相关产品推荐更多 >
万千商家帮你免费找货
0 人在求购买到急需产品
- 详细信息
- 技术资料
- 供应商:
上海联祖
- 库存:
51
- 规格:
1*125ml 500ml
| 产品名称 | 规格 | 货号 |
| L5178Y TK+/- clone 3.7.2C 细胞专用培养基 | 1*125ml 500ml | LZ-PX11007 |
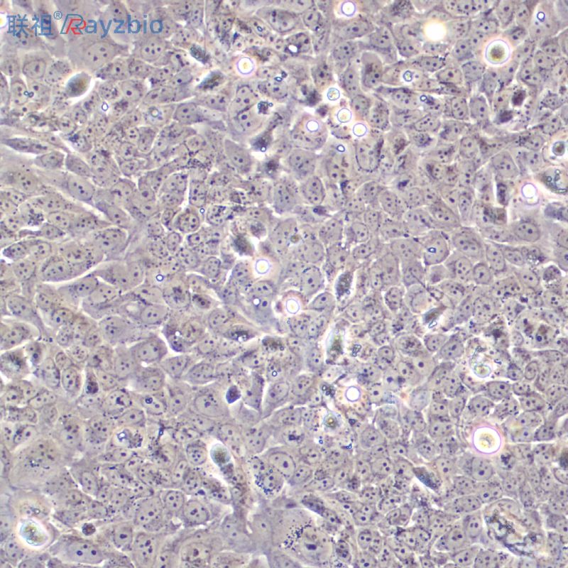
L5178Y TK+/- clone (3.7.2C)细胞专用培养基由团队精心优化,经过长期测试,本产品可保持L5178Y TK+/- clone (3.7.2C)细胞最佳的生长状态。
本产品中已包含L5178Y TK+/- clone (3.7.2C)细胞生长所需的各种成分,无需添加任何成分,可直接用于L5178Y TK+/- clone (3.7.2C)细胞的培养。
产品主要成分
DMEM 基础培养基 445ml
特级胎牛血清 50 ml
P/S青霉素-链霉素 5 ml
运输和保存
运输:放置于含有生物冰袋的保温箱中低温运输
保存方法:2℃~8℃,避光,保存2个月;-20℃,避光,保存6个月。
干冰运输及复苏好存活细胞
(1)1mL冻存管包装干冰运输,收到后-80度冰箱保存过夜后转入液氮或直接复苏,若发现干冰已挥发干净、冻存管瓶盖脱落、破损及细胞有污染,请立即与我们联系。
(2)T25瓶复苏的存活细胞常温发货,收到后按照细胞接收后的处理方法操作。
| Casp-9(Human Caspase-9) ELISA Kit 人胱天蛋白酶9 96T | Rhesus antibody Rh Phospho-FAK/PTK2(Tyr397) 0酸化粘着斑激酶抗体 规格 0.1ml |
| Rhesus antibody Rh TRAC1/RNF125 环指蛋白125抗体 规格 0.2ml | LTK 小鼠结缔组织纤维细胞 |
| Anti-TGF-beta 2 转移生长因子β2抗体Multi-class antibodies规格: 0.1ml | CM-R090大鼠前脂肪细胞完全培养基100mL |
| Anti-MAGE-1/HLA-A1 protein /FITC 荧光素标记黑素瘤抗原-1抗体IgGMulti-class antibodies规格: 0.2ml | 人成骨细胞完全培养基 100mL |
| ACP(Human Acid Phosphatase) ELISA Kit 人酸性0酸酶Multi-class antibodies规格: 48T | CL-0421RAG(小鼠肾腺癌细胞)5×106cells/瓶×2 |
| HRPT2: 甲状旁腺功能亢进蛋白2/细胞分裂周期73抗体 0.2ml | 犬肾细胞系/IgR;MDCK/IgR |
| Rhesus antibody Rh E.coli O6 大肠杆菌埃希杆菌O6抗体(肠致病性大肠杆菌O6) 规格 0.2ml | 5637, 人膀胱癌细胞 |
| Synaptogyrin 2: 神经细胞囊泡循环蛋白2抗体 0.2ml | CL-0036BRL-3A(大鼠正常肝细胞)5×106cells/瓶×2 |
| CCDC117: 卷曲螺旋结构域蛋白117抗体 0.2ml | 大鼠背脊髓神经元RN-dsc |
| Rhesus antibody Rh CCL25/TECK 胸腺表达趋化因子抗体 规格 0.2ml | VTN Protein Mouse 重组小鼠 Vionectin / VTN 蛋白 (His 标签) |
| IL-13 ELISA KIT 大鼠白介素13Multi-class antibodies规格: 48T | 非洲绿猴肾细胞;VERO |
| Phospho-FoxO3a (Ser294): 0酸化叉头蛋白3A抗体 0.1ml | U14(小鼠子细胞) 5×106cells/瓶×2 |
| L5178Y TK+/- clone 3.7.2C 细胞专用培养基P-cadherin: P-钙粘附分子抗体 0.1ml | 人肝永生化细胞;THLE-3 |
| Anti-PIBF/FITC 荧光素标记孕激素诱导阻断因子抗体IgGMulti-class antibodies规格: 0.2ml | UMNSAH/DF-1鸡胚成纤维细胞 UMNSAH/DF-1 chicken embryo fibroblast DMEM培养基+10%FBS |
| Rat IgG/Alexa Fluor 488 Alexa Fluor 488标记大鼠IgG(细胞流式同型对照) 0.1ml | BEL-7402细胞,肝癌细胞 人口腔表皮样癌细胞,KB细胞 小鼠诱导性多潜能干细胞;PUMC-mips-A2 |
风险提示:丁香通仅作为第三方平台,为商家信息发布提供平台空间。用户咨询产品时请注意保护个人信息及财产安全,合理判断,谨慎选购商品,商家和用户对交易行为负责。对于医疗器械类产品,请先查证核实企业经营资质和医疗器械产品注册证情况。
技术资料暂无技术资料 索取技术资料
L5178Y TK+/- clone 3.7.2C 细胞专用培养基
¥3000 - 6900









