相关产品推荐更多 >
万千商家帮你免费找货
0 人在求购买到急需产品
- 详细信息
- 询价记录
- 文献和实验
- 技术资料
- 库存:
量大从优
- 保质期:
1年
- 供应商:
上海领骏生物
全血基因组DNA提取试剂(磁珠法)
| 产品编号 | 产品名称 | 规格型号 |
|
231006 | 全血基因组DNA提取试剂(磁珠法) | 瓶装:50T/盒、100T/盒、200T/盒 |
| 预分装A:64T/盒、96T/盒、128T/盒 | ||
| 预分装B:96T/盒 |
【产品简介】
全血样本在胍盐作用下细胞被裂解并释放出核酸,通过磁珠的特异性吸附将核酸与样本中的其他杂质分离开来,再经洗涤液漂洗,去除蛋白、残留的胍盐等,最后经过洗脱,得到纯化好的核酸,适用于人全血基因组DNA的提取,所获得的核酸产物可用于PCR、核酸检测分析、体外诊断、基因突变检测和测序等。
【产品优势】
- 对于难裂解的样本(血块等)也可以实现裂解结合一步进行,不需要中间暂停加入其他试剂
- 提取的基因组DNA纯度好、产量高、电泳条带完整
- 提取过程中不需要加入蛋白酶K,可以实现常温运输及储存
- 提取效率高,整个提取过程需要15min左右
- 使用过程安全,产品中不含酚、氯仿等有害试剂
- 适用性强,可以配合不同厂家的自动化核酸提取设备
【实验案例】
案例1:
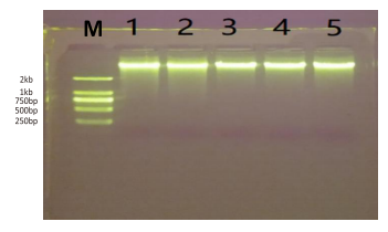
同一批次试剂提取不同健康人新鲜血样的实验结果:
| 样本序号 | 样本 | A260/A280 | A260/A230 | Conc.(ng/µL) |
| 1 | 1号血样 | 1.80 | 1.89 | 75.7 |
| 2 | 2号血样 | 1.89 | 1.89 | 73.9 |
| 3 | 3号血样 | 1.83 | 1.93 | 68.2 |
| 4 | 4号血样 | 1.82 | 1.90 | 67.9 |
| 5 | 5号血样 | 1.84 | 1.99 | 59.1 |
电泳图如下:
结果分析:试剂的提取效果很好(提取产物纯度好、浓度高、电泳条带完整)
案例2:
不同批次试剂提取同一猪血样本的实验结果:
|
试剂批号 |
A260/A280 |
A260/A230 |
Conc.(ng/µL) |
|
批次1 |
1.87 |
1.90 |
157.5 |
|
批次1 |
1.87 |
1.96 |
137.9 |
|
平均值 |
1.87 |
1.93 |
147.7 |
|
批次2 |
1.88 |
1.92 |
132.6 |
|
批次2 |
1.88 |
1.99 |
140.4 |
|
平均值 |
1.88 |
1.96 |
136.5 |
|
批次3 |
1.89 |
1.95 |
141.2 |
|
批次3 |
1.89 |
1.91 |
141.7 |
|
平均值 |
1.89 |
1.93 |
141.4 |
|
批间平均值 |
1.88 |
1.94 |
141.87 |
|
批间CV值 |
0.4% |
0.7% |
3.2% |
结果分析:提取试剂批次间差异小、稳定性好。
案例3:
不同批次试剂提取同一猪血样本的实验结果:
|
试剂批号 |
A260/A280 |
A260/A230 |
Conc.(ng/μL) |
|
批次1 |
1.952 |
2.061 |
144.85 |
|
1.96 |
2.061 |
116.55 | |
|
1.93 |
2.018 |
149.3 | |
|
平均值 |
1.947 |
2.046 |
136.9 |
|
批次2 |
1.952 |
1.987 |
137.45 |
|
1.947 |
1.983 |
137.9 | |
|
1.945 |
2.024 |
148.45 | |
|
平均值 |
1.948 |
1.998 |
141.267 |
|
批间平均值 |
1.948 |
2.022 |
139.084 |
|
批间CV值 |
0.02% |
1.1% |
1.5% |
结果分析:提取试剂批次间差异小、稳定性好。
【应用领域】
本试剂盒提取纯化的核酸适用于酶切、PCR、文库构建、Southern杂交等各种常规实验,和芯片杂交、高通量测序等。
结果分析:由上表可以看出,提取试剂批次间差异小。
风险提示:丁香通仅作为第三方平台,为商家信息发布提供平台空间。用户咨询产品时请注意保护个人信息及财产安全,合理判断,谨慎选购商品,商家和用户对交易行为负责。对于医疗器械类产品,请先查证核实企业经营资质和医疗器械产品注册证情况。
- 作者
- 内容
- 询问日期
文献和实验血液/组织/细胞基因组DNA提取试剂盒操作指南(DP304)——抗凝全血
以下操作按照天根产品 DP304 血液/组织/细胞基因组 DNA 提取试剂盒的说明书进行,所有反应现象仅适用于该产品及本文所标明的样本量。如使用其它操作流程或产品,样本量不同可能现象与本文有所差异。一、实验准备:1.抗凝血 300 μl~1ml 抗凝全血2.自备试剂:无水乙醇 ;红细胞裂解液(目录号:RT122);3.移液器及配套无菌枪头(200 μl ,1ml); 1.5 ml 离心管4.涡旋振荡器 金属浴/水浴 台式离心机备注:本实验以人血为例,如提取哺乳动物全血
以下操作按照天根产品 DP305 植物基因组 DNA 提取试剂盒的说明书进行,所有反应现象仅适用于该产品及本文所标明的样本量。如使用其它操作流程或产品,样本量不同可能现象与本文有所差异。实验准备:1. 植物叶片 研钵 液氮2. 无水乙醇 巯基乙醇3. 移液器及配套无菌枪头(10 μl, 200 μl ,1ml),1.5 ml离心管4. 涡旋振荡器,金属浴/水浴,实验准备-试剂盒准备1:使用前先在漂洗液PW和GD中加入无水乙醇,加入体积请参照瓶上的标签。实验准备-试剂盒准备2:准备实验时,将缓冲
血液/组织/细胞基因组DNA提取试剂盒操作指南(DP304)——动物组织
以下操作按照天根产品 DP304 血液/组织/细胞基因组 DNA 提取试剂盒的说明书进行,所有反应现象仅适用于该产品及本文所标明的样本量。如使用其它操作流程或产品,样本量不同可能现象与本文有所差异。实验准备:1. 大鼠肝脏10-30 mg 研磨器2. 移液器及配套无菌枪头(10 μl, 200 μl ,1ml),1.5 ml 离心管3. PBS溶液,无水乙醇4. 涡旋振荡器,金属浴/水浴,台式离心机实验准备-试剂盒准备使用前先在漂洗液PW和GD中加入无水乙醇,加入体积请参照瓶上的标签。本文
技术资料暂无技术资料 索取技术资料










