相关产品推荐更多 >
万千商家帮你免费找货
0 人在求购买到急需产品
- 详细信息
- 技术资料
- 抗体名:
Anti-NTN3 Antibody 抗体
- 抗体英文名:
Anti-NTN3 Antibody
- 浓度:
Adding 0.2 ml of distilled water will yield a concentration of 500 μg/ml.
- 应用范围:
ELISA, ICC, IF, IHC, WB
- 宿主:
Rabbit
- 适应物种:
Human, Rat
- 保质期:
6-12个月
- 抗原来源:
详询
- 目录编号:
orb1786116
- 级别:
科研
- 库存:
99
- 供应商:
Biorbyt
- 标记物:
Unconjugated
- 克隆性:
POLYCLONAL
- 保存条件:
At -20°C for one year from date of receipt. After reconstitution, at 4°C for one month. It can also be aliquotted and stored frozen at -20°C for six months. Avoid repeated freezing and thawing.
- 形态:
Lyophilized
- 免疫原:
E.coli-derived human NTN3 recombinant protein (Position: R51-R473).
- 规格:
100 ug/10 ug
| 规格: | 100 ug | 产品价格: | ¥6760.0 |
|---|---|---|---|
| 规格: | 10 ug | 产品价格: | ¥3484.0 |
Anti-NTN3 Antibody
产品名:Anti-NTN3 Antibody
货号:orb1786116
产品中文名:Anti-NTN3 Antibody 抗体
产品详情链接:https://www.biorbyt.com/anti-ntn3-antibody-orb1786116.html
WB analysis of NTN3 using anti-NTN3 antibody.Lane 1:human RT4 cell
IF analysis of NTN3 using anti-NTN3 antibody. NTN3 was detected in an immunocytochemical section of HELA cells.
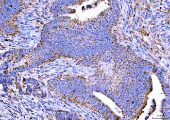
IHC analysis of NTN3 using anti-NTN3 antibody. NTN3 was detected in a paraffin-embedded section of human colorectal adenocarcinoma tissue.
风险提示:丁香通仅作为第三方平台,为商家信息发布提供平台空间。用户咨询产品时请注意保护个人信息及财产安全,合理判断,谨慎选购商品,商家和用户对交易行为负责。对于医疗器械类产品,请先查证核实企业经营资质和医疗器械产品注册证情况。
技术资料暂无技术资料 索取技术资料
Anti-NTN3 Antibody 抗体,orb1786116,Biorbyt
¥3484 - 6760










