相关产品推荐更多 >
万千商家帮你免费找货
0 人在求购买到急需产品
- 详细信息
- 技术资料
- 抗体名:
ARID1A/BAF250 Antibody 抗体
- 抗体英文名:
ARID1A/BAF250 Antibody
- 靶点:
ARID1A/BAF250
- 浓度:
50 µg/ml
- 应用范围:
FC, ICC, IHC, IP, WB
- 宿主:
Rabbit
- 适应物种:
Human, Mouse
- 保质期:
6-12个月
- 抗原来源:
详询
- 目录编号:
orb1806458
- 级别:
科研
- 库存:
99
- 供应商:
Biorbyt
- 标记物:
Unconjugated
- 克隆性:
RECOMBINANT
- 保存条件:
Shelf Life: 1 year from date of receipt, Storage: 2 - 8°C
- 形态:
Whole IgG
- 免疫原:
between 750 and 800
- 规格:
10 ul
ARID1A/BAF250 Antibody
产品名:ARID1A/BAF250 Antibody
货号:orb1806458
产品中文名:ARID1A/BAF250 Antibody 抗体
产品详情链接:https://www.biorbyt.com/arid1abaf250-antibody-orb1806458.html
Detection of mouse ARID1A/BAF250 by western blot. Samples: Whole cell lysate (50 µg) from F9, NIH 3T3, A20, CH27, and ND7/23 cells prepared using NETN lysis buffer. Antibody: Rabbit anti-ARID1A/BAF250 recombinant monoclonal antibody (orb1806458) used at 1:1000. Secondary: HRP-conjugated goat anti-rabbit IgG. Detection: Chemiluminescence with an exposure time of 30 seconds. Lower Panel: Rabbit anti-Actin recombinant monoclonal antibody.
Detection of human ARID1A/BAF250 by western blot. Samples: Whole cell lysate (50 µg) from HEK293T, MCF-7, RKO, Jurkat, and Hep-G2 cells prepared using NETN lysis buffer. Antibody: Rabbit anti-ARID1A/BAF250 recombinant monoclonal antibody (orb1806458) used at 1:1000. Secondary: HRP-conjugated goat anti-rabbit IgG. Detection: Chemiluminescence with an exposure time of 75 seconds. Lower Panel: Rabbit anti-Actin recombinant monoclonal antibody.
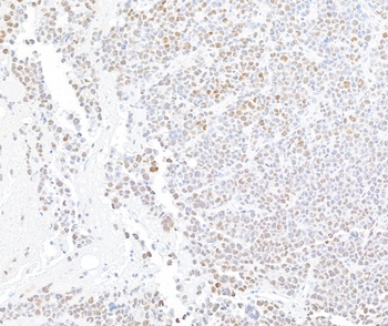
Detection of human ARID1A/BAF250 by immunohistochemistry. Sample: FFPE section of prostate carcinoma. Antibody: Rabbit anti-ARID1A recombinant monoclonal antibody (orb1806458). Secondary: HRP-conjugated goat anti-rabbit IgG.
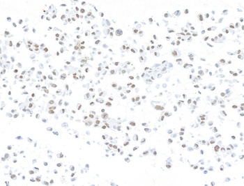
Detection of mouse ARID1A/BAF250 by immunohistochemistry. Sample: FFPE section of mouse plasmacytoma. Antibody: Rabbit anti-ARID1A recombinant monoclonal antibody (orb1806458). Secondary: HRP-conjugated goat anti-rabbit IgG.
Detection of human ARID1A/BAF250 (shaded) in HT-29 cells by flow cytometry. Antibody: Rabbit anti-ARID1A recombinant monoclonal antibody (orb1806458) or isotype control (unshaded). Secondary: DyLight® 650-conjugated goat anti-rabbit IgG.
Detection of mouse ARID1A/BAF250 (shaded) in EL4 cells by flow cytometry. Antibody: Rabbit anti- ARID1A recombinant monoclonal antibody (orb1806458) or isotype control (unshaded). Secondary: DyLight® 650-conjugated goat anti-rabbit IgG.
Detection of human ARID1A/BAF250 by western blot of immunoprecipitates. Samples: Whole cell lysate (1 mg per IP
Detection of human ARID1A/BAF250 by immunocytochemistry. Sample: FFPE section of OVCAR-8 cells. Antibody: Rabbit anti-ARID1A recombinant monoclonal antibody (orb1806458). Secondary: HRP-conjugated goat anti-rabbit IgG.
Detection of mouse ARID1A/BAF250 by immunocytochemistry. Sample: FFPE section of mouse mIMCD-3 cells. Antibody: Rabbit anti-ARID1A recombinant monoclonal antibody (orb1806458). Secondary: HRP-conjugated goat anti-rabbit IgG.
风险提示:丁香通仅作为第三方平台,为商家信息发布提供平台空间。用户咨询产品时请注意保护个人信息及财产安全,合理判断,谨慎选购商品,商家和用户对交易行为负责。对于医疗器械类产品,请先查证核实企业经营资质和医疗器械产品注册证情况。
技术资料暂无技术资料 索取技术资料
ARID1A/BAF250 Antibody 抗体,orb1806458,Biorbyt
¥2990










