相关产品推荐更多 >

FHOD1 Rabbit pAb, Cy7 conjugated(bs-13158R-Cy7)-100ul
¥2980
Gemin 7 Rabbit pAb, BF350 conjugated(bs-13330R-BF350)-100ul
¥2980
ZNF496 Rabbit pAb, Biotin conjugated(bs-12815R-Bio)-100ul
¥2980
phospho-TFII I (Tyr248) Rabbit pAb, AP conjugated(bs-7139R-AP)-100ul
¥2980
MT2A Rabbit pAb, APC-Cy5.5 conjugated(bs-1328R-APC-Cy5.5)-100ul
¥2980
万千商家帮你免费找货
0 人在求购买到急需产品
- 详细信息
- 技术资料
- 应用范围:
产品信息以Bioss网站为准
- 规格:
50ul/100ul/25ul
| 规格: | 50ul | 产品价格: | ¥1400.0 |
|---|---|---|---|
| 规格: | 100ul | 产品价格: | ¥2500.0 |
| 规格: | 25ul | 产品价格: | ¥800.0 |
| 产品编号 | bsm-60680R |
| 英文名称 | TYMS Recombinant Rabbit mAb |
| 中文名称 | 胸苷酸合成酶重组兔单抗 |
| 英文别名 | Thymidylate synthase; EC 2.1.1.45; HsT422; MGC88736; TS; TSase; OK/SW-cl.29; TMS; TYSY_HUMAN. |
| 产品应用 | WB=1:500-2000, ICC/IF=1:50-200, IHC-P=1:100-500, IHC-F=1:100-500, IF=1:100-500, Flow-Cyt=1:50-100 Not yet tested in other applications. |
| 交叉反应 | Human, Mouse, Rat |
| 抗体来源 | Rabbit |
| 免疫原 | A synthesized peptide derived from human Thymidylate synthase |
| 亚型 | IgG |
| 性状 | Liquid |
| 纯化方法 | affinity purified by Protein A |
| 克隆类型 | Recombinant |
| 理论分子量 | 36 kDa |
| 浓度 | 1mg/ml |
| 储存液 | 0.01M TBS (pH7.4) with 1% BSA, 0.02% Proclin300 and 50% Glycerol. |
| 研究领域 | Epigenetics and Nuclear Signaling > DNA / RNA > DNA Synthesis Metabolism > Pathways and Processes > Metabolic signaling pathways > Nucleotide metabolism > Purine and pyrimidine synthesis |
| 亚基 | Homodimer. |
| 亚细胞定位 | Nucleus. Cytoplasm. Mitochondrion. Mitochondrion matrix. Mitochondrion inner membrane. |
| 相似性 | Belongs to the thymidylate synthase family. |
| 功能 | Contributes to the de novo mitochondrial thymidylate biosynthesis pathway. |
| 保存条件 | Shipped at 4℃. Store at -20℃ for one year. Avoid repeated freeze/thaw cycles. |
| 注意事项 | This product as supplied is intended for research use only, not for use in human, therapeutic or diagnostic applications. |
| 背景资料 | Thymidylate synthase catalyzes the methylation of deoxyuridylate to deoxythymidylate using, 10-methylenetetrahydrofolate (methylene-THF) as a cofactor. This function maintains the dTMP (thymidine-5-prime monophosphate) pool critical for DNA replication and repair. The enzyme has been of interest as a target for cancer chemotherapeutic agents. It is considered to be the primary site of action for 5-fluorouracil, 5-fluoro-2-prime-deoxyuridine, and some folate analogs. Expression of this gene and that of a naturally occurring antisense transcript, mitochondrial enolase superfamily member 1 (GeneID:55556), vary inversely when cell-growth progresses from late-log to plateau phase. Polymorphisms in this gene may be associated with etiology of neoplasia, including breast cancer, and response to chemotherapy. [provided by RefSeq, Aug 2017] |
| 应用 | 推荐稀释比例 |
| {WB} | {1:500-2000} |
| {ICC/IF} | {1:50-200} |
| {IHC-P} | {1:100-500} |
| {IHC-F} | {1:100-500} |
| {IF} | {1:100-500} |
| {Flow-Cyt} | {1:50-100} |

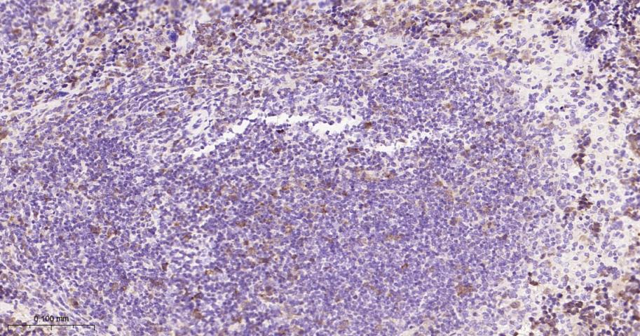
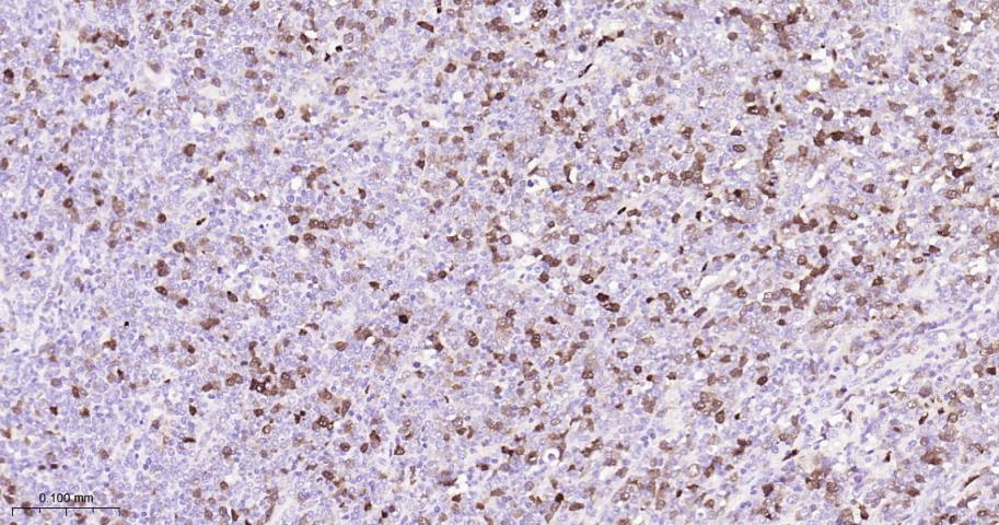
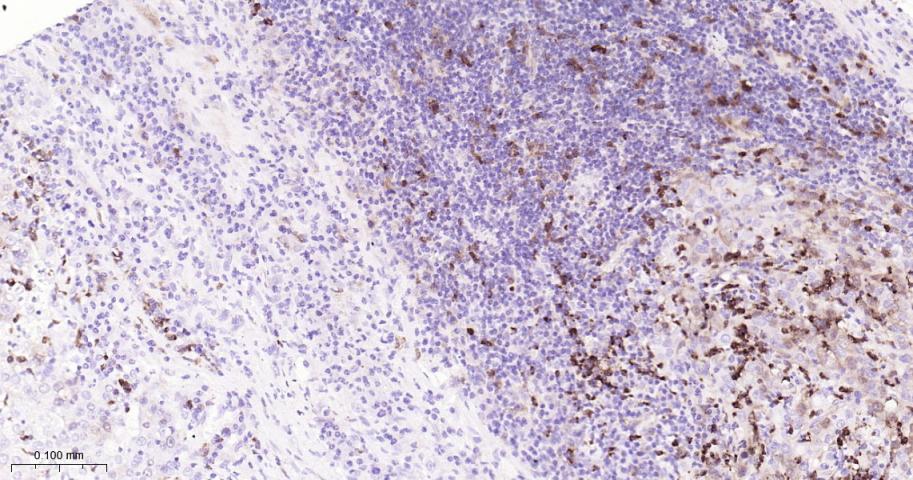
Paraformaldehyde-fixed, paraffin embedded Mouse Spleen; Antigen retrieval by boiling in sodium citrate buffer (pH6.0) for 15 min; Antibody incubation with TYMS Monoclonal Antibody, Unconjugated(bsm-60680R) at 1:200 overnight at 4°C, followed by conjugation to the bs-0295G-HRP and DAB (C-0010) staining.

Paraformaldehyde-fixed, paraffin embedded Rat Spleen; Antigen retrieval by boiling in sodium citrate buffer (pH6.0) for 15 min; Antibody incubation with TYMS Monoclonal Antibody, Unconjugated(bsm-60680R) at 1:200 overnight at 4°C, followed by conjugation to the bs-0295G-HRP and DAB (C-0010) staining.

Paraformaldehyde-fixed, paraffin embedded Human Spleen; Antigen retrieval by boiling in sodium citrate buffer (pH6.0) for 15 min; Antibody incubation with TYMS Monoclonal Antibody, Unconjugated(bsm-60680R) at 1:200 overnight at 4°C, followed by conjugation to the bs-0295G-HRP and DAB (C-0010) staining.

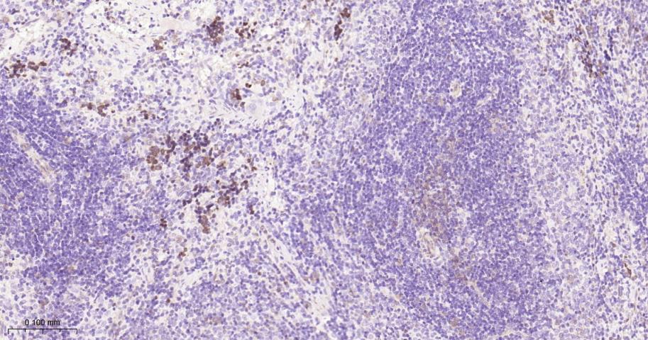
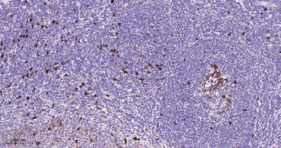
Paraformaldehyde-fixed, paraffin embedded Human Tonsil; Antigen retrieval by boiling in sodium citrate buffer (pH6.0) for 15 min; Antibody incubation with TYMS Monoclonal Antibody, Unconjugated(bsm-60680R) at 1:200 overnight at 4°C, followed by conjugation to the bs-0295G-HRP and DAB (C-0010) staining.

Paraformaldehyde-fixed, paraffin embedded Human Lymph; Antigen retrieval by boiling in sodium citrate buffer (pH6.0) for 15 min; Antibody incubation with TYMS Monoclonal Antibody, Unconjugated(bsm-60680R) at 1:200 overnight at 4°C, followed by conjugation to the bs-0295G-HRP and DAB (C-0010) staining.

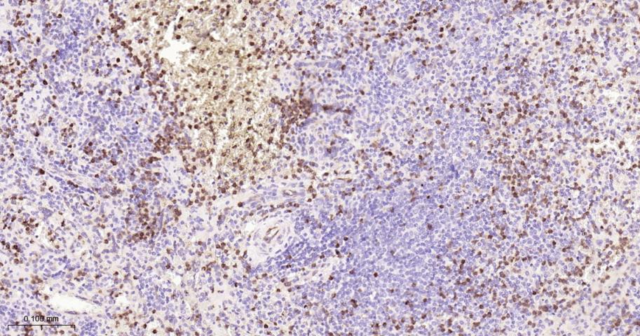
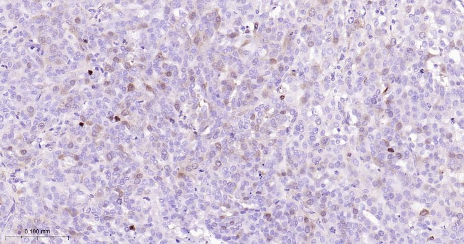
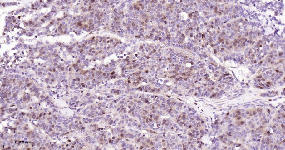
Paraformaldehyde-fixed, paraffin embedded Human Colon Cancer; Antigen retrieval by boiling in sodium citrate buffer (pH6.0) for 15 min; Antibody incubation with TYMS Monoclonal Antibody, Unconjugated(bsm-60680R) at 1:200 overnight at 4°C, followed by conjugation to the bs-0295G-HRP and DAB (C-0010) staining.

Paraformaldehyde-fixed, paraffin embedded Human Ovarian Cancer; Antigen retrieval by boiling in sodium citrate buffer (pH6.0) for 15 min; Antibody incubation with TYMS Monoclonal Antibody, Unconjugated(bsm-60680R) at 1:200 overnight at 4°C, followed by conjugation to the bs-0295G-HRP and DAB (C-0010) staining.

Paraformaldehyde-fixed, paraffin embedded Human Esophageal Cancer; Antigen retrieval by boiling in sodium citrate buffer (pH6.0) for 15 min; Antibody incubation with TYMS Monoclonal Antibody, Unconjugated(bsm-60680R) at 1:200 overnight at 4°C, followed by conjugation to the bs-0295G-HRP and DAB (C-0010) staining.

Paraformaldehyde-fixed, paraffin embedded Human Gastric Cancer; Antigen retrieval by boiling in sodium citrate buffer (pH6.0) for 15 min; Antibody incubation with TYMS Monoclonal Antibody, Unconjugated(bsm-60680R) at 1:200 overnight at 4°C, followed by conjugation to the bs-0295G-HRP and DAB (C-0010) staining.

25 ug total protein per lane of various lysates (see on figure) probed with Thymidylate synthase monoclonal antibody, unconjugated (bsm-60680R) at 1:1000 dilution and 4°C overnight incubation. Followed by conjugated secondary antibody incubation at r.t. for 60 min.
风险提示:丁香通仅作为第三方平台,为商家信息发布提供平台空间。用户咨询产品时请注意保护个人信息及财产安全,合理判断,谨慎选购商品,商家和用户对交易行为负责。对于医疗器械类产品,请先查证核实企业经营资质和医疗器械产品注册证情况。
技术资料暂无技术资料 索取技术资料
TYMS Recombinant Rabbit mAb(bsm-60680R)-50ul/100ul/25ul
¥800 - 2500





