相关产品推荐更多 >
万千商家帮你免费找货
0 人在求购买到急需产品
- 详细信息
- 技术资料
- 抗体名:
p16INK4a Antibody 抗体
- 抗体英文名:
p16INK4a Antibody
- 靶点:
p16INK4a
- 浓度:
100 µg/ml
- 应用范围:
FC, ICC, IHC, WB
- 宿主:
Mouse
- 适应物种:
Human
- 保质期:
6-12个月
- 抗原来源:
详询
- 目录编号:
orb1806435
- 级别:
科研
- 库存:
99
- 供应商:
Biorbyt
- 标记物:
Unconjugated
- 克隆性:
RECOMBINANT
- 保存条件:
Shelf Life: 1 year from date of receipt, Storage: 2 - 8°C
- 形态:
Whole IgG
- 免疫原:
Human p16 INK4A
- 规格:
10 ul
p16INK4a Antibody
产品名:p16INK4a Antibody
货号:orb1806435
产品中文名:p16INK4a Antibody 抗体
产品详情链接:https://www.biorbyt.com/p16ink4a-antibody-orb1806435.html
Detection of human p16INK4a by western blot. Samples: Whole cell lysate (50 µg) from SK-MEL-28, HeLa, OVCAR-3, and OVCAR-8 cells prepared using NETN lysis buffer. Antibody: Rabbit anti-p16INK4a recombinant monoclonal antibody [BC42] (orb1806435) used at 1:1000. Secondary: HRP-conjugated goat anti-rabbit IgG. Detection: Chemiluminescence with an exposure time of 30 seconds. Lower Panel: Rabbit anti-Actin recombinant monoclonal antibody.
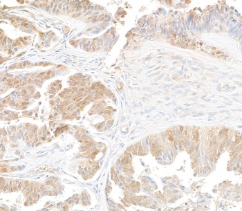
Detection of human p16INK4a by immunohistochemistry. Sample: FFPE section of ovarian carcinoma. Antibody: Mouse anti-p16INK4a recombinant monoclonal antibody [BC42] (orb1806435). Secondary: HRP-conjugated goat anti-mouse IgG.
Detection of human p16INK4a (shaded) in HeLa cells by flow cytometry. Antibody: Mouse anti-p16INK4a recombinant monoclonal antibody [BC42] (orb1806435) or isotype control (unshaded). Secondary: DyLight® 650-conjugated goat anti-mouse IgG.
Detection of human p16INK4a by immunocytochemistry. Sample: FFPE section of OVCAR-8 cells. Antibody: Mouse anti-p16INK4a recombinant monoclonal antibody [BC42] (orb1806435). Secondary: HRP-conjugated goat anti-mouse IgG.
风险提示:丁香通仅作为第三方平台,为商家信息发布提供平台空间。用户咨询产品时请注意保护个人信息及财产安全,合理判断,谨慎选购商品,商家和用户对交易行为负责。对于医疗器械类产品,请先查证核实企业经营资质和医疗器械产品注册证情况。
技术资料暂无技术资料 索取技术资料
p16INK4a Antibody 抗体,orb1806435,Biorbyt
¥2990









