相关产品推荐更多 >
万千商家帮你免费找货
0 人在求购买到急需产品
- 详细信息
- 技术资料
- 抗体名:
Apaf1 Antibody抗体
- 抗体英文名:
Apaf1 Antibody
- 靶点:
APAF1
- 浓度:
1 mg/ml
- 应用范围:
ELISA, IHC-P, WB
- 适应物种:
Human, Mouse, Rat
- 保质期:
6-12个月
- 抗原来源:
详询
- 目录编号:
orb1240239
- 级别:
科研级
- 库存:
88
- 供应商:
biorbyt
- 标记物:
Unconjugated
- 克隆性:
Polyclonal
- 保存条件:
参考说明书
- 形态:
Liquid
- 亚型:
IgG
- 免疫原:
Apaf1 antibody was raised against a peptide corresponding to amino acids near the carboxy terminus of human Apaf1
- 规格:
0.02 mg
产品描述:Apaf1 Antibody
别名:Apaf1 Antibody: CED4, APAF-1, KIAA0413, Apoptotic protease-activating factor 1
免疫原:Apaf1 antibody was raised against a peptide corresponding to amino acids near the carboxy terminus of human Apaf1.The sequence of the 免疫原ic peptide differs from that of murine Apaf1 by one amino acid.The 免疫原 is located within the last 50 amino acids of Apaf1.
分子量:130 kDa
应用注释:Apaf1 antibody can be used for detection of Apaf1 by Western blot at 1 μg/mL. Human heart tissue lysate can be used as positive control and a 130 kDa band should be detected. Antibody can also be used for immunohistochemistry starting at 20 μg/mL. Antibody validated: Western Blot in human samples and Immunohistochemistry in human samples. All other applications and species not yet tested.
防腐剂:Apaf1 Antibody is supplied in PBS containing 0.02% sodium azide.
纯化:Apaf1 Antibody is affinity chromatography purified via peptide column.
保存说明:Maintain refrigerated at 2-8°C for up to 2 weeks. For long term storage store at -20°C in small aliquots to prevent freeze-thaw cycles.
NCBI:AAC51678
UniProt ID:O14727
Note:For research use only.


别名:Apaf1 Antibody: CED4, APAF-1, KIAA0413, Apoptotic protease-activating factor 1
免疫原:Apaf1 antibody was raised against a peptide corresponding to amino acids near the carboxy terminus of human Apaf1.The sequence of the 免疫原ic peptide differs from that of murine Apaf1 by one amino acid.The 免疫原 is located within the last 50 amino acids of Apaf1.
分子量:130 kDa
应用注释:Apaf1 antibody can be used for detection of Apaf1 by Western blot at 1 μg/mL. Human heart tissue lysate can be used as positive control and a 130 kDa band should be detected. Antibody can also be used for immunohistochemistry starting at 20 μg/mL. Antibody validated: Western Blot in human samples and Immunohistochemistry in human samples. All other applications and species not yet tested.
防腐剂:Apaf1 Antibody is supplied in PBS containing 0.02% sodium azide.
纯化:Apaf1 Antibody is affinity chromatography purified via peptide column.
保存说明:Maintain refrigerated at 2-8°C for up to 2 weeks. For long term storage store at -20°C in small aliquots to prevent freeze-thaw cycles.
NCBI:AAC51678
UniProt ID:O14727
Note:For research use only.

Western blot analysis of Apaf1 in human heart tissue lysate with Apaf1 antibody at 1 µg/mL dilution in the absence (A) or presence (B) of blocking peptide.

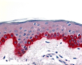
Immunohistochemistry of Apaf1 in human skin tissue with Apaf1 antibody at 20 µg/mL.
风险提示:丁香通仅作为第三方平台,为商家信息发布提供平台空间。用户咨询产品时请注意保护个人信息及财产安全,合理判断,谨慎选购商品,商家和用户对交易行为负责。对于医疗器械类产品,请先查证核实企业经营资质和医疗器械产品注册证情况。
技术资料暂无技术资料 索取技术资料
Apaf1 Antibody抗体,orb1240239,biorbyt
¥3770










