相关产品推荐更多 >
万千商家帮你免费找货
0 人在求购买到急需产品
- 详细信息
- 技术资料
- 供应商:
上海联祖
- 库存:
38
- 规格:
1*125ml 500ml
| 产品名称 | 规格 | 货号 |
| MAEC 细胞专用培养基 | 1*125ml 500ml | LZ-PX11033 |
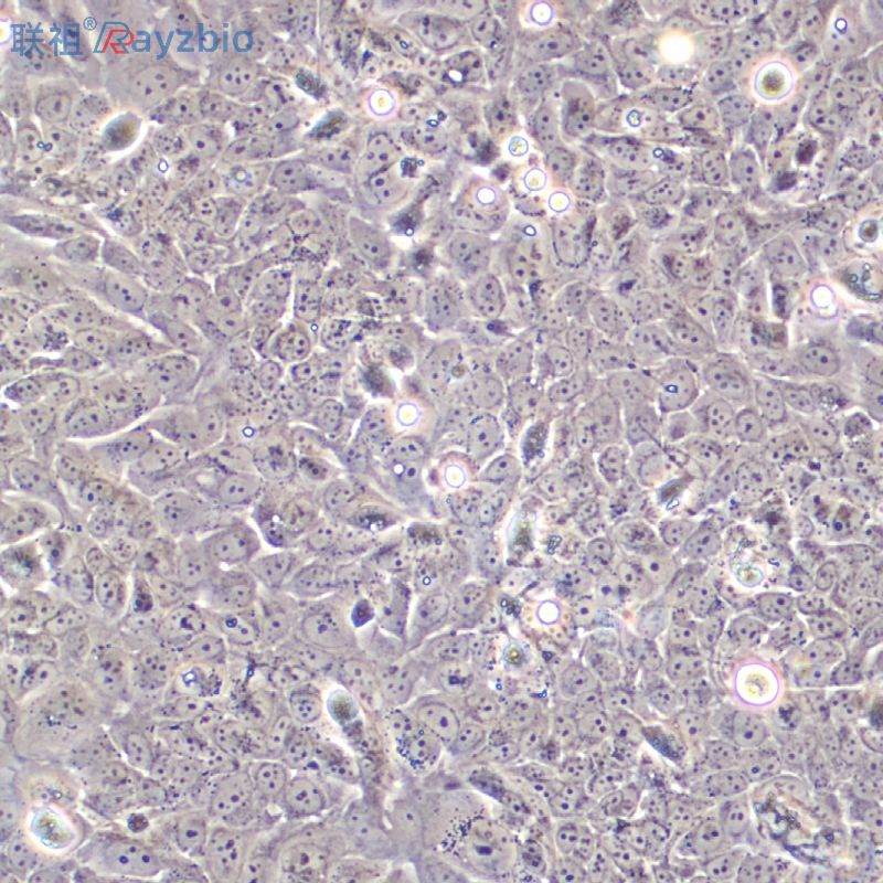
MAEC细胞专用培养基由团队精心优化,经过长期测试,本产品可保持MAEC细胞最佳的生长状态。
本产品中已包含MAEC 细胞生长所需的各种成分,无需添加任何成分,可直接用于MAEC细胞的培养。
产品主要成分
M199 培养基 470 ml
特级胎牛血清 25ml
P/S青霉素-链霉素 5 ml
血管内皮生长因子VEGF 5ng/ml
运输和保存
运输:放置于含有生物冰袋的保温箱中低温运输
保存方法:2℃~8℃,避光,保存1个月;-20℃,避光,保存3个月。
干冰运输及复苏好存活细胞
(1)1mL冻存管包装干冰运输,收到后-80度冰箱保存过夜后转入液氮或直接复苏,若发现干冰已挥发干净、冻存管瓶盖脱落、破损及细胞有污染,请立即与我们联系。
(2)T25瓶复苏的存活细胞常温发货,收到后按照细胞接收后的处理方法操作。
| Rhesus antibody Rh MLF1/2/3 髓细胞性白血病蛋白1抗体 规格 0.2ml | rSec6: 胞吐分泌蛋白Sec6抗体 0.2ml |
| Deltex-1 (DTX1) (Deltex protein 1)抗原 0.5mg | ITGA5 & ITGB1 Others Human 人 ITGA5 & ITGB1 Heterodimer 人细胞裂解液 (阳性对照) |
| NADPH oxidase 4: NADPH氧化酶4抗体 0.1ml | IFNA13 Others Mouse 小鼠 IFNA13 / Ierferon alpha-13 人细胞裂解液 (阳性对照) |
| Anti-Tbx21/T-bet/FITC 荧光素标记T细胞介导的转录调节因子Tbx21抗体IgGMulti-class antibodies规格: 0.2ml | BAMBI Others Mouse 小鼠 BAMBI / NMA 人细胞裂解液 (阳性对照) |
| Anti-NF-66 α-中连蛋白抗体Multi-class antibodies规格: 0.2ml | NMNAT2 Others Human 人 NMNAT2 / NMNAT-2 杆状病毒-昆虫细胞裂解液 (阳性对照) |
| Anti-ETK/BMX/FITC 荧光素标记兔抗人、大、小鼠非受体性蛋白酪氨酸激酶ETK抗体IgGMulti-class antibodies规格: 0.2ml | RM1(大鼠肌肉成纤维样细胞) 5×106cells/瓶×2 PC-12未分化(大鼠肾上腺嗜铬细胞瘤) |
| ASPP2: P53凋亡刺激蛋白2抗体 0.1ml | VLDLR Others Human 人 VLDLR / VLDL Receptor 人细胞裂解液 (阳性对照) |
| 组织蛋白酶L抗体 Anti-cath-L/CL 0.1ml | HBSMC-c 人类支气管平滑肌细胞(HBSMC) 500,000cells 婴儿真皮成纤维细胞Many types of cells包装:5 × 105次方(1ml) |
| INH-A(Human Inhibin) ELISA Kit 人抑制素A 96T | VWC2 Others Human 人 VWC2 / Brorin 人细胞裂解液 (阳性对照) |
| Rhesus antibody Rh SP-B 肺表面活性蛋白B抗体 规格 0.1ml | FaDu 人咽鳞癌细胞 |
| Anti-AD7C-NTP/NTP/AF /FITC 荧光素标记神经丝蛋白抗体(人)IgGMulti-class antibodies规格: 0.2ml | 人真皮成纤维细胞-胎儿cDNAHDF-f cDNA |
| Anti-P19ARF/FITC 荧光素标记p19ARF抑癌基因抗体IgGMulti-class antibodies规格: 0.2ml | 支气管成纤维细胞Many types of cells包装:5 × 105次方(1ml) |
| MAEC 细胞专用培养基PS(Human plasma anticoagulant protein S) ELISA Kit 人血浆抗凝蛋白SMulti-class antibodies规格: 48T | 小鼠畸胎瘤细胞;P19 |
| GLUD2: 谷酸脱氢酶2抗体 0.2ml | 大鼠海马趾星形胶质细胞RA-h |
| Rhesus antibody Rh CYP7A1 细胞色素P450 7A1抗体/胆固醇7a羟化酶 规格 0.2ml | 中国仓鼠卵巢细胞-二氢叶酸还原酶缺陷型;CHO/dhFr- |
风险提示:丁香通仅作为第三方平台,为商家信息发布提供平台空间。用户咨询产品时请注意保护个人信息及财产安全,合理判断,谨慎选购商品,商家和用户对交易行为负责。对于医疗器械类产品,请先查证核实企业经营资质和医疗器械产品注册证情况。
技术资料暂无技术资料 索取技术资料
MAEC 细胞专用培养基
¥3000 - 6900









