万千商家帮你免费找货
0 人在求购买到急需产品
- 详细信息
- 技术资料
- 供应商:
上海联祖
- 库存:
40
- 生长状态:
贴壁生长
- 是否是肿瘤细胞:
否
- 规格:
T25培养瓶
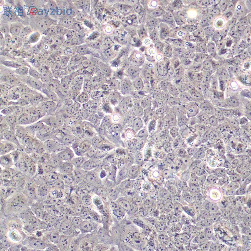
猪皮肤成纤维细胞
| 细胞名称 | 猪皮肤成纤维细胞 |
| 货号 | LZ-YX10557 |
| 规格 | T25培养瓶 |
| 培养条件 | 温度:37℃ |
| 种属 | 猪原代细胞 |
| 运输 | 常温 |
公司正在出售的产品:
| HUVEC-12, 人脐静脉血管内皮细胞系 Human | 人结直肠腺癌细胞;HCT-8 [HRT-18] 大鼠卵巢颗粒细胞完全培养基 100mL |
| 小鼠骨髓间充质肝细胞(MMSC-bm)(5×105) | Anti-HDAC11 组蛋白去乙酰化酶11抗体Multi-class antibodies规格: 0.2ml |
| 犬肾细胞;MDCK/IgR | Anti-Caspase-6 (NT)/FITC 荧光素标记半胱胺酸蛋白酶蛋白-6抗体(N端)IgGMulti-class antibodies规格: 0.2ml |
| EREG Protein Human 重组人 Epiregulin / EREG 蛋白 (Fc 标签) | ALS2CR8: 肌侧索硬化2染色体区域候选蛋白8抗体 0.2ml |
| EB病毒转化的绒猴淋巴细胞;B95-8 | Rhesus antibody Rh ABP/SHBG 雄激素结合蛋白抗体 规格 0.1ml |
| 胰蛋白酶-EDTA(含10mL 酶解缓冲液) 1mL | Rhesus antibody Rh IFNAR1 干扰素α受体抗体 规格 0.1ml |
| 绵羊肺细胞;OAR-L1 | ASPP1(apoptosis stimulating protein of P53 1) p53凋亡刺激蛋白1抗原 0.5mg |
| 大鼠前脂肪细胞完全培养基 100mL | MSR1: 巨噬细胞清道夫受体1抗体 0.2ml |
| 人肾上皮细胞完全培养基 100mL | ADRB3/ Beta3-AR ( Beta3-adrenergic receptor) 能受体β3Multi-class antibodies规格: 0.5mg |
| 原代神经元细胞特制无血清添加剂Many types of cells包装:1ml | Cys-C(Human Cystatin C) ELISA Kit 人半胱氨酸蛋白酶抑制剂/胱抑素CMulti-class antibodies规格: 48T |
| IFNA4 Protein Cynomolgus 重组食蟹猴 IFNA4 / IFNα4 / Ierferon alpha-4 蛋白 (Fc 标签) | HECTD2: E3连接酶抑制素受体2抗体 0.2ml |
| B16-F0小鼠黑色素瘤细胞 B16-F0 mouse melanoma cells DMEM+10% FBS | Rhesus antibody Rh FAM40A FAM家族蛋白40A抗体 规格 0.2ml |
| 猪皮肤成纤维细胞CCL17 Protein Human 重组人 CCL17 / TARC / SCYA17 蛋白 | IgG(3D3)/HRP 辣根过氧化物酶标记的鼠抗人IgG单克隆抗体 0.1ml |
| B16F10细胞,小鼠黑色素瘤高转移细胞 FRhK-4(恒河猴胚肾细胞) SV40转染人成骨细胞;hFOB 1.19 | HP-CagA-IgG(Human Helicobacter pylori cytotoxin-associated gene A protein IgG) ELISA Kit 人幽门螺杆菌细胞毒素相关基因蛋白A-IgG 96T |
| EMT-6 小鼠癌 | Rhesus antibody Rh IgG/PE-Cy5.5 PE-Cy5.5标记的兔抗长爪沙鼠IgG 规格 0.1ml |
注意事项:
1.收到细胞后,若发现干冰已挥发干净、冻存管瓶盖脱落、破损及细胞有污染,请立即与我们系。
2.收到细胞先不开瓶盖,瓶身擦拭酒精后放在培养箱静置2-4小时(视细胞密度而定)稳定细胞状态。接着在倒置显微镜下观察细胞生长情况,并对细胞进行不同倍数拍照(建议收细胞时就整体外观拍一张照片,观察培养基的颜色和是否有漏液情况,随后在显微镜下拍下细胞状态,100*,200*各一张),观察记录细胞在运输过程中是否有污染情况。作为我方进行销售依据。
3.由于细胞状态受环境、操作和运输等多方面因素影响,故本公司只保证客户收到细胞后一周内的细胞状态,故客户需要售后时需出示收到细胞的时间证明及客户提供收货时间和发现问题后客服人员沟通的时间证明,期间间隔时间不能大于7天。
4.所有动物细胞均视为有潜在的生物危害性,必须在二级生物安全台内操作,并请注意防护,所有废液及接触过此细胞的器皿需要灭菌后方能丢弃。
5.客户在细胞培养过程中任何问题可联系我们在线客服,我们随时给予解答。
风险提示:丁香通仅作为第三方平台,为商家信息发布提供平台空间。用户咨询产品时请注意保护个人信息及财产安全,合理判断,谨慎选购商品,商家和用户对交易行为负责。对于医疗器械类产品,请先查证核实企业经营资质和医疗器械产品注册证情况。
技术资料暂无技术资料 索取技术资料
猪皮肤成纤维细胞
¥3000 - 6900









