万千商家帮你免费找货
0 人在求购买到急需产品
- 详细信息
- 文献和实验
- 技术资料
- 供应商:
上海联祖
- 库存:
55
- 生长状态:
贴壁生长
- 是否是肿瘤细胞:
否
- 规格:
T25培养瓶
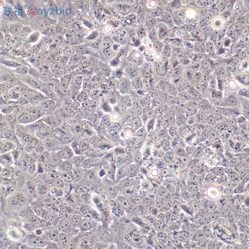
| 细胞名称 | 猪颈动脉平滑肌细胞 |
| 货号 | LZ-YX10533 |
| 规格 | T25培养瓶 |
| 培养条件 | 温度:37℃ |
| 种属 | 猪原代细胞 |
| 运输 | 常温 |
公司正在出售的产品:
| EFNB2 Protein Rat 重组大鼠 Ephrin-B2 / EFNB2 蛋白 (Fc 标签) | Calu-6细胞,人肺癌细胞系(未分化) 大鼠肝星形细胞,CFSC-2G细胞 CM-M097小鼠皮下脂肪细胞完全培养基100mL |
| LIF Others Mouse 小鼠 LIF 人细胞裂解液 (阳性对照) | Anti-FLAG Tag (NT) FLAG Tag标签抗体(N端)Multi-class antibodies规格: 0.1ml |
| CM-M124小鼠脉络膜血管细胞完全培养基100mL | Anti-FLASH/CASP8AP2/FITC 荧光素标记半胱氨酸蛋白酶8相关蛋白2抗体IgGMulti-class antibodies规格: 0.2ml |
| 大鼠胚胎心肌细胞;H9c2(2-1) | Apaf1 Interacting Protein: 凋亡蛋白活性因子1相互作用蛋白抗体 0.2ml |
| GBC-SD, 人胆囊癌细胞 | Rhesus antibody Rh ABI2 抑制基因ABI2/精氨酸酪氨酸蛋白激酶结合蛋白抗体 规格 0.2ml |
| 支气管成纤维细胞Many types of cells包装:5 × 105次方(1ml) | Rhesus antibody Rh IFNA21/IFNA F 干扰素α21抗体 规格 0.2ml |
| 大耳山羊皮肤细胞;LDG-3 | AR Alpha1( Alpha1-adrenergic receptor) α1能受体抗原 0.5mg |
| CM-R118大鼠虹膜色素上皮细胞完全培养基100mL | Myosin-XVIIIb: 肌球蛋白XVIIIb抗体 0.2ml |
| 牛陀螺状细胞;BT | CD177/NB1 peptide 嗜中性粒细胞抗原CD177抗原Multi-class antibodies规格: 0.5mg |
| 中国仓鼠卵巢细胞(亚系克隆);CHO-HCV-NS2 | SHBG(Human sex hormone-binding globulin) ELISA Kit 人性激素结合球蛋白Multi-class antibodies规格: 48T |
| 小鼠胚胎成纤维细胞;3T3-L1 | Adenovirus hexon protein: 腺病毒六邻体蛋白抗体 0.2ml |
| HNE2, 人鼻咽癌细胞系 NIH SWISS小鼠胚细胞,NIH3T3细胞 A673(横纹肌瘤细胞) | Rhesus antibody Rh FAM36A FAM36A蛋白抗体 规格 0.2ml |
| 猪颈动脉平滑肌细胞大鼠癌细胞;SHZ-88 | sIgA/Cy3 Cy3标记的兔抗人分泌型IgA 0.1ml |
| CHL/IU[CHL-11]细胞,中国仓鼠肺细胞 人胰腺癌细胞,PANC-1细胞 CM-R085大鼠表皮角化细胞完全培养基100mL | 大鼠抗IVIgG抗体ELISA Kit 大鼠抗IVIgG抗体 96T |
| SK-BR-3(人癌细胞) 5×106cells/瓶×2 | Rhesus antibody Rh IgG/HRP 辣根过氧化物酶标记的兔抗长爪沙鼠IgG 规格 0.1ml |
注意事项:
1.收到细胞后,若发现干冰已挥发干净、冻存管瓶盖脱落、破损及细胞有污染,请立即与我们系。
2.收到细胞先不开瓶盖,瓶身擦拭酒精后放在培养箱静置2-4小时(视细胞密度而定)稳定细胞状态。接着在倒置显微镜下观察细胞生长情况,并对细胞进行不同倍数拍照(建议收细胞时就整体外观拍一张照片,观察培养基的颜色和是否有漏液情况,随后在显微镜下拍下细胞状态,100*,200*各一张),观察记录细胞在运输过程中是否有污染情况。作为我方进行销售依据。
3.由于细胞状态受环境、操作和运输等多方面因素影响,故本公司只保证客户收到细胞后一周内的细胞状态,故客户需要售后时需出示收到细胞的时间证明及客户提供收货时间和发现问题后客服人员沟通的时间证明,期间间隔时间不能大于7天。
4.所有动物细胞均视为有潜在的生物危害性,必须在二级生物安全台内操作,并请注意防护,所有废液及接触过此细胞的器皿需要灭菌后方能丢弃。
5.客户在细胞培养过程中任何问题可联系我们在线客服,我们随时给予解答。
风险提示:丁香通仅作为第三方平台,为商家信息发布提供平台空间。用户咨询产品时请注意保护个人信息及财产安全,合理判断,谨慎选购商品,商家和用户对交易行为负责。对于医疗器械类产品,请先查证核实企业经营资质和医疗器械产品注册证情况。
文献和实验三句话读懂一篇 CNS:章鱼化石居然取名叫「拜登」?AI 解码猪叫声,能听懂猪在想啥?
Journal 杂志发表研究论文 Circadian nuclear receptor Rev-erbα is expressed by platelets and potentiates platelet activation and thrombus formation。 该研究报告了人和小鼠血小板中昼夜节律核受体 Rev-erbα 的存在和功能,发现 Rev-erbα 敲除和血小板特异性 Rev-erbα 敲除小鼠表现出止血缺陷。Rev-erbα 缺失还减少了氯化铁诱导的颈动脉闭塞性血栓形成,预防
实验27 兔(或大白鼠)的循环系统 一、目的 通过对兔(或大白鼠)循环系统的解剖,进一步掌握哺乳类的基本解剖技术;了解哺乳类循环系统的主要特征。 二、内容 兔循环系统解剖。 三、实验材料和用具 活兔;兔的血管注射标本;猪或牛的心脏示范标本。 解剖盘、大头针、棉花、骨剪及其他解剖器具等。 四、实验操作及观察 本实验在解剖和现察时应由表
甲状旁腺 parathyroid,parathyroid gland
脊椎动物咽头的一种派生体。在哺乳类,一般是由第三、第四鳃囊的背半部生成的(猪、鼠、小白鼠不能由第四鳃囊生成)。自腹半部生成胸腺。在鸟类、爬行类、两栖类是由第二、第三和第四鳃囊的腹面生成甲状旁腺,而由背部生成胸腺。在哺乳类,甲状旁腺与甲状腺接近,有时发现埋藏于甲状腺内。由于这种关系而命名为甲状旁腺,不过其他种类动物的甲状旁腺并不一定与甲状腺靠近。在鸟类,甲状旁腺位于甲状腺的后方,在气管的两侧有两对,是由第三、第四鳃囊生成的。在爬行类,由第二、第三和第四鳃囊生成的甲状旁腺,大都
技术资料暂无技术资料 索取技术资料









