相关产品推荐更多 >

GABBR2 Antibody (C-term) 抗体,orb1939101,Biorbyt
¥7293
T106C rabbit pAb抗体,orb773516,biorbyt
¥3250
Phospho-LIMK1 (Thr508) + LIMK2 (Thr505) Rabbit Polyclonal Antibody抗体,orb6315,biorbyt
¥3120
KCTD16 Antibody - N-terminal region : Biotin 抗体,orb2101630,Biorbyt
¥8216
RFTN2 Antibody - N-terminal region : Biotin 抗体,orb2108860,Biorbyt
¥8216
万千商家帮你免费找货
0 人在求购买到急需产品
- 详细信息
- 技术资料
- 抗体名:
IgM Antibody 抗体
- 抗体英文名:
IgM Antibody
- 靶点:
IgM
- 浓度:
100 µg/ml
- 应用范围:
FC, ICC, IHC, IP, WB
- 宿主:
Rabbit
- 适应物种:
Human, Mouse
- 保质期:
6-12个月
- 抗原来源:
详询
- 目录编号:
orb1806431
- 级别:
科研
- 库存:
99
- 供应商:
Biorbyt
- 标记物:
Unconjugated
- 克隆性:
RECOMBINANT
- 保存条件:
Shelf Life: 1 year from date of receipt, Storage: 2 - 8°C
- 形态:
Whole IgG
- 免疫原:
Human IgM
- 规格:
100 ul
IgM Antibody
产品名:IgM Antibody
货号:orb1806431
产品中文名:IgM Antibody 抗体
产品详情链接:https://www.biorbyt.com/igm-antibody-orb1806431.html
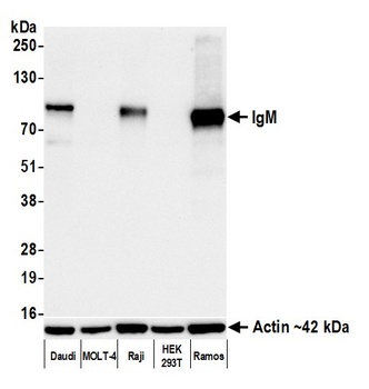
Detection of human IgM by western blot. Samples: Whole cell lysate (10 µg) from Daudi, MOLT-4, Raji, HEK293T, and Ramos cells prepared using NETN lysis buffer. Antibody: Rabbit anti-IgM recombinant monoclonal antibody (orb1806431) used at 1:1000. Secondary: HRP-conjugated goat anti-rabbit IgG. Detection: Chemiluminescence with an exposure time of 10 seconds. Lower Panel: Rabbit anti-Actin recombinant monoclonal antibody.
Detection of mouse IgM by western blot. Samples: Whole cell lysate (50 µg) from NIH 3T3, WEHI-231, CT26, CH27, and TCMK-1 cells prepared using NETN lysis buffer. Antibody: Rabbit anti-IgM recombinant monoclonal antibody (orb1806431) used at 1:1000. Secondary: HRP-conjugated goat anti-rabbit IgG. Detection: Chemiluminescence with an exposure time of 1 second. Lower Panel: Rabbit anti-Actin recombinant monoclonal antibody.
Detection of human IgM by immunohistochemistry. Sample: FFPE section of tonsil. Antibody: Rabbit anti-IgM recombinant monoclonal antibody (orb1806431). Secondary: HRP-conjugated goat anti-rabbit IgG.
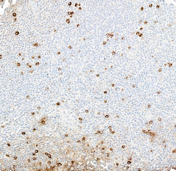
Detection of human IgM by immunohistochemistry. Sample: FFPE section of B-cell lymphoma. Antibody: Rabbit anti-IgM recombinant monoclonal antibody (orb1806431). Secondary: HRP-conjugated goat anti-rabbit IgG.
Detection of human IgM (shaded) in Raji cells by flow cytometry. Antibody: Rabbit anti-IgM recombinant monoclonal antibody (orb1806431) or isotype control (unshaded). Secondary: DyLight® 650-conjugated goat anti-rabbit IgG.
Detection of human IgM by western blot of immunoprecipitates. Samples: Whole cell lysate (1.0 mg per IP reaction
Detection of human IgM by immunocytochemistry. Sample: FFPE section of Daudi cells. Antibody: Rabbit anti-IgM recombinant monoclonal antibody (orb1806431). Secondary: HRP-conjugated goat anti-rabbit IgG.
Detection of mouse IgM by immunocytochemistry. Sample: FFPE section of WEHI-231 cells. Antibody: Rabbit anti-IgM recombinant monoclonal antibody (orb1806431). Secondary: HRP-conjugated goat anti-rabbit IgG.
风险提示:丁香通仅作为第三方平台,为商家信息发布提供平台空间。用户咨询产品时请注意保护个人信息及财产安全,合理判断,谨慎选购商品,商家和用户对交易行为负责。对于医疗器械类产品,请先查证核实企业经营资质和医疗器械产品注册证情况。
技术资料暂无技术资料 索取技术资料
IgM Antibody 抗体,orb1806431,Biorbyt
¥9035





