相关产品推荐更多 >
万千商家帮你免费找货
0 人在求购买到急需产品
- 详细信息
- 技术资料
- 抗体名:
NOXO1 Antibody 抗体
- 抗体英文名:
NOXO1 Antibody
- 靶点:
NOXO1
- 浓度:
500 ug/mL
- 应用范围:
ELISA, IHC
- 宿主:
Goat
- 适应物种:
Human
- 保质期:
6-12个月
- 抗原来源:
详询
- 目录编号:
orb1247189
- 级别:
科研
- 库存:
99
- 供应商:
Biorbyt
- 标记物:
Unconjugated
- 克隆性:
POLYCLONAL
- 保存条件:
Aliquot and store at -20°C. Minimize freezing and thawing.
- 形态:
Liquid
- 免疫原:
The immunogen for this antibody is: RGCVDSVPHPTTEQ
- 规格:
0.1 mg
NOXO1 Antibody
产品名:NOXO1 Antibody
货号:orb1247189
产品中文名:NOXO1 Antibody 抗体
产品详情链接:https://www.biorbyt.com/noxo1-antibody-orb1247189.html
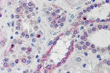
orb1247189 (10 ug/ml) staining of paraffin embedded Human Kidney. Steamed antigen retrieval with citrate buffer pH 6, AP-staining.
风险提示:丁香通仅作为第三方平台,为商家信息发布提供平台空间。用户咨询产品时请注意保护个人信息及财产安全,合理判断,谨慎选购商品,商家和用户对交易行为负责。对于医疗器械类产品,请先查证核实企业经营资质和医疗器械产品注册证情况。
技术资料暂无技术资料 索取技术资料
NOXO1 Antibody 抗体,orb1247189,Biorbyt
¥10569










