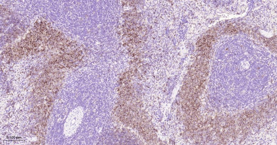
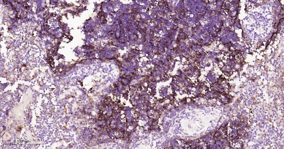
| 研究领域 | Immunology > Adaptive Immunity > B Cells > Non-CD Tags & Cell Markers > Cell Type Markers > Tumor Associated |
| 亚细胞定位 | Membrane; Single-pass type I membrane protein. |
| 组织特异性 | Expressed in spleen, thymus, colon and peripheral blood lymphocytes. Detected in myeloid and B-lymphoid cell lines. Isoform 2 and isoform 3 are expressed in malignant Hodgkin lymphoma cells called Hodgkin and Reed-Sternberg (HRS) cells. |
| 翻译后修饰 | N-glycosylated. |
| 相似性 | Contains 10 C-type lectin domains.
Contains 1 fibronectin type-II domain. Contains 1 ricin B-type lectin domain. |
| 功能 | Acts as an endocytic receptor to direct captured antigens from the extracellular space to a specialized antigen-processing compartment. Causes reduced proliferation of B-lymphocytes. |
| 保存条件 | Shipped at 4℃. Store at -20℃ for one year. Avoid repeated freeze/thaw cycles. |
| 注意事项 | This product as supplied is intended for research use only, not for use in human, therapeutic or diagnostic applications. |
| 背景资料 | Predicted to enable signaling receptor activity. Predicted to be involved in immune response and inflammatory response. Located in extracellular exosome. [provided by Alliance of Genome Resources, Apr 2022] |
| 应用 | 推荐稀释比例 |
| {IHC-P} | {1:100-500} |
| {IHC-F} | {1:100-500} |
| {IF} | {1:100-500} |
| {WB} | {1:500-2000} |






风险提示:丁香通仅作为第三方平台,为商家信息发布提供平台空间。用户咨询产品时请注意保护个人信息及财产安全,合理判断,谨慎选购商品,商家和用户对交易行为负责。对于医疗器械类产品,请先查证核实企业经营资质和医疗器械产品注册证情况。
文献和实验到 PVDF 膜上,同时减少蛋白不必要降解,这对于最终获得清晰、可信结果也是需要考虑因素。抗体信息:1.ACC1, Recombinant Rabbit monoclonal IgG. HuaAn. HuaAn biotechnology , inc.2.ATGL, Mouse mAb IgG1, Cat#:RT1058. HuaAn biotechnology , inc.3.p-PERK(Thr981), Rabbit Polyclonal IgG primary antibodies, Cat
The OP9-DL1 System: Generation of T-Lymphocytes from Embryonic or Hematopoietic Stem Cells In Vitro
al. 2006b ). MATERIALS Reagents Anti-CD24 monoclonal antibody (mAb) (J11d clone) (for Protocol 3) Use either culture supernatant that contains anti-CD24 mAb or purified anti-CD24 mAb (see Step 55). BDPharmLyse (red blood cell lysing
技术资料暂无技术资料 索取技术资料





