相关产品推荐更多 >
万千商家帮你免费找货
0 人在求购买到急需产品
- 详细信息
- 文献和实验
- 技术资料
- 抗体名:
HSF1 Antibody抗体
- 抗体英文名:
HSF1 Antibody
- 靶点:
HSF1
- 浓度:
1 mg/ml
- 应用范围:
ELISA, Enzyme Assay, ICC, IF, IHC, IP, WB
- 宿主:
Rat
- 适应物种:
Bovine, Guinea pig, Hamster, Human, Monkey, Mouse, Rabbit, Rat
- 保质期:
6-12个月
- 抗原来源:
详询
- 目录编号:
orb1822498
- 级别:
科研级
- 库存:
88
- 供应商:
biorbyt
- 标记物:
Unconjugated
- 克隆性:
Monoclonal
- 亚型:
IgG1
- 免疫原:
Purified recombinant mouse HSF1 protein, with epitope mapping to amino acids 378-395
- 规格:
100 ug
别名:HSF1, Heat shock factor protein 1, Heat shock transcription factor 1, HSTF1, HSF 1
免疫原:Purified recombinant mouse HSF1 protein, with epitope mapping to amino acids 378-395
克隆性:10H8
分子量:95kDa
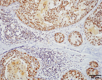
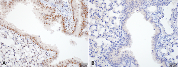
应用稀释比例:WB (1:1000), IHC (1:1000), ICC/IF (1:200); optimal dilutions for assays should be determined by the user.
应用注释:1 µg/ml of SMC-118 was sufficient for detection of HSF1 in 20 µg of heat shocked HeLa cell lysate by ECL immunoblot analysis using Goat anti-rat IgG: HRP as the secondary antibody
防腐剂:PBS pH 7.4, 50% glycerol, 0.09% sodium azide *Storage buffer changes when conjugated
纯化:Protein G Purified
保存说明:Maintain refrigerated at 2-8°C for up to 2 weeks. For long term storage store at -20°C in small aliquots to prevent freeze-thaw cycles.
NCBI:NP_032322.1
Entrez:15499
UniProt ID:P38532
Note:For research use only.






风险提示:丁香通仅作为第三方平台,为商家信息发布提供平台空间。用户咨询产品时请注意保护个人信息及财产安全,合理判断,谨慎选购商品,商家和用户对交易行为负责。对于医疗器械类产品,请先查证核实企业经营资质和医疗器械产品注册证情况。
文献和实验Targeted Deletion of Hsf1, 2, and 4 Genes in Mice
Heat-shock transcription factors (Hsfs) regulate transcription of heat-shock proteins as well as other genes whose promoters contain heat-shock elements. There are at least five Hsfs in mammalian cells, Hsf1, Hsf2, Hsf3, Hsf4, and Hsfy
躺平减肥要成真了!中国团队发现局部热疗可激活米色脂肪助力安全减肥,登顶 Cell 封面
杂志上发表了题为 Local Hyperthermia Therapy Induces Browning of White Fat and Treats Obesity 的研究论文,他们系统研究了米色脂肪局部热疗在产热和脂肪代谢中的作用,并阐明了其可通过 HSF1-A2b1 转录轴发挥作用的分子机制,这一研究成果将为治疗肥胖和代谢性疾病提供新的策略。 图片来源:Cell 主要研究内容 热疗在体外和体内诱导产热 为了测试米色脂肪细胞是否能够以细胞自主的方式感知高温,他们将米色脂肪细胞置于
别再颠倒作息了!昼夜节律紊乱增加癌症风险,科学家发现这可能与体温调节有关
机制仍然知之甚少。 2022 年 9 月 28 日,来自美国斯克里普斯研究所的研究团队在 Science Advances 发表了题为 Circadian disruption enhances HSF1 signaling and tumorigenesis in Kras-driven lung cancer 的文章。该研究表明昼夜节律紊乱改变了小鼠肝脏和肺部的基因表达,并使小鼠生长的肿瘤更多,并发现热休克因子 1(HSF1)信号的慢性升高可能是昼夜节律紊乱和癌症风险增加之间的关键分子桥梁
技术资料暂无技术资料 索取技术资料











