相关产品推荐更多 >
万千商家帮你免费找货
0 人在求购买到急需产品
- 详细信息
- 技术资料
- 供应商:
上海联祖
- 库存:
21
- 规格:
1*125ml 500ml
| 产品名称 | 规格 | 货号 |
| MDA-MB-436 细胞专用培养基 | 1*125ml 500ml | LZ-PX11016 |
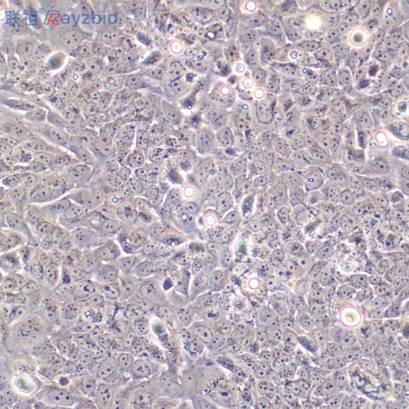
MDA-MB-436细胞专用培养基由团队精心优化,经过长期测试,本产品可保持MDA-MB-436细胞最佳的生长状态。
本产品中已包含 MDA-MB-436 细胞生长所需的各种成分,无需添加任何成分,可直接用于MDA-MB-436 细胞的培养。
产品主要成分
L15 基础培养基 444.5 ml
特级胎牛血清 50 ml
P/S青霉素-链霉素 5 ml
谷胱甘肽(还原型) 16ug/ml
胰岛素 (0.01mg/ml) 0.05mL
运输和保存
运输:放置于含有生物冰袋的保温箱中低温运输
保存方法:2℃~8℃,避光,保存1个月;-20℃,避光,保存3个月。
干冰运输及复苏好存活细胞
(1)1mL冻存管包装干冰运输,收到后-80度冰箱保存过夜后转入液氮或直接复苏,若发现干冰已挥发干净、冻存管瓶盖脱落、破损及细胞有污染,请立即与我们联系。
(2)T25瓶复苏的存活细胞常温发货,收到后按照细胞接收后的处理方法操作。
| Dyn(Human dynorphin) ELISA Kit 人强啡肽Multi-class antibodies规格: 48T | phospho-EGFR (Tyr1110): 0酸化表皮生长因子受体抗体 0.1ml |
| SOX13: 胰岛细胞抗原12/核转录因子SOX13抗体 0.2ml | L W-3A 小鼠皮下结缔组织细胞 |
| Rhesus antibody Rh GNLY/NKG5 颗粒溶素抗体 规格 0.2ml | CM-M021小鼠胰腺上皮细胞完全培养基100mL |
| IgM/HRP 辣根过氧化物酶标记的兔抗鸡IgM 0.1ml | 真皮成纤维细胞完全培养基 100mL |
| IL-5 ELISA Kit 大鼠白介素5 96T | 人间充质干细胞-肝 |
| Rhesus antibody Rh Ron 原癌基因c-Met相关酪氨酸激酶抗体 规格 0.1ml | 牛肾细胞;MDBK(NBL-1) |
| Anti-CD20/FITC 荧光素标记CD20抗体IgGMulti-class antibodies规格: 0.2ml | 膀胱上皮细胞Many types of cells包装:5 × 105次方(1ml) |
| Anti-Ubiquitin/FITC 荧光素标记泛素蛋白抗体IgGMulti-class antibodies规格: 0.2ml | CL-0092HBZY-1(大鼠肾小球系膜细胞)5×106cells/瓶×2 |
| P2Y9: G蛋白偶联嘌呤受体p2y9抗体 0.2ml | 平滑肌细胞培养基SMCM |
| Anti-Phospho-IRAK1 (Thr387) /FITC 荧光素标记0酸化白介素-1受体相关激酶1抗体IgGMulti-class antibodies规格: 0.2ml | MIF Protein Mouse 重组小鼠 MIF / Migration Inhibitory Factor 蛋白 (His 标签) |
| ENG/sCD105(human Soluble Endoglin) ELISA Kit 人可溶性Endoglin 96T | 水牛皮肤成纤维样细胞;WB-S1 |
| Rhesus antibody Rh PIM3 丝氨酸/苏氨酸蛋白激酶PIM3抗体 规格 0.2ml | T/G HA-VSMC(人血管平滑肌细胞) 5×106cells/瓶×2 |
| MDA-MB-436 细胞专用培养基Phospho-c-Fos (Ser362): 0酸化c-fos抗体 0.1ml | 人EB病毒转化的B细胞;CGM1 |
| Rhesus antibody Rh ASMTY/HIOMT 松果体N甲基乙酰羟色胺抗体 规格 0.2ml | MCF 10A人正常上皮细胞 MCF 10A of normal human mammary epithelial cells MEGM Bullet Kit(Clonetics Corparation CC-3150)+100ng/ml choleratoxin(Sigma C8052) |
| SCT(Salmon calcitonin) ELISA Kit 鲑鱼降钙素Multi-class antibodies规格: 48T | SMC-1细胞,胸膜细胞瘤 早幼粒急性白血病细胞系,HL-60细胞 小鼠子细胞;U14 |
风险提示:丁香通仅作为第三方平台,为商家信息发布提供平台空间。用户咨询产品时请注意保护个人信息及财产安全,合理判断,谨慎选购商品,商家和用户对交易行为负责。对于医疗器械类产品,请先查证核实企业经营资质和医疗器械产品注册证情况。
技术资料暂无技术资料 索取技术资料
MDA-MB-436 细胞专用培养基
¥3000 - 6900









