相关产品推荐更多 >

VEGFR3 Rabbit pAb, Cy3 conjugated(bs-2202R-Cy3)-100ul
¥2980
phospho-IRAK1 (Thr387) Rabbit pAb, FITC conjugated(bs-3194R-FITC)-100ul
¥2980
BDNF Rabbit pAb, PE conjugated(bs-4989R-PE)-100ul
¥2980
Chloramphenicol Rabbit pAb(bs-4541R)-50ul/100ul/200ul
¥1180
phospho-LRP6 (Thr1479) Rabbit pAb(bs-5408R)-50ul/100ul/200ul
¥1180
万千商家帮你免费找货
0 人在求购买到急需产品
- 详细信息
- 文献和实验
- 技术资料
- 应用范围:
产品信息以Bioss网站为准
- 规格:
50ul/100ul/25ul
| 规格: | 50ul | 产品价格: | ¥1400.0 |
|---|---|---|---|
| 规格: | 100ul | 产品价格: | ¥2500.0 |
| 规格: | 25ul | 产品价格: | ¥800.0 |
| 产品编号 | bsm-60606R |
| 英文名称 | MCM3 Recombinant Rabbit mAb |
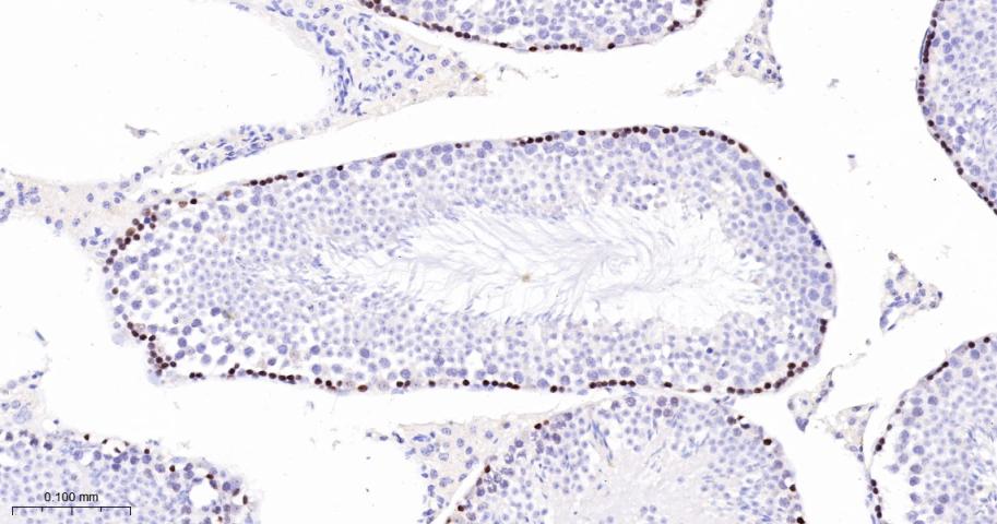
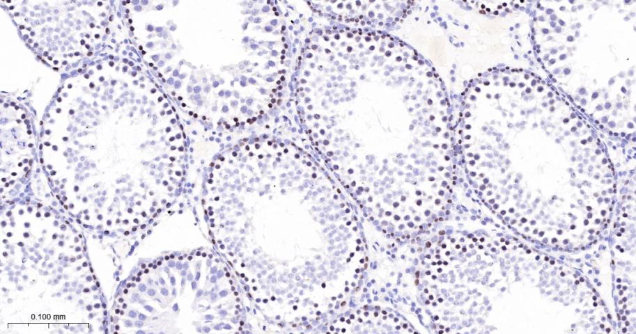
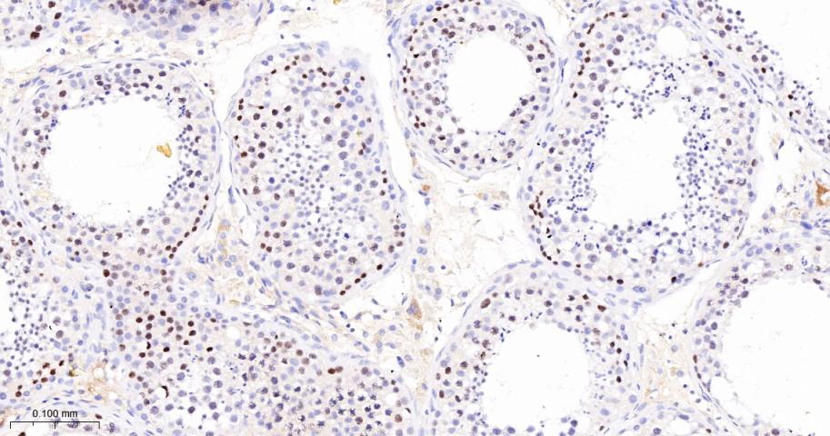
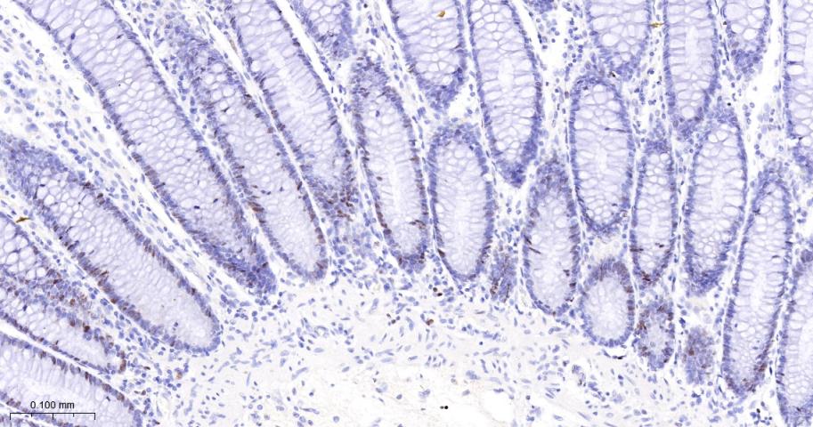
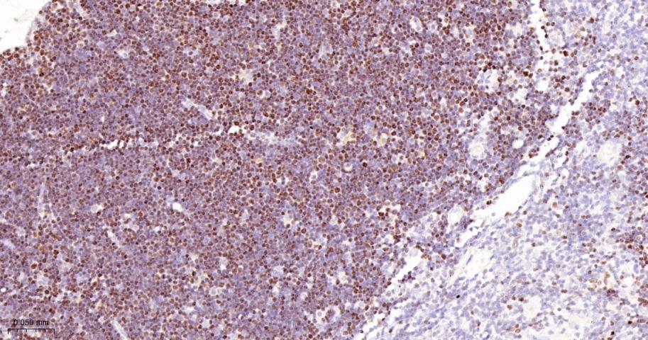
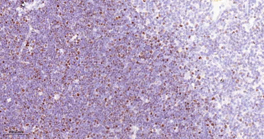
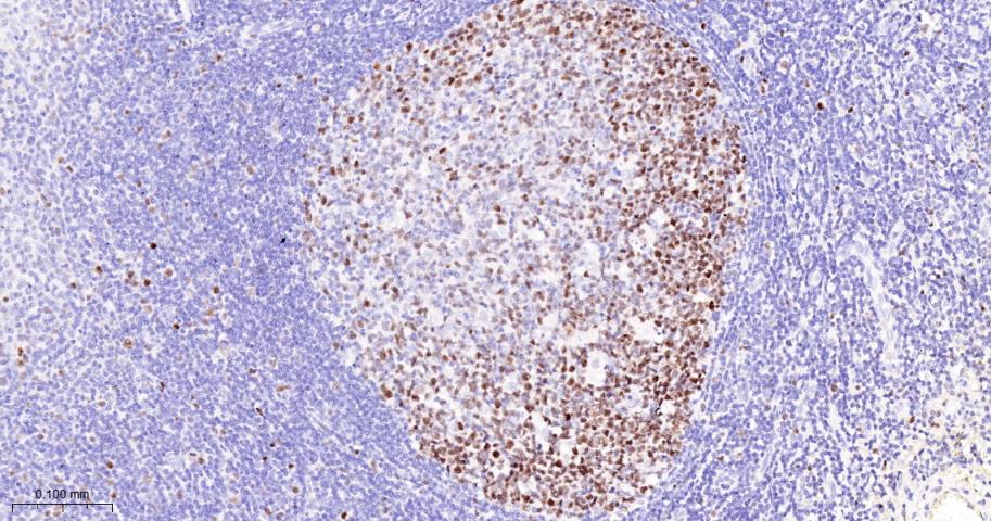
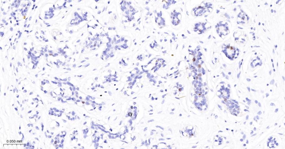
| 产品应用 | WB=1:500-2000, IHC-P=1:50-200, IHC-F=1:50-200, IF=1:50-200, Flow-Cyt=1:50-100, ICC/IF=1:50-200 Not yet tested in other applications. |
| 交叉反应 | Human, Mouse, Rat |
| 抗体来源 | Rabbit |
| 亚型 | IgG |
| 性状 | Liquid |
| 纯化方法 | affinity purified by Protein A |
| 克隆类型 | Recombinant |
| 浓度 | 1mg/ml |
| 储存液 | 0.01M TBS (pH7.4) with 1% BSA, 0.02% Proclin300 and 50% Glycerol. |
| 研究领域 | Epigenetics and Nuclear Signaling > DNA / RNA > DNA Synthesis |
| 亚基 | Component of the MCM2-7 complex. The complex forms a toroidal hexameric ring with the proposed subunit order MCM2-MCM6-MCM4-MCM7-MCM3-MCM5 (By simililarity). Associated with the replication-specific DNA polymerase alpha. Interacts with MCMBP. |
| 亚细胞定位 | Nucleus. |
| 相似性 | Belongs to the MCM family. Contains 1 MCM domain. |
| 保存条件 | Shipped at 4℃. Store at -20℃ for one year. Avoid repeated freeze/thaw cycles. |
| 注意事项 | This product as supplied is intended for research use only, not for use in human, therapeutic or diagnostic applications. |
| 背景资料 | The protein encoded by this gene is one of the highly conserved mini-chromosome maintenance proteins (MCM) that are involved in the initiation of eukaryotic genome replication. The hexameric protein complex formed by MCM proteins is a key component of the pre-replication complex (pre_RC) and may be involved in the formation of replication forks and in the recruitment of other DNA replication related proteins. This protein is a subunit of the protein complex that consists of MCM2-7. It has been shown to interact directly with MCM5/CDC46. This protein also interacts with and is acetylated by MCM3AP, a chromatin-associated acetyltransferase. The acetylation of this protein inhibits the initiation of DNA replication and cell cycle progression. Two transcript variants encoding different isoforms have been found for this gene. [provided by RefSeq, Jul 2012] |
| 应用 | 推荐稀释比例 |
| {WB} | {1:500-2000} |
| {IHC-P} | {1:50-200} |
| {IHC-F} | {1:50-200} |
| {IF} | {1:50-200} |
| {Flow-Cyt} | {1:50-100} |
| {ICC/IF} | {1:50-200} |












风险提示:丁香通仅作为第三方平台,为商家信息发布提供平台空间。用户咨询产品时请注意保护个人信息及财产安全,合理判断,谨慎选购商品,商家和用户对交易行为负责。对于医疗器械类产品,请先查证核实企业经营资质和医疗器械产品注册证情况。
文献和实验到 PVDF 膜上,同时减少蛋白不必要降解,这对于最终获得清晰、可信结果也是需要考虑因素。抗体信息:1.ACC1, Recombinant Rabbit monoclonal IgG. HuaAn. HuaAn biotechnology , inc.2.ATGL, Mouse mAb IgG1, Cat#:RT1058. HuaAn biotechnology , inc.3.p-PERK(Thr981), Rabbit Polyclonal IgG primary antibodies, Cat
The OP9-DL1 System: Generation of T-Lymphocytes from Embryonic or Hematopoietic Stem Cells In Vitro
al. 2006b ). MATERIALS Reagents Anti-CD24 monoclonal antibody (mAb) (J11d clone) (for Protocol 3) Use either culture supernatant that contains anti-CD24 mAb or purified anti-CD24 mAb (see Step 55). BDPharmLyse (red blood cell lysing
技术资料暂无技术资料 索取技术资料





