万千商家帮你免费找货
0 人在求购买到急需产品
- 详细信息
- 文献和实验
- 技术资料
- 供应商:
上海联祖
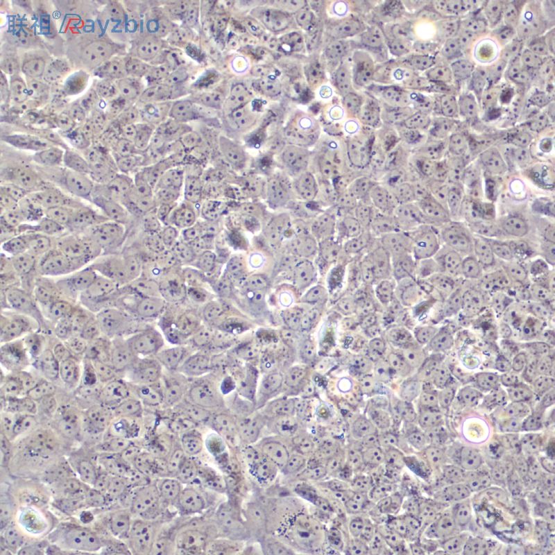
- 库存:
28
- 生长状态:
贴壁生长
- 是否是肿瘤细胞:
否
- 规格:
T25培养瓶
| 产品名称 | 规格 | 货号 |
| 猪肾上腺髓质细胞 | T25瓶 | LZ-YX10545 |
含量:>1x10^6 细胞数
规格:T25瓶
用途:仅供科研使用。
干冰运输及复苏好存活细胞
(1)1mL冻存管包装干冰运输,收到后-80度冰箱保存过夜后转入液氮或直接复苏,若发现干冰已挥发干净、冻存管瓶盖脱落、破损及细胞有污染,请立即与我们联系。
(2)T25瓶复苏的存活细胞常温发货,收到后按照细胞接收后的处理方法操作。
1) 收到细胞后,75%酒精消毒瓶壁将T25瓶置于37℃培养箱放置约2-3h,若发现培养瓶破损、有液溢出及细胞有污染,请拍照后及时联系我们。
2)请在4或5X显微镜下确认细胞状态,同时给刚收到的细胞拍照(10×,20×)各2-3张以及培养瓶外观照片一张留存,作为售后时收到时细胞状态的依据。
3) 悬浮细胞:T25瓶置于37℃培养箱放置约2-3h,然后抽出瓶中的培养基和细胞1000rpm离心5分钟,弃去上清重悬后接种到新的培养瓶中(加入按照说明书细胞培养条件新配制的完全培养基)。
4)备注:运输用的培养基(灌液培养基)不能再用来培养细胞,请换用按照说明书细胞培养条件新配制的完全培养基来培养细胞。 收到细胞后第一次传代建议T25培养瓶1:2传代 。 一.培养基及培养冻存条件准备:
1) 准备培养基;优质胎牛血清,10%;双抗,1%。备注:该细胞为悬浮并部分聚团生长
2) 培养条件: 气相:空气,95%;二氧化碳,5%。 温度:37摄氏度,培养箱湿度为70%-80%。
3) 冻存液:90%血清,10%DMSO,现用现配。
二. 细胞处理:
1) 冻存细胞的复苏:
将含有1mL细胞悬液的冻存管在37℃水浴中迅速摇晃解冻,加入到含4-6mL完全培养基的离心管中混合均匀。在1000RPM条件下离心3-5min,弃去上清液,完全培养基重悬细胞。然后将细胞悬液加入含6-8ml完全培养基的培养瓶(或皿)中37℃培养过夜。第二天显微镜下观察细胞生长情况和细胞密度。
2) 细胞传代:如果细胞密度达80%-90%,即可进行传代培养。
对于悬浮细胞,传代可参考以下方法:
悬浮状态下生长的细胞,可以通过向培养瓶中添加完全培养基来维持细胞的生长状态,一般情况下细胞密度维持在1×105~1×10^6个/mL(不同细胞对密度要求不同,)可以维持细胞的正常生长。如需分瓶可以将细胞悬液收集到离心管中1000rpm,离心5min,弃去上清,补加1-2mL培养液后重悬混匀后将细胞悬液按1:2的比例分到新T25瓶中,添加6-8ml按照说明书要求配置的新的完全培养基以保持细胞的生长活力,后续传代根据实际情况按1:2~1:5的比例进行。
3) 细胞冻存: 收到细胞后建议在培养前3代时冻存一批细胞种子以备后续实验使用。
下面T25瓶为例;
1. 细胞冻存时按照细胞传代的过程收集消化好的细胞到离心管中,可使用血球计数板计数,来决定细胞的冻存密度。一般细胞的推荐冻存密度为1×10^6~1×107个活细胞/ml.
2. 1000rpm离心3-5min,去掉上清。用配制好的细胞冻存液重悬细胞 ,按每1ml冻存液含1×10^6~1×107个活细胞/ml分配到一个冻存管中将细胞分配到冻存管中,标注好名称、代数、日期等信息。
3. 将要冻存的细胞置于程序降温盒中,-80度冰箱中过夜,之后转入液氮容器中储存。同时记录好冻存管在液氮容器中的位置以便后续查阅和使用。
| JAR(人胎盘绒毛膜癌细胞) 5×106cells/瓶×2 | Calu-6细胞,人退行性癌细胞 克雷伯肺炎杆菌 叙利亚仓鼠肾细胞;BHK-21 |
| LILRA5 Others Rat 大鼠 LILRA5 人细胞裂解液 (阳性对照) | Anti-His tag 聚组氨酸抗体标签抗体Multi-class antibodies规格: 0.1ml |
| 中国仓鼠卵巢细胞(亚系克隆);CHO-DUKXB11-prepro-TGFβ1 Cdna-TGF-β1 Dinding Protein cDNA 肝癌细胞,Hepa 1-6细胞 M145细胞,猴肾C细胞 | Anti-CASP4/FITC 荧光素标记半胱胺酸蛋白酶蛋白-4抗体IgGMulti-class antibodies规格: 0.2ml |
| 野生型人c-kit受体细胞株;A7d | Acid sphingomyelinase: 酸性神经鞘0脂酶抗体 0.1ml |
| EPC, 大鼠血管内皮祖细胞 | Rhesus antibody Rh ABI3BP ABI基因家族成员3结合蛋白抗体 规格 0.2ml |
| 真皮淋巴上皮细胞Many types of cells包装:5 × 105次方(1ml) | Rhesus antibody Rh IFN-Alpha 2b/Interferon alpha 2/INFA2 干扰素α2b抗体 规格 0.1ml |
| FO(小鼠骨髓瘤细胞) 5×106cells/瓶×2 | Nestin 巢蛋白(神经上皮干细胞蛋白)(抗原) 0.5mg |
| 人急性早幼粒白血病细胞;HL-60 | Maltoporin: 麦芽糖孔蛋白抗体 0.2ml |
| CL-0279WL1(大鼠肺细胞)5×106cells/瓶×2 | BRCA2(Breast cancer susceptbility gene 2) 癌易感基因2抗原Multi-class antibodies规格: 0.5mg |
| 人前列腺成纤维细胞完全培养基 100mL | 5-HT(Human 5-Hydroxytryptamine) ELISA Kit 人5羟色胺Multi-class antibodies规格: 48T |
| A-427(人肺癌细胞) 5×106cells/瓶×2 | HNF3-alpha: 转录因子HNF-3α抗体 0.1ml |
| 293ET细胞,表达SV40T和EBNA1的人胚肾细胞 非洲绿猴肾细胞,CV-1细胞 CL-0294MuM-2C(人眼脉络黑色素瘤细胞)5×106cells/瓶×2 | Rhesus antibody Rh FAM3B/PANDER 胰腺衍生因子抗体 规格 0.2ml |
| 猪肾上腺髓质细胞L1210 小鼠白血病细胞 | IgM/PE-Cy5.5 PE-Cy5.5标记的兔抗人IgM 0.1ml |
| 绿色荧光蛋白标记人胃癌细胞;MGC803-GFP 大鼠成年表皮角质形成层细胞完全培养基 100mL | MPO(Mouse myeloperoxidase) ELISA Kit 小鼠髓过氧化物酶 96T |
| CXCL12 Protein Canine 重组狗 CXCL12 / SDF-1 蛋白 | Rhesus antibody Rh IgG/PE-Cy3 PE-Cy3标记的兔抗长爪沙鼠IgG 规格 0.1ml |
风险提示:丁香通仅作为第三方平台,为商家信息发布提供平台空间。用户咨询产品时请注意保护个人信息及财产安全,合理判断,谨慎选购商品,商家和用户对交易行为负责。对于医疗器械类产品,请先查证核实企业经营资质和医疗器械产品注册证情况。
文献和实验猪白细胞介素1 (IL- 1 ) 酶联免疫 分析( ELISA ) 试剂 盒使用说明书 本试剂仅供研究使用 目的:本试剂盒用于测定猪血清,血浆及相关液体样本中 白细胞介素- 1 (IL- 1 ) 含量。 实验原理 : 本试剂盒应用双抗体夹心法测定 标本 中 猪白细胞介素1 (IL- 1 ) 水平。用纯化的 猪白细胞介素1 抗体包被微孔板,制成固相抗体,往包被单抗的微孔中依次加入 白细胞介素1 ,再与 HRP 标记
猪白细胞介素 - 8( IL- 8) 酶联免疫 分析( ELISA ) 试剂 盒使用说明书 本试剂仅供研究使用 目的:本试剂盒用于测定猪血清,血浆及相关液体样本中 白细胞介素-8(IL-8) 含量。 实验原理 : 本试剂盒应用双抗体夹心法测定 标本 中 猪白细胞介素8 (IL-8 ) 水平。用纯化的 猪白细胞介素8 抗体包被微孔板,制成固相抗体,往包被单抗的微孔中依次加入 白细胞介素8 ,再与 HRP 标记
猪附红细胞体病 是猪附红细胞体,属立克次体目,寄生于细胞内,也可游离于血浆中。不同品种和年龄的猪均易感,仔猪的发病率和病死率较高。本病多发生在夏季,传播与吸血昆虫有关,特别是猪虱。另外,注射针头、手术器械、交配等也可传播。应激因素如饲管不良,气候恶劣或其它疾病,可使隐性感染猪发病。 临床特点 :主要呈现出急性黄疸性贫血和发热。母猪生产性能下降,仔猪体质变差,贫血,肠道及呼吸道感染增加。育肥猪病初精神萎顿,体温升高到39 .5℃-42
技术资料暂无技术资料 索取技术资料










