CCNA2 Recombinant Rabbit mAb(bsm-52660R)-50ul/100ul
文献支持

CCNA2 Recombinant Rabbit mAb(b

sm-52660R)-50ul/100ul
收藏
  • ¥1400 - 2500
  • Bioss已认证
  • bsm-52660R
  • 2025年10月16日
  • 产品信息以Bioss网站为准
avatar
品牌商
9钻石会员
  • 企业认证

    点击 QQ 联系

    • 详细信息
    • 文献和实验
    • 技术资料
    • 应用范围

      产品信息以Bioss网站为准

    • 规格

      50ul/100ul

    规格:50ul产品价格:¥1400.0
    规格:100ul产品价格:¥2500.0
    产品编号bsm-52660R
    英文名称CCNA2 Recombinant Rabbit mAb
    中文名称周期素A2重组兔单抗
    英文别名CCNA2_HUMAN; Cyclin-A2; Cyclin-A; CCN1; CCN1; CCNA; cyclin A2;
    产品应用WB=1:500-2000, IHC-P=1:50-200, IHC-F=1:50-200, ICC/IF=1:50-200, IF=1:50-200

    Not yet tested in other applications.
    Optimal working dilutions must be determined by the end user.

    交叉反应Human, Mouse, Rat
    抗体来源Rabbit
    免疫原A synthesized peptide derived from human Cyclin A2
    亚型IgG
    性状Liquid
    纯化方法affinity purified by Protein A
    克隆类型Recombinant
    理论分子量49 kDa
    浓度1mg/ml
    储存液1*TBS (pH7.4), 0.05% BSA, 40% Glycerol. Preservative: 0.02% Proclin300.
    研究领域

    Cancer > Cell cycle > Cyclins > Cyclin A family

    Cardiovascular > Lipids / Lipoproteins > Lipoproteins/Apolipoproteins > Apolipoproteins

    Cell Biology > Cell Cycle > Cyclins

    Cell Biology > Cell Cycle > Cyclins > Cyclin A Family

    Epigenetics and Nuclear Signaling > Cell cycle > Cyclins > Cyclin A Family

    亚基Interacts with the CDK1 and CDK2 protein kinases to form a serine/threonine kinase holoenzyme complex. The cyclin subunit imparts substrate specificity to the complex. When associated with CDK2 (but not with CDK1), interacts with SCAPER.
    亚细胞定位Nucleus. Cytoplasm. Note=Cytoplasmic when associated with SCAPER.
    翻译后修饰Polyubiquitinated via 'Lys-11'-linked ubiquitin by the anaphase-promoting complex (APC/C), leading to its degradation by the proteasome. Deubiquitinated and stabilized by USP37 enables entry into S phase.
    相似性Belongs to the cyclin family. Cyclin AB subfamily.
    功能Essential for the control of the cell cycle at the G1/S (start) and the G2/M (mitosis) transitions.
    保存条件Shipped at 4℃. Store at -20℃ for one year. Avoid repeated freeze/thaw cycles.
    注意事项This product as supplied is intended for research use only, not for use in human, therapeutic or diagnostic applications.
    背景资料The protein encoded by this gene belongs to the highly conserved cyclin family, whose members function as regulators of the cell cycle. This protein binds and activates cyclin-dependent kinase 2 and thus promotes transition through G1/S and G2/M. [provided by RefSeq, Aug 2016]

     

    应用推荐稀释比例
    {WB}{1:500-2000}
    {IHC-P}{1:50-200}
    {IHC-F}{1:50-200}
    {ICC/IF}{1:50-200}
    {IF}{1:50-200}

     

    CCNA2 Recombinant Rabbit mAb(b
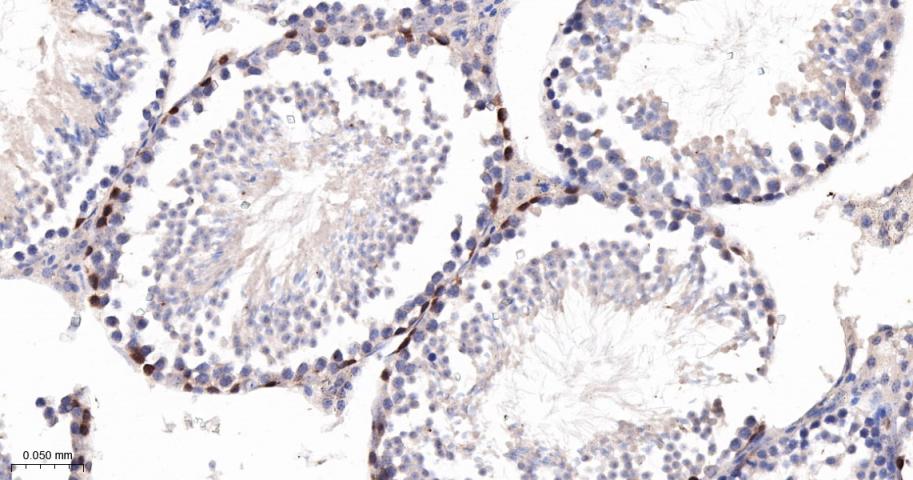
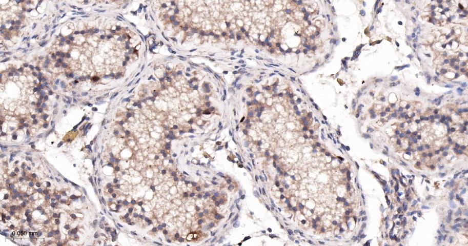
    P‌‌araformaldehyde-fixed, paraffin embedded Mouse Testicles; Antigen retrieval by boiling in sodium citrate buffer (pH6.0) for 15 min; The section was incubated with CCNA2 Monoclonal Antibody, Unconjugated (bsm-52660R) at 1:200 overnight at 4°C, followed by conjugation to the bs-0295G-HRP and DAB (C-0010) staining.
    CCNA2 Recombinant Rabbit mAb(b
    P‌‌araformaldehyde-fixed, paraffin embedded Rat Testicles; Antigen retrieval by boiling in sodium citrate buffer (pH6.0) for 15 min; The section was incubated with CCNA2 Monoclonal Antibody, Unconjugated (bsm-52660R) at 1:200 overnight at 4°C, followed by conjugation to the bs-0295G-HRP and DAB (C-0010) staining.
    CCNA2 Recombinant Rabbit mAb(b
    P‌‌araformaldehyde-fixed, paraffin embedded Human Testicles; Antigen retrieval by boiling in sodium citrate buffer (pH6.0) for 15 min; The section was incubated with CCNA2 Monoclonal Antibody, Unconjugated (bsm-52660R) at 1:200 overnight at 4°C, followed by conjugation to the bs-0295G-HRP and DAB (C-0010) staining.
    CCNA2 Recombinant Rabbit mAb(b
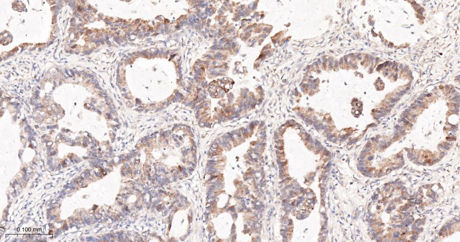
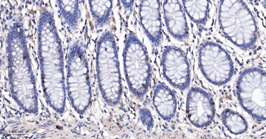
    P‌‌araformaldehyde-fixed, paraffin embedded Mouse Colon; Antigen retrieval by boiling in sodium citrate buffer (pH6.0) for 15 min; The section was incubated with CCNA2 Monoclonal Antibody, Unconjugated (bsm-52660R) at 1:200 overnight at 4°C, followed by conjugation to the bs-0295G-HRP and DAB (C-0010) staining.
    CCNA2 Recombinant Rabbit mAb(b
    P‌‌araformaldehyde-fixed, paraffin embedded Rat Colon; Antigen retrieval by boiling in sodium citrate buffer (pH6.0) for 15 min; The section was incubated with CCNA2 Monoclonal Antibody, Unconjugated (bsm-52660R) at 1:200 overnight at 4°C, followed by conjugation to the bs-0295G-HRP and DAB (C-0010) staining.
    CCNA2 Recombinant Rabbit mAb(b
    P‌‌araformaldehyde-fixed, paraffin embedded Human Colon; Antigen retrieval by boiling in sodium citrate buffer (pH6.0) for 15 min; The section was incubated with CCNA2 Monoclonal Antibody, Unconjugated (bsm-52660R) at 1:200 overnight at 4°C, followed by conjugation to the bs-0295G-HRP and DAB (C-0010) staining.
    CCNA2 Recombinant Rabbit mAb(b
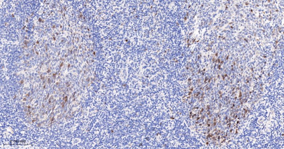
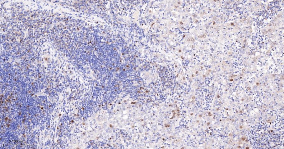
    P‌‌araformaldehyde-fixed, paraffin embedded Mouse Thymus; Antigen retrieval by boiling in sodium citrate buffer (pH6.0) for 15 min; The section was incubated with CCNA2 Monoclonal Antibody, Unconjugated (bsm-52660R) at 1:200 overnight at 4°C, followed by conjugation to the bs-0295G-HRP and DAB (C-0010) staining.
    CCNA2 Recombinant Rabbit mAb(b
    P‌‌araformaldehyde-fixed, paraffin embedded Rat Thymus; Antigen retrieval by boiling in sodium citrate buffer (pH6.0) for 15 min; The section was incubated with CCNA2 Monoclonal Antibody, Unconjugated (bsm-52660R) at 1:200 overnight at 4°C, followed by conjugation to the bs-0295G-HRP and DAB (C-0010) staining.
    CCNA2 Recombinant Rabbit mAb(b
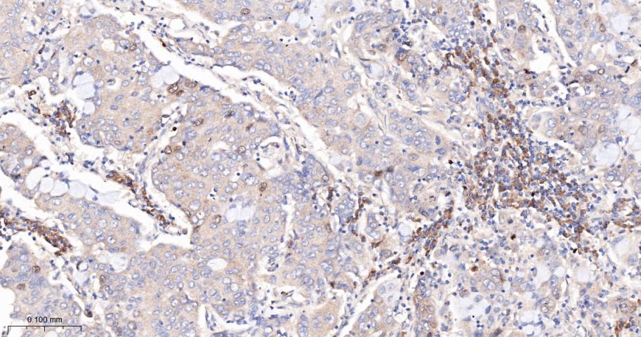
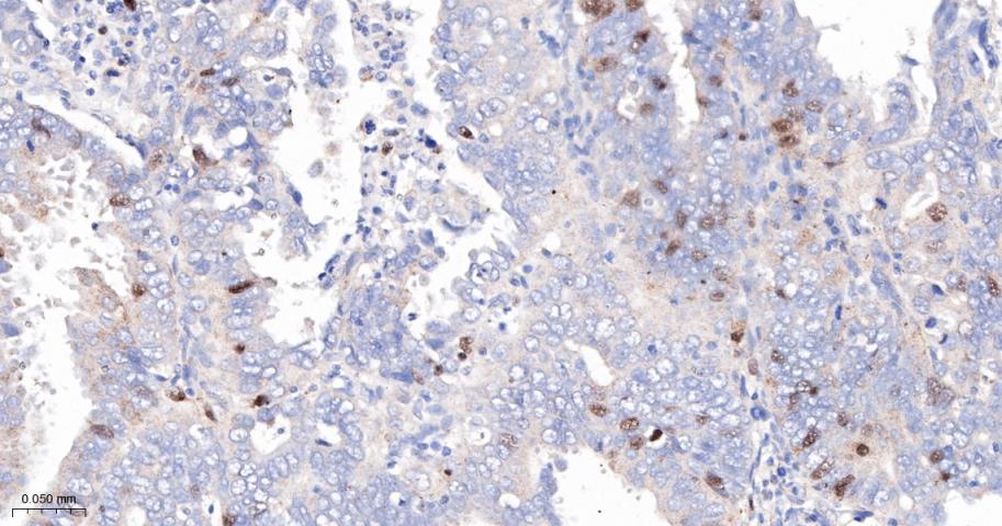
    P‌‌araformaldehyde-fixed, paraffin embedded Human Lung Cancer; Antigen retrieval by boiling in sodium citrate buffer (pH6.0) for 15 min; The section was incubated with CCNA2 Monoclonal Antibody, Unconjugated (bsm-52660R) at 1:200 overnight at 4°C, followed by conjugation to the bs-0295G-HRP and DAB (C-0010) staining.
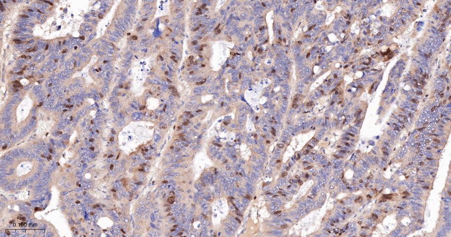
    CCNA2 Recombinant Rabbit mAb(b
    P‌‌araformaldehyde-fixed, paraffin embedded Human Colon Cancer; Antigen retrieval by boiling in sodium citrate buffer (pH6.0) for 15 min; The section was incubated with CCNA2 Monoclonal Antibody, Unconjugated (bsm-52660R) at 1:200 overnight at 4°C, followed by conjugation to the bs-0295G-HRP and DAB (C-0010) staining.
    CCNA2 Recombinant Rabbit mAb(b
    P‌‌araformaldehyde-fixed, paraffin embedded Human Cervical Cancer; Antigen retrieval by boiling in sodium citrate buffer (pH6.0) for 15 min; The section was incubated with CCNA2 Monoclonal Antibody, Unconjugated (bsm-52660R) at 1:200 overnight at 4°C, followed by conjugation to the bs-0295G-HRP and DAB (C-0010) staining.
    CCNA2 Recombinant Rabbit mAb(b
    P‌‌araformaldehyde-fixed, paraffin embedded Human Gastric Cancer; Antigen retrieval by boiling in sodium citrate buffer (pH6.0) for 15 min; The section was incubated with CCNA2 Monoclonal Antibody, Unconjugated (bsm-52660R) at 1:200 overnight at 4°C, followed by conjugation to the bs-0295G-HRP and DAB (C-0010) staining.
    CCNA2 Recombinant Rabbit mAb(b
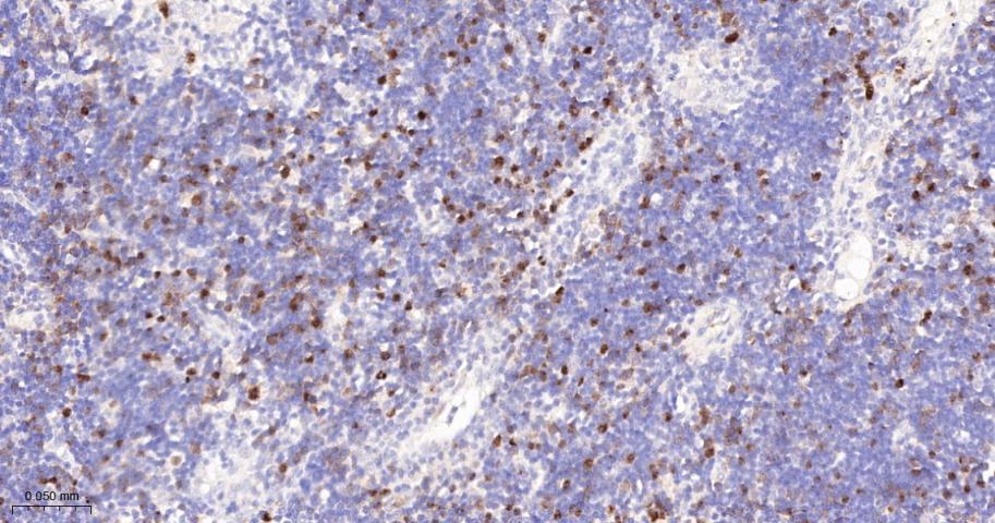
    P‌‌araformaldehyde-fixed, paraffin embedded Human Tonsil; Antigen retrieval by boiling in sodium citrate buffer (pH6.0) for 15 min; The section was incubated with CCNA2 Monoclonal Antibody, Unconjugated (bsm-52660R) at 1:200 overnight at 4°C, followed by conjugation to the bs-0295G-HRP and DAB (C-0010) staining.
    CCNA2 Recombinant Rabbit mAb(b
    P‌‌araformaldehyde-fixed, paraffin embedded Human Endometrial Cancer; Antigen retrieval by boiling in sodium citrate buffer (pH6.0) for 15 min; The section was incubated with CCNA2 Monoclonal Antibody, Unconjugated (bsm-52660R) at 1:200 overnight at 4°C, followed by conjugation to the bs-0295G-HRP and DAB (C-0010) staining.
    CCNA2 Recombinant Rabbit mAb(b
    25 ug total protein per lane of various lysates (see on figure) probed with CCNA2 monoclonal antibody, unconjugated (bsm-52660R) at 1:1000 dilution and 4°C overnight incubation. Followed by conjugated secondary antibody incubation at r.t. for 60 min.

    风险提示:丁香通仅作为第三方平台,为商家信息发布提供平台空间。用户咨询产品时请注意保护个人信息及财产安全,合理判断,谨慎选购商品,商家和用户对交易行为负责。对于医疗器械类产品,请先查证核实企业经营资质和医疗器械产品注册证情况。

    图标文献和实验
    该产品被引用文献

    [IF={{ 4.8 }}] {Gaiping Wang. et al. RegⅢγ promotes the proliferation, and inhibits inflammation response of macrophages by Akt, STAT3 and NF-κB pathways. INT IMMUNOPHARMACOL. 2024 Dec;143:113442} {WB} {Mouse}

    图标技术资料

    暂无技术资料 索取技术资料

    同类产品报价

    产品名称
    产品价格
    公司名称
    报价日期
    ¥1990
    上海圻明生物科技有限公司
    2025年07月11日询价
    询价
    南京赛戈巍生物科技有限公司
    2025年09月22日询价
    ¥900
    上海贝博生物科技有限公司
    2025年07月12日询价
    ¥1180
    澳睿赛生物技术(上海)有限公司
    2025年07月13日询价
    询价
    卡梅德生物科技(天津)有限公司
    2025年09月11日询价
    文献支持
    CCNA2 Recombinant Rabbit mAb(bsm-52660R)-50ul/100ul
    ¥1400 - 2500