相关产品推荐更多 >
万千商家帮你免费找货
0 人在求购买到急需产品
- 详细信息
- 技术资料
- 抗体名:
P53 Recombinant Rabbit Monoclonal Antibody抗体
- 抗体英文名:
P53 Recombinant Rabbit Monoclonal Antibody
- 靶点:
TP53
- 浓度:
1mg/ml
- 应用范围:
FC, ICC, IF, IHC-Fr, IHC-P, WB
- 宿主:
Rabbit
- 适应物种:
Human
- 保质期:
6-12个月
- 抗原来源:
详询
- 目录编号:
orb1816720
- 级别:
科研级
- 库存:
88
- 供应商:
biorbyt
- 标记物:
Unconjugated
- 克隆性:
Recombinant
- 形态:
Liquid
- 亚型:
IgG
- 免疫原:
A synthesized peptide derived from human p53 (360-393aa)
- 规格:
25 ul
产品描述:P53 Recombinant Rabbit Monoclonal Antibody
别名:P53_HUMAN; Cellular tumor antigen p53; TP53; Antigen NY-CO-13;Phosphoprotein p53; Tumor suppressor p53; tumor protein p53; BCC7; LFS1; BMFS5; TRP53; P 53; P-53; wt-p53; Widespread p53; Wtp53; Wt p53;
免疫原:A synthesized peptide derived from human p53 (360-393aa)
克隆性:3H6
分子量:43 kDa
应用稀释比例:WB=1:2000-20000, IHC-P=1:200-1000, IF=1:200-1000, IHC-F=1:200-1000, Flow-Cyt=1ug/Test, ICC/IF=1:100-500
防腐剂:PBS, Glycerol, rAlbumin.
纯化:Affinity purified by Protein A
保存说明:Maintain refrigerated at 2-8°C for up to 2 weeks. For long term storage store at -20°C in small aliquots to prevent freeze-thaw cycles.
UniProt ID:P04637
Note:For research use only.



别名:P53_HUMAN; Cellular tumor antigen p53; TP53; Antigen NY-CO-13;Phosphoprotein p53; Tumor suppressor p53; tumor protein p53; BCC7; LFS1; BMFS5; TRP53; P 53; P-53; wt-p53; Widespread p53; Wtp53; Wt p53;
免疫原:A synthesized peptide derived from human p53 (360-393aa)
克隆性:3H6
分子量:43 kDa
应用稀释比例:WB=1:2000-20000, IHC-P=1:200-1000, IF=1:200-1000, IHC-F=1:200-1000, Flow-Cyt=1ug/Test, ICC/IF=1:100-500
防腐剂:PBS, Glycerol, rAlbumin.
纯化:Affinity purified by Protein A
保存说明:Maintain refrigerated at 2-8°C for up to 2 weeks. For long term storage store at -20°C in small aliquots to prevent freeze-thaw cycles.
UniProt ID:P04637
Note:For research use only.

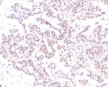
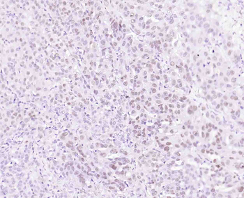
paraffin embedded (human breast carcinoma), Antigen retrieval by boiling in sodium citrate buffer (pH6.0) for 15 min, Block endogenous peroxidase by 3% hydrogen peroxide for 20 minutes, Blocking buffer (normal goat serum) at 37°C for 30 min, Incubation with (p53) Monoclonal Antibody, Unconjugated (orb1816720) at 1:500 overnight at 4°C, followed by operating according to SP Kit (Rabbit) instructionsand DAB staining.

Fixative-fixed, paraffin embedded (human lung carcinoma), Antigen retrieval by boiling in EDTA buffer (pH9.0) for 15 min, Block endogenous peroxidase by 3% hydrogen peroxide for 20 minutes, Blocking buffer (normal goat serum) at 37°C for 30 min, Incubation with (p53) Monoclonal Antibody, Unconjugated (orb1816720) at 1:200 overnight at 4°C, followed by operating according to SP Kit (Rabbit) instructionsand DAB staining.

Fixative-fixed, paraffin embedded (Human ovarian cancer), Antigen retrieval by boiling in EDTA buffer (pH9.0) for 15 min, Block endogenous peroxidase by 3% hydrogen peroxide for 20 minutes, Blocking buffer (normal goat serum) at 37°C for 30 min, Incubation with (p53) Monoclonal Antibody, Unconjugated (orb1816720) at 1:200 overnight at 4°C, followed by operating according to SP Kit (Rabbit) instructionsand DAB staining.
风险提示:丁香通仅作为第三方平台,为商家信息发布提供平台空间。用户咨询产品时请注意保护个人信息及财产安全,合理判断,谨慎选购商品,商家和用户对交易行为负责。对于医疗器械类产品,请先查证核实企业经营资质和医疗器械产品注册证情况。
技术资料暂无技术资料 索取技术资料
P53 Recombinant Rabbit Monoclonal Antibody抗体,orb1816720,biorbyt
¥2210









