万千商家帮你免费找货
0 人在求购买到急需产品
- 详细信息
- 询价记录
- 技术资料
- 库存:
1
- 国食药监械注册号:
无
- 保修期:
1年
- 现货状态:
现货
- 供应商:
上海然哲仪器设备有限公司
- 规格:
RZ000010119
产品概述
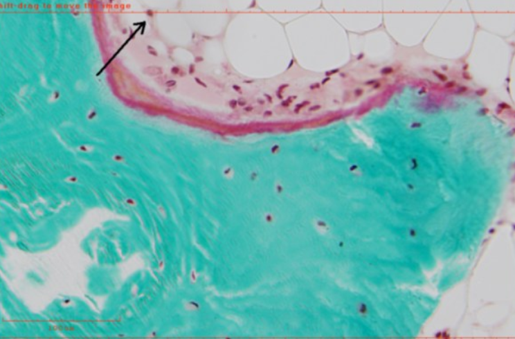
骨组织形态学分析系统可定量分析常用的骨骼重建静态和动态参数,自动计算超过340个骨参数,从细胞生物学角度解释骨组织形态结构变化的原因及过程。提供骨组织微结构、细胞活性和骨代谢动力学的精确数据。广泛应用于骨质疏松研究、代谢性骨病研究、骨再生与组织功能研究、关节炎、类风湿性关节炎、口腔医学研究、药物开发等领域。

主要参数(部分):
|
成骨细胞数量 |
N.Ob |
计数 |
|
破骨细胞数量 |
N.OC |
计数 |
|
细胞核数量 |
N.Nc |
计数 |
|
骨细胞数量 |
N.Ot |
计数 |
|
矿化数量 |
N.Md |
计数 |
|
成骨细胞每单位骨周长的成骨细胞数量 |
N.Ob/B.Pm |
计算 |
|
类骨质表面/骨表面 |
OS/BS |
计算 |
|
成骨细胞表面/骨表面 |
Ob.S/BS |
计算 |
|
每单位骨周长的破骨细胞数 |
N.Oc/B.Pm |
计算 |
|
破骨细胞数量与骨周长比 |
N.Oc/B.Pm |
计算 |
|
矿化沉积率 |
MAR |
计算 |
|
矿化表面/骨表面 |
MS/BS |
计算 |
|
侵蚀表面/骨表面 |
ES/BS |
计算 |
|
骨形成率/骨表面 |
BFR/BS |
计算 |
|
矿化面积 |
Md.Ar |
计算 |
|
激活频率 |
Ac.f |
计算 |
|
破骨细胞面积与骨表面比 |
Oc.S/BS |
计算 |
|
骨单位矿化周长 |
On.M.Pm |
计算 |
|
骨膜下矿化周长 |
Ps.M.Pm |
计算 |
|
骨单位类骨表面 |
On.OS/BS |
计算 |
|
破骨细胞表面与骨表面比 |
Oc.S/BS |
计算 |
|
骨体积/组织体积 |
BV/TV |
计算 |
|
骨小梁厚度 |
Tb.Th |
计算 |
|
骨小梁数量 |
Tb.N |
计算 |
|
骨小梁分离度 |
Tb.Sp |
计算 |
产品特征
- 专业性:专为骨形态学研究设计
- 标准型:基于ASBMR命名法则
- 灵活性:用于您需要的地方
- 直观性:追踪您所看到的
- 多功能性:用户自定义配置
- 可升级型:所有硬件可用于下一代系统
- 广受欢迎:用户覆盖世界各地知名大学和研究机构
- 经验证:符合GLP规范
应用领域
广泛应用于:
- 骨质疏松研究
- 代谢性骨病研究
- 骨再生与组织功能研究
- 关节炎、类风湿性关节炎研究
- 口腔医学研究
- 药物开发
风险提示:丁香通仅作为第三方平台,为商家信息发布提供平台空间。用户咨询产品时请注意保护个人信息及财产安全,合理判断,谨慎选购商品,商家和用户对交易行为负责。对于医疗器械类产品,请先查证核实企业经营资质和医疗器械产品注册证情况。
- 作者
- 内容
- 询问日期
技术资料暂无技术资料 索取技术资料
骨组织形态分析系统
询价









