相关产品推荐更多 >

phospho-IRS1 (Tyr632) Rabbit pAb, PerCP-Cy7 conjugated(bs-8707R-PerCP-Cy7)-100ul
¥2980
PODN Rabbit pAb, Biotin conjugated(bs-12749R-Bio)-100ul
¥2980
Lactoferrin Rabbit pAb, PE-Cy7 conjugated(bs-5810R-PE-Cy7)-100ul
¥2980
PEX10 Rabbit pAb, HRP conjugated(bs-0355R-HRP)-100ul
¥2980
Bax Recombinant Rabbit mAb(bsm-52316R)-50ul/100ul/25ul
¥800
万千商家帮你免费找货
0 人在求购买到急需产品
- 详细信息
- 技术资料
- 应用范围:
产品信息以Bioss网站为准
- 规格:
50ul/100ul
| 规格: | 50ul | 产品价格: | ¥1400.0 |
|---|---|---|---|
| 规格: | 100ul | 产品价格: | ¥2500.0 |
| 产品编号 | bsm-54329R |
| 英文名称 | Cubilin Recombinant Rabbit mAb |
| 中文名称 | 内皮因子维生素B12受体重组兔单抗 |
| 英文别名 | 460 kDa receptor; cubilin(intrinsic factor-cobalamin receptor); Cubilin precursor; CUBN; IFCR; Intestinal intrinsic factor receptor; intrinsic factor B12-receptor; intrinsic factor-cobalamin receptor; intrinsic factor-vitamin B12 receptor; megaloblastic anemia 1; MGA1. |
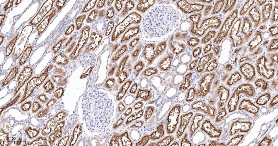
| 产品应用 | WB=1:500-2000, IHC-P=1:100-500, IHC-F=1:100-500, IF=1:100-500 Not yet tested in other applications. |
| 交叉反应 | Human |
| 抗体来源 | Rabbit |
| 免疫原 | Recombinant human Cubilin protein |
| 亚型 | IgG |
| 性状 | Liquid |
| 纯化方法 | affinity purified by Protein A |
| 克隆类型 | Recombinant |
| 理论分子量 | 395 kDa |
| 浓度 | 1mg/ml |
| 储存液 | 1*TBS (pH7.4), 0.05% BSA, 40% Glycerol. Preservative: 0.02% Proclin300. |
| 研究领域 | Cancer > Cancer Metabolism > Metabolic signaling pathway > Hormone biosynthesis Cancer > Cancer Metabolism > Metabolic signaling pathway > Metabolism of lipids and lipoproteins Metabolism > Pathways and Processes > Cofactors, Vitamins / minerals > Vitamins / minerals Metabolism > Pathways and Processes > Endocrine metabolism > Hormone biosynthesis Metabolism > Pathways and Processes > Metabolic signaling pathways > Lipid and lipoprotein metabolism > Lipid metabolism Signal Transduction > Metabolism > Lipid metabolism Signal Transduction > Metabolism > Vitamins / Minerals |
| 亚基 | "Interacts with LRP2 in a dual-receptor complex in a calcium-dependent manner. Component of the cubam complex composed of CUBN and AMN. The cubam complex can oligomerize and form cubam trimers. Found in a complex with PID1/PCLI1, LRP1 and CUBNI. Interacts with LRP1 and PID1/PCLI1. |
| 亚细胞定位 | Endosome membrane; Peripheral membrane protein. Lysosome membrane; Peripheral membrane protein. |
| 组织特异性 | Expressed in kidney proximal tubule cells, placenta, visceral yolk-sac cells and in absorptive intestinal cells. Expressed in the epithelium of intestine and kidney. |
| 相似性 | Contains 27 CUB domains. Contains 7 EGF-like domains. |
| 保存条件 | Shipped at 4℃. Store at -20℃ for one year. Avoid repeated freeze/thaw cycles. |
| 注意事项 | This product as supplied is intended for research use only, not for use in human, therapeutic or diagnostic applications. |
| 背景资料 | Cubilin is an endocytic receptor that lacks a classical transmembrane region. It is a multidomain receptor that contains an amino terminal 110 residue segment followed by 8 epidermal growth factor (EGF)-like repeats and a contiguous stretch of 27 CUB domains. Cubilin acts as a receptor for intrinsic factor-vitamin B12 complexes. Cubilin is located within the epithelium of intestine and kidney. Cubilin co-localizes with and binds to Megalin, a 600kDa member of the LDL receptor family that is required for the internalization of cubilin-bound ligands, such as vitamin B12, apolipoprotein A1 and Albumin. Megalin specifically binds to cubilin in the amino terminal region that contains the EGF-like repeats and CUB domains 1 and 2. Mutations in Cubilin may play a role in autosomal recessive megaloblastic anemia also known as Imerslund-Grasbeck’s disease, which causes intestinal malabsorption of vitamin B12. |
| 应用 | 推荐稀释比例 |
| {WB} | {1:500-2000} |
| {IHC-P} | {1:100-500} |
| {IHC-F} | {1:100-500} |
| {IF} | {1:100-500} |

风险提示:丁香通仅作为第三方平台,为商家信息发布提供平台空间。用户咨询产品时请注意保护个人信息及财产安全,合理判断,谨慎选购商品,商家和用户对交易行为负责。对于医疗器械类产品,请先查证核实企业经营资质和医疗器械产品注册证情况。
技术资料暂无技术资料 索取技术资料





