相关产品推荐更多 >
万千商家帮你免费找货
0 人在求购买到急需产品
- 详细信息
- 技术资料
- 供应商:
上海联祖
- 库存:
52
- 规格:
1*125ml 500ml
| 产品名称 | 规格 | 货号 |
| WSU-HN30 细胞专用培养基 | 1*125ml 500ml | LZ-PX11437 |
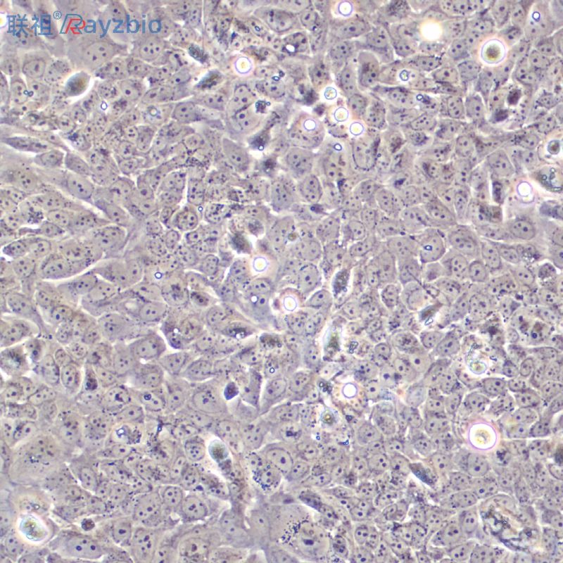
WSU-HN30细胞专用培养基由团队精心优化,经过长期测试,本产品可保持WSU-HN30细胞最佳的生长状态。
本产品中已包含 WSU-HN30细胞生长所需的各种成分,无需添加任何成分,可直接用于WSU-HN30 细胞的培养。
产品主要成分
DMEM 基础培养基 445 mL
特级胎牛血清 50 mL
P/S青霉素-链霉素 5 mL
运输和保存
运输:放置于含有生物冰袋的保温箱中低温运输
保存方法:2℃~8℃,避光,保存2个月;-20℃,避光,保存6个月。
干冰运输及复苏好存活细胞
(1)1mL冻存管包装干冰运输,收到后-80度冰箱保存过夜后转入液氮或直接复苏,若发现干冰已挥发干净、冻存管瓶盖脱落、破损及细胞有污染,请立即与我们联系。
(2)T25瓶复苏的存活细胞常温发货,收到后按照细胞接收后的处理方法操作。
| C10orf81: 10号染色体开放阅读框81抗体 0.2ml | shank-1抗体 Anti-Shank1 0.1ml |
| Rhesus antibody Rh c-Maf 原癌基因cMAF抗体 规格 0.2ml | 大鼠气管上皮细胞;RTE |
| CD8 大鼠CD8分子Multi-class antibodies规格: 48T | CM-H136人牙周膜成纤维细胞完全培养基100mL |
| PCDHGA1: 原钙粘蛋白γA1抗体 0.2ml | RK1 Others Canine 狗 kA / RK1 人细胞裂解液 (阳性对照) |
| PPAR gamma: 过氧化酶活化增生受体γ抗体(PPARγ) 0.1ml | 人支气管上皮细胞(HBEpiC)(5×105 ) |
| Anti-MMP-8/FITC 荧光素标记基质金属蛋白酶-8抗体IgGMulti-class antibodies规格: 0.2ml | Promocell C-28030 Mononuclear Cell Medium, 单核细胞培养基(即用型) 500ml |
| PACAP ELISA Kit 小鼠垂体腺苷酸环化酶激活肽 96T | SDC1 Others Mouse 小鼠 SDC1 / Syndecan-1 / SYND1 / CD138 人细胞裂解液 (阳性对照) |
| Rhesus antibody Rh Phospho-EGFR(Tyr845) 0酸化表皮生长因子受体抗体 规格 0.1ml | HuH-7(人肝癌细胞) 5×106cells/瓶×2 |
| Rhesus antibody Rh LIPK 脂肪酶家庭成员K抗体 规格 0.2ml | MMQ 小鼠垂体瘤细胞 |
| MC-1R (melanocortin-1-receptor) 黑皮质素-1受体抗原 0.5ml | 801-D细胞,人巨细胞性肺癌细胞 转入Tet-off调控,含EGFP基因的CHO细胞,CHO-AA8细胞 CM-M026小鼠骨髓基质细胞完全培养基100mL |
| MAGE-A4: 黑色素瘤相关抗原4抗体 0.1ml | 小鼠前胃癌细胞;MFC 小鼠甲状腺上皮细胞完全培养基 100mL |
| Anti-AFP/HRP 辣根过氧化物酶标记鼠抗人甲胎蛋白单克隆抗体(检测)IgGMulti-class antibodies规格: 0.2ml | 人表皮黑色素细胞-深色素cDNAHEM-d cDNA |
| WSU-HN30 细胞专用培养基Anti-Phospho-PLC gamma 1 (Tyr771) 0酸化0酯酶Cγ1抗体Multi-class antibodies规格: 0.1ml | EB病毒转化的人B淋巴细胞;KMY1036 |
| Anti-Phospho-HER2(Tyr1248) /FITC 荧光素标记0酸化HER2受体抗体IgGMulti-class antibodies规格: 0.2ml | Sars结构蛋白表达株;293sars181A |
| (2NP-AOZ)唑酮代谢物单克隆抗体 小鼠单抗 0.02 | CL-0155ME-180(人子宫颈表皮癌细胞)5×106cells/瓶×2 |
风险提示:丁香通仅作为第三方平台,为商家信息发布提供平台空间。用户咨询产品时请注意保护个人信息及财产安全,合理判断,谨慎选购商品,商家和用户对交易行为负责。对于医疗器械类产品,请先查证核实企业经营资质和医疗器械产品注册证情况。
技术资料暂无技术资料 索取技术资料
WSU-HN30 细胞专用培养基
¥3000 - 6900









