相关产品推荐更多 >
万千商家帮你免费找货
0 人在求购买到急需产品
- 详细信息
- 技术资料
- 抗体名:
Cytokeratin 14 Antibody 抗体
- 抗体英文名:
Cytokeratin 14 Antibody
- 靶点:
Cytokeratin 14
- 浓度:
100 µg/ml
- 应用范围:
FC, ICC, IHC, IP, WB
- 宿主:
Mouse
- 适应物种:
Human
- 保质期:
6-12个月
- 抗原来源:
详询
- 目录编号:
orb1806434
- 级别:
科研
- 库存:
99
- 供应商:
Biorbyt
- 标记物:
Unconjugated
- 克隆性:
RECOMBINANT
- 保存条件:
Shelf Life: 1 year from date of receipt, Storage: 2 - 8°C
- 形态:
Whole IgG
- 免疫原:
Human Cytokeratin 14 (C terminal)
- 规格:
100 ul
Cytokeratin 14 Antibody
产品名:Cytokeratin 14 Antibody
货号:orb1806434
产品中文名:Cytokeratin 14 Antibody 抗体
产品详情链接:https://www.biorbyt.com/cytokeratin-14-antibody-orb1806434.html
Detection of human Cytokeratin 14 by western blot. Samples: Whole cell lysate (25 µg) from A-431, HCT 116, MCF-10A, MCF-7, and HaCaT cells prepared using NETN lysis buffer. Antibody: Rabbit anti-Cytokeratin 14 recombinant monoclonal antibody [LL002] (orb1806434) used at 1:1000. Secondary: HRP-conjugated goat anti-rabbit IgG. Detection: Chemiluminescence with an exposure time of 3 seconds. Lower Panel: Rabbit anti-Actin recombinant monoclonal antibody.
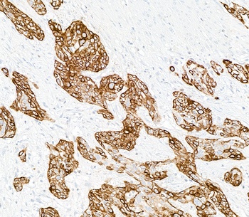
Detection of human Cytokeratin 14 by immunohistochemistry. Sample: FFPE section of bladder carcinoma. Antibody: Mouse anti-Cytokeratin 14 recombinant monoclonal antibody [LL002] (orb1806434). Secondary: HRP-conjugated goat anti-mouse IgG.
Detection of human Cytokeratin 14 (shaded) in FaDu cells by flow cytometry. Antibody: Mouse anti-Cytokeratin 14 recombinant monoclonal antibody [LL002] (orb1806434) or isotype control (unshaded). Secondary: DyLight® 650-conjugated goat anti-mouse IgG.
Detection of human Cytokeratin 14 by western blot of immunoprecipitates. Samples: Whole cell lysate (1 mg per IP
Detection of human Cytokeratin 14 by immunocytochemistry. Sample: FFPE section of CAL-27 cells. Antibody: Mouse anti-Cytokeratin 14 recombinant monoclonal antibody [LL002] (orb1806434). Secondary:HRP-conjugated goat anti-mouse IgG.
风险提示:丁香通仅作为第三方平台,为商家信息发布提供平台空间。用户咨询产品时请注意保护个人信息及财产安全,合理判断,谨慎选购商品,商家和用户对交易行为负责。对于医疗器械类产品,请先查证核实企业经营资质和医疗器械产品注册证情况。
技术资料暂无技术资料 索取技术资料
Cytokeratin 14 Antibody 抗体,orb1806434,Biorbyt
¥9035










