相关产品推荐更多 >

FAM83H Rabbit pAb(bs-16018R)-50ul/100ul/200ul
¥1180
BST2 Recombinant Rabbit mAb(bsm-54196R)-50ul/100ul
¥1400
LDL Rabbit pAb, FITC conjugated(bs-2200R-FITC)-100ul
¥2980
Bcl-2 alpha Rabbit pAb, PerCP conjugated(bs-15533R-PerCP)-100ul
¥2980
EphB2 Rabbit pAb, APC-Cy5.5 conjugated(bs-0996R-APC-Cy5.5)-100ul
¥2980
万千商家帮你免费找货
0 人在求购买到急需产品
- 详细信息
- 文献和实验
- 技术资料
- 应用范围:
产品信息以Bioss网站为准
- 规格:
50ul/100ul/25ul
| 规格: | 50ul | 产品价格: | ¥1400.0 |
|---|---|---|---|
| 规格: | 100ul | 产品价格: | ¥2500.0 |
| 规格: | 25ul | 产品价格: | ¥800.0 |
| 产品编号 | bsm-60700R |
| 英文名称 | PTP1B Recombinant Rabbit mAb |
| 中文名称 | 蛋白酪氨酸磷酸酶-1B重组兔单抗 |
| 英文别名 | PTN1_HUMAN; Tyrosine-protein phosphatase non-receptor type 1; EC:3.1.3.48; PTPN1; Protein-tyrosine phosphatase 1B(PTP-1B); |
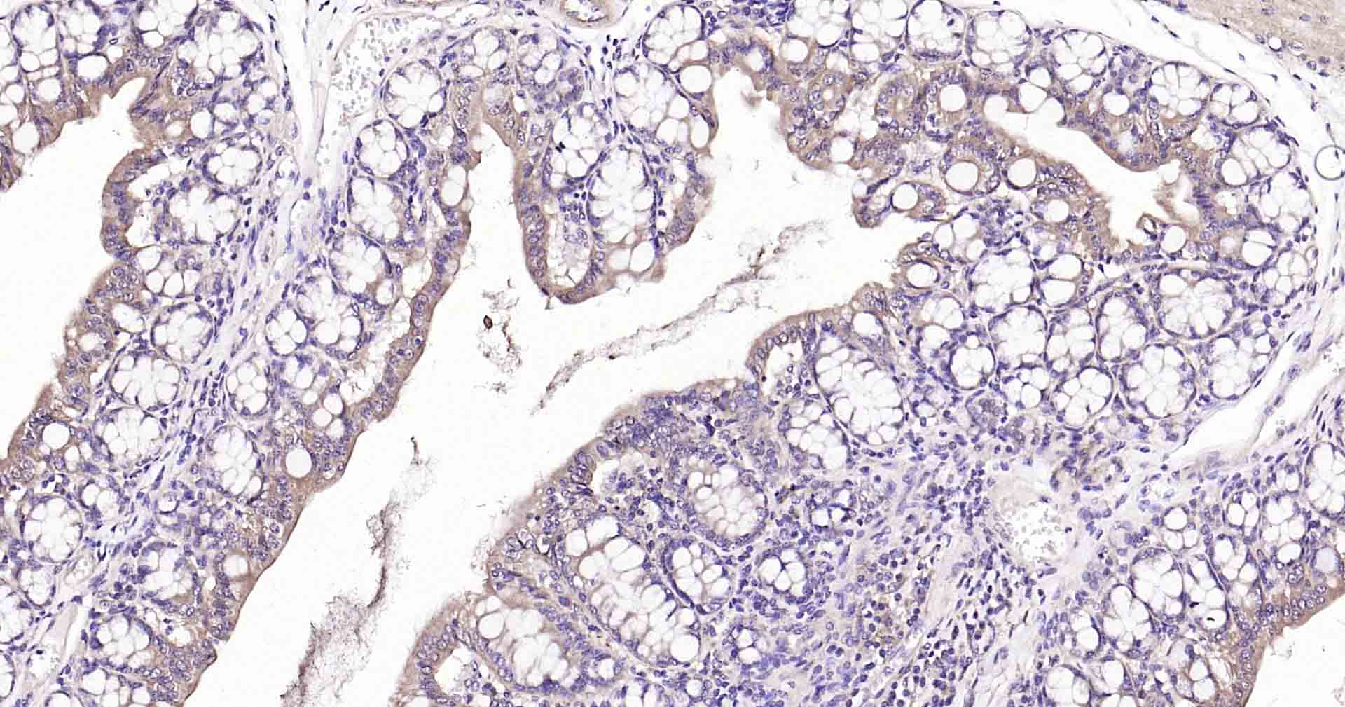
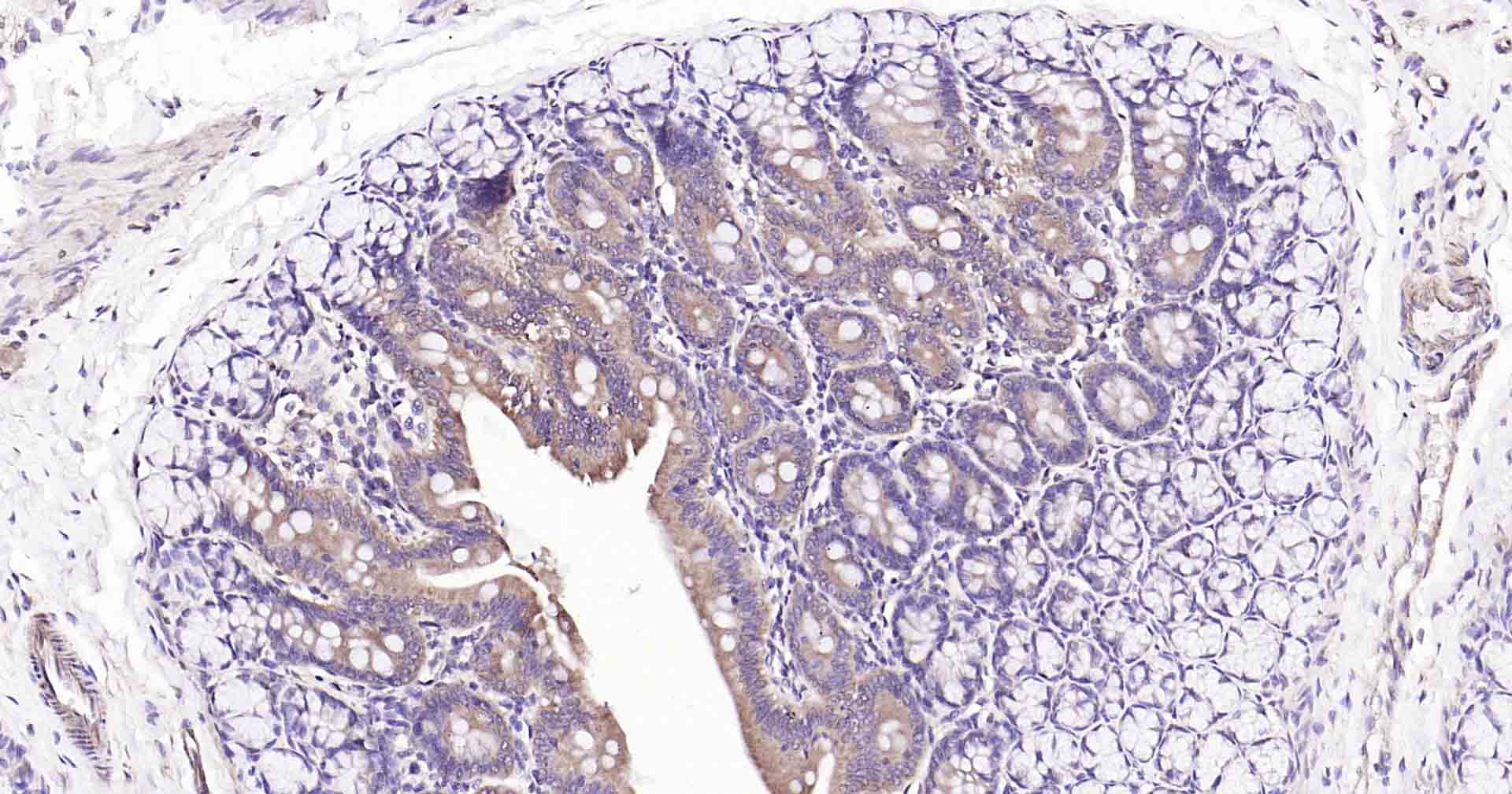
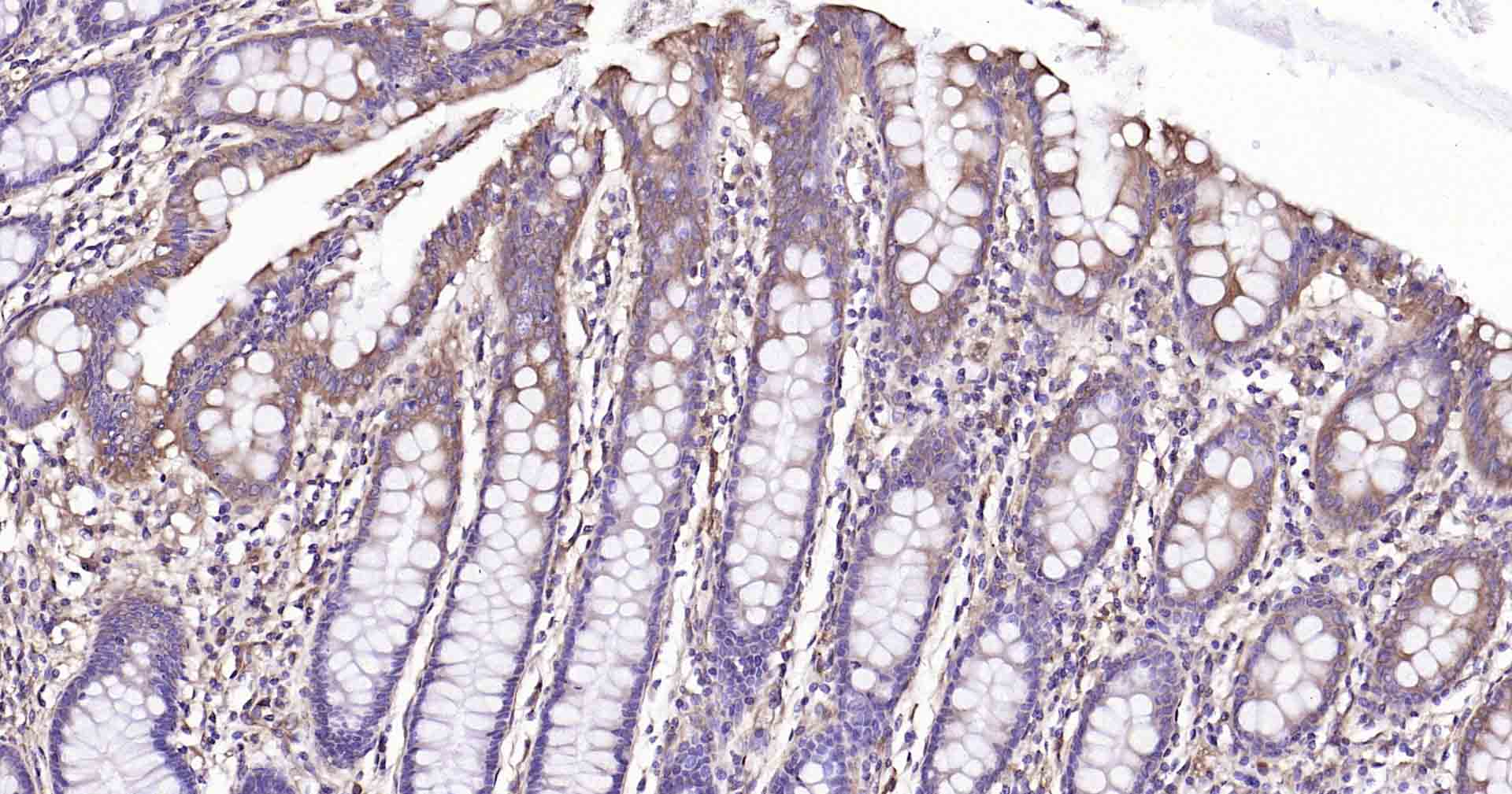
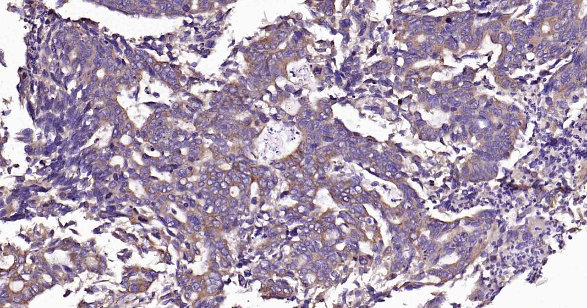
| 产品应用 | WB=1:500-2000, IHC-P=1:200-500, IHC-F=1:200-500, ICC/IF=1:50-200, IF=1:200-500, Flow-Cyt=1:50-100 Not yet tested in other applications. |
| 交叉反应 | Human, Mouse, Rat |
| 抗体来源 | Rabbit |
| 免疫原 | A synthesized peptide derived from human PTPN1 |
| 亚型 | IgG |
| 性状 | Liquid |
| 纯化方法 | affinity purified by Protein A |
| 克隆类型 | Recombinant |
| 理论分子量 | 50 kDa |
| 浓度 | 1mg/ml |
| 储存液 | 0.01M TBS (pH7.4) with 1% BSA, 0.02% Proclin300 and 50% Glycerol. |
| 研究领域 | Cardiovascular > Atherosclerosis > Diabetes associated Signal Transduction > Protein Phosphorylation > Tyrosine Phosphatases |
| 亚基 | Interacts with EPHA3 (phosphorylated); dephosphorylates EPHA3 and may regulate its trafficking and function. |
| 亚细胞定位 | Endoplasmic reticulum membrane; Peripheral membrane protein; Cytoplasmic side. Note=Interacts with EPHA3 at the cell membrane. |
| 组织特异性 | Most abundant in testis. Also found in kidney, spleen, muscle, liver, heart and brain. |
| 翻译后修饰 | Ser-50 is the major site of phosphorylation as compared to Ser-242 and Ser-243. Activated by phosphorylation at Ser-50.
S-nitrosylation of Cys-215 inactivates the enzyme activity. Sulfhydration at Cys-215 following endoplasmic reticulum stress inactivates the enzyme activity, promoting EIF2AK3/PERK activity. |
| 功能 | Tyrosine-protein phosphatase which acts as a regulator of endoplasmic reticulum unfolded protein response. Mediates dephosphorylation of EIF2AK3/PERK; inactivating the protein kinase activity of EIF2AK3/PERK. May play an important role in CKII- and p60c-src-induced signal transduction cascades. May regulate the EFNA5-EPHA3 signaling pathway which modulates cell reorganization and cell-cell repulsion |
| 保存条件 | Shipped at 4℃. Store at -20℃ for one year. Avoid repeated freeze/thaw cycles. |
| 注意事项 | This product as supplied is intended for research use only, not for use in human, therapeutic or diagnostic applications. |
| 背景资料 | The protein encoded by this gene is the founding member of the protein tyrosine phosphatase (PTP) family, which was isolated and identified based on its enzymatic activity and amino acid sequence. PTPs catalyze the hydrolysis of the phosphate monoesters specifically on tyrosine residues. Members of the PTP family share a highly conserved catalytic motif, which is essential for the catalytic activity. PTPs are known to be signaling molecules that regulate a variety of cellular processes including cell growth, differentiation, mitotic cycle, and oncogenic transformation. This PTP has been shown to act as a negative regulator of insulin signaling by dephosphorylating the phosphotryosine residues of insulin receptor kinase. This PTP was also reported to dephosphorylate epidermal growth factor receptor kinase, as well as JAK2 and TYK2 kinases, which implicated the role of this PTP in cell growth control, and cell response to interferon stimulation. Two transcript variants encoding different isoforms have been found for this gene. [provided by RefSeq, Jul 2013] |
| 应用 | 推荐稀释比例 |
| {WB} | {1:500-2000} |
| {IHC-P} | {1:200-500} |
| {IHC-F} | {1:200-500} |
| {ICC/IF} | {1:50-200} |
| {IF} | {1:200-500} |
| {Flow-Cyt} | {1:50-100} |








风险提示:丁香通仅作为第三方平台,为商家信息发布提供平台空间。用户咨询产品时请注意保护个人信息及财产安全,合理判断,谨慎选购商品,商家和用户对交易行为负责。对于医疗器械类产品,请先查证核实企业经营资质和医疗器械产品注册证情况。
文献和实验到 PVDF 膜上,同时减少蛋白不必要降解,这对于最终获得清晰、可信结果也是需要考虑因素。抗体信息:1.ACC1, Recombinant Rabbit monoclonal IgG. HuaAn. HuaAn biotechnology , inc.2.ATGL, Mouse mAb IgG1, Cat#:RT1058. HuaAn biotechnology , inc.3.p-PERK(Thr981), Rabbit Polyclonal IgG primary antibodies, Cat
The OP9-DL1 System: Generation of T-Lymphocytes from Embryonic or Hematopoietic Stem Cells In Vitro
al. 2006b ). MATERIALS Reagents Anti-CD24 monoclonal antibody (mAb) (J11d clone) (for Protocol 3) Use either culture supernatant that contains anti-CD24 mAb or purified anti-CD24 mAb (see Step 55). BDPharmLyse (red blood cell lysing
技术资料暂无技术资料 索取技术资料






